შეჯამება
განსაზღვრება
ანამნეზი და გასინჯვა
სხვა დიაგნოსტიკური ფაქტორები
- შემცივნება, ან კანკალი
- საერთო სისუსტე
- თავისტკივილი
- წყლიანი ფაღარათი
- ტაქიპნოე
- ტაქიკარდია
- ციანოზი
- გულისრევა და ღებინება
- ყელის ტკივილი
- ნახველის გამოყოფა
- ტკივილ გულმკერდის არეში
- პლევრიტი
- ცხვირწყალი
- თავბრუსხვევა
- ართრალგია
- მუცლის ტკივილი
- გულყრები
- ბოდვა
- ხიხინი
- კრეპიტაცია
- ბრონქული სუნთქვა
რისკფაქტორები
- მოგზაურობა დასენიანებულ რეგიონში
- ახლო კონტაქტი ინფიცირებულ პირებთან.
- ლაბორატორიული კვლევები SARS-CoV-ზე
დიაგნოსტიკური კვლევები
1-ად შესაკვეთი გამოკვლევები
- FBC
- ამინოტრანსფერაზები
- ლაქტატდეჰიდროგენაზის
- კრეატინკინაზის
- სისხლის კულტურა
- ნახველის დათესვა
- ნაზოფარინგული ვირუსოლოგიური ანალიზი
- ანტისხეულების შეღებვა პირდაპირი იმუნოფლუორესცენციით
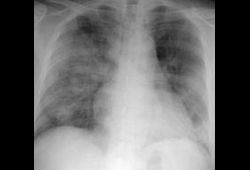
- გულმკერდის რენტგენოგრაფია (რენტგენი)
- პულსოქსიმეტრიით
- უკუტრანსკრიპტაზას პოლიმერაზული ჯაჭვური რეაქცია (RT-PCR)
გასათვალისწინებელი კვლევები
- არტერიული სისხლის აირები (ABG)
- კოაგულაციური სკრინინგი
- გულმკერდის მაღალრეზოლუციური კომპიუტერული ტომოგრაფია (HRCT)
- SARS-CoV სპეციფიური ანტისხეულების სეროლოგიური ანალიზი
- ვირუსული კულტურა
ახალი ტესტები
- ნაცხის სწრაფი იმუნური ანალიზი SARS-CoV გამოსავლენად
- მონოკლონური ანტისხეულები
მკურნალობის ალგორითმი
კონტრიბუტორები
ავტორები
Georgia G. Pitsiou, MD, PhD

Associate Professor in Pulmonary Medicine
Aristotle University of Thessaloniki
Respiratory Failure Clinic
General Hospital G. Papanikolaou
Thessaloniki
Greece
გაფრთხილება:
GGP declares that she has no competing interests.
Ioannis P. Kioumis, MD, PhD

Professor in Pulmonary Medicine
Infectious Diseases
Aristotle University of Thessaloniki
Respiratory Failure Clinic
General Hospital G. Papanikolaou
Thessaloniki
Greece
გაფრთხილება:
IPK declares that he has no competing interests.
რეცენზენტები
Tommy R. Tong, MD
Attending Pathologist
Montefiore Medical Center
Bronx
NY
გაფრთხილება:
TRT declares that he has no competing interests.
Sian Griffiths, OBE, MA, MB BChir, FFPHM, FRCP (Lon), FRCP (Edin), FHKCCM
Director of the School of Public Health
Chinese University of Hong Kong
Prince of Wales Hospital
New Territories
Hong Kong
გაფრთხილება:
SG declares that she has no competing interests.
რეცენზენტების განცხადებები
BMJ Best Practice-ის თემების განახლება სხვადასხვა პერიოდულობით ხდება მტკიცებულებებისა და რეკომენდაციების განვითარების შესაბამისად. ქვემოთ ჩამოთვლილმა რეცენზენტებმა თემის არსებობის მანძილზე კონტენტს ერთხელ მაინც გადახედეს.
გაფრთხილება
რეცენზენტების აფილიაციები და გაფრთხილებები მოცემულია გადახედვის მომენტისთვის.
წყაროები
ძირითადი სტატიები
Christian MD, Poutanen SM, Loutfy MR, et al. Severe acute respiratory syndrome. Clin Infect Dis. 2004;38:1420-1427.სრული ტექსტი აბსტრაქტი
Peiris JS, Chu CM, Cheng VC, et al. Clinical progression and viral load in a community outbreak of coronavirus-associated SARS pneumonia: a prospective study. Lancet. 2003;361:1767-1772. აბსტრაქტი
Mahony JB, Richardson S. Molecular diagnosis of severe acute respiratory syndrome: the state of the art. J Mol Diagn. 2005;7:551-559. აბსტრაქტი
Peiris JS, Yuen KY, Osterhaus AD, et al. The severe acute respiratory syndrome. N Engl J Med. 2003;349:2431-2441. აბსტრაქტი
Fowler RA, Lapinsky SE, Hallet D, et al. Critically ill patients with severe acute respiratory syndrome. JAMA. 2003;290:367-373.სრული ტექსტი აბსტრაქტი
გამოყენებული სტატიები
ამ თემაში მოხსენიებული წყაროების სრული სია ხელმისაწვდომია აქ.
ამ მასალის გამოყენება ექვემდებარება ჩვენს განცხადებას
