Imagens e vídeos
IMAGENS

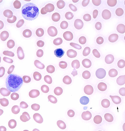
Avaliação da neutrofilia
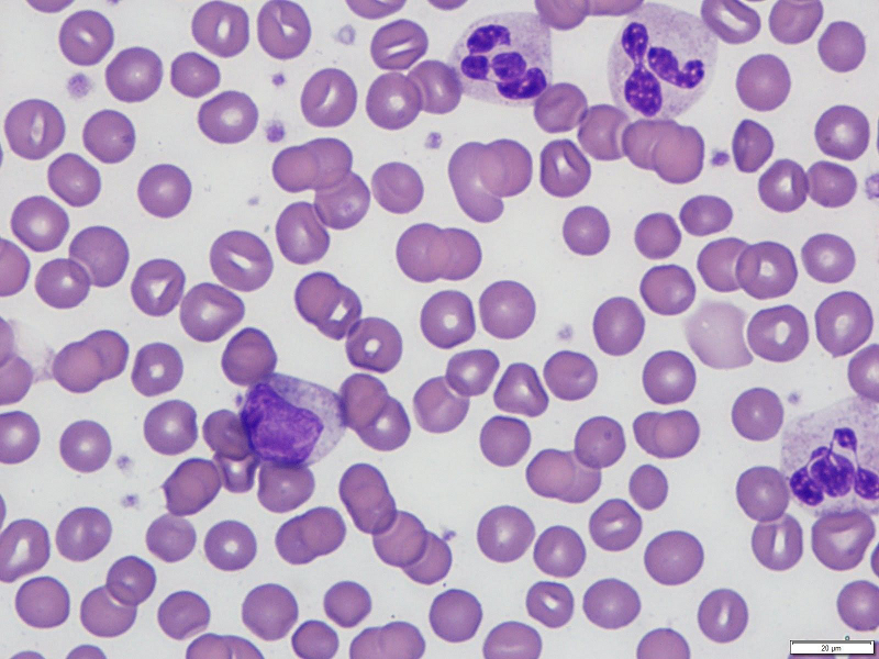
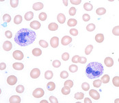
Neutrofilia com desvio à esquerda
Do acervo de D. Chabot-Richards, MD; usado com permissão
Veja esta imagem em contexto nas seguintes seções:

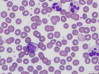
Avaliação da neutrofilia
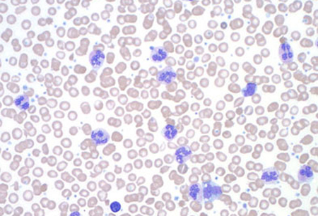
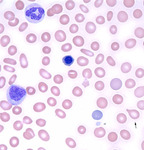
Neutrofilia
Do acervo de T. George, MD
Veja esta imagem em contexto nas seguintes seções:

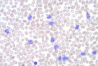
Avaliação da neutrofilia
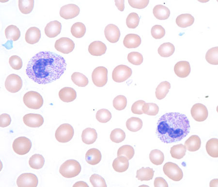
Grânulos tóxicos em um paciente recebendo tratamento com fator estimulador de colônias de granulócitos
Do acervo de T. George, MD
Veja esta imagem em contexto nas seguintes seções:

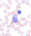
Avaliação da neutrofilia
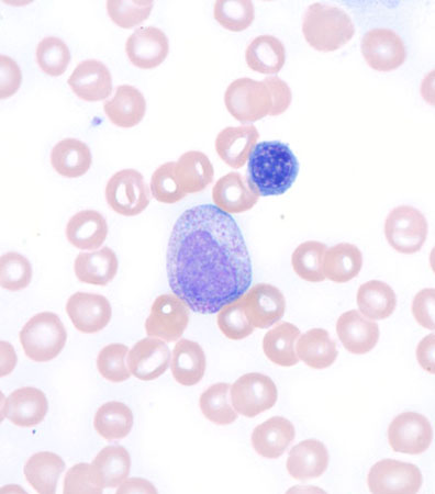
Esfregaço de sangue periférico leucoeritroblástico
Do acervo de T. George, MD
Veja esta imagem em contexto nas seguintes seções:

Avaliação da neutrofilia
Translocação BCR::ABL1
Do acervo de Dr. Han Myint; usado com permissão
Veja esta imagem em contexto nas seguintes seções:

Avaliação da neutrofilia
Esfregaço de sangue periférico leucoeritroblástico com dacriócitos
Do acervo de T. George, MD
Veja esta imagem em contexto nas seguintes seções:
Vídeos
- Fisiopatologia da neutrofilia
Visão geral de fatores que afetam a maturação, a migração e a desmarginação dos neutrófilos.
O uso deste conteúdo está sujeito ao nosso aviso legal