დიფერენციული დიაგნოზები
ხშირი
ოჯახური ტანდაბლობა (გენეტიკური ტანდაბლობა)
ანამნეზი
ჩვეულებრივ, იბადებიან გესტაციური ასაკის შესაბამისად . ; სტაბილური ზრდა მე-5 პროცენტილის ქვემოთ; საბოლოო სიმაღლე შეესაბამება მოკლე სამიზნე სიმაღლეს; სქესობრივი მომწიფება როგორც წესი არ დგება.
გასინჯვა
ნორმალური გასინჯვა: პროპორციულად ტანდაბალი, ასაკთან შესაბამისი წონის მომატებასთან
პირველი გამოკვლევა
- საწყისი ტესტის არარსებობა:
კლინიკური დიაგნოზი
სხვა გამოკვლევები
- ძვლის ასაკი:
ნორმალური (იგივე რაც ქრონოლოგიური ასაკი)
ზრდისა და განვითარების საერთო დაყოვნება
ანამნეზი
უფრო ხშირია ბიჭებში; ცხოვრების პირველი 2 წლის განმავლობაში ზრდის შენელება, რომელსაც მოჰყვება ზრდის ნორმალური სიჩქარე და მოზარდობისას ზრდის აჩქარება განაპირობებს იმ ფინალურ სიმაღლეს, რომელიც ახლოსაა სამიზნე სიმაღლესთან. რომელიმე მშობელს შეიძლება ჰქონდეს "გვიან მომწიფების" ანამნეზი[12]
გასინჯვა
როგორც წესი ნორმალურია, თუმცა ეს ბავშვები თხელები არიან და ასაკთან შედარებით სქესობრივად მოუმწიფებლები; პროპორციულად ტანდაბლები[12]
პირველი გამოკვლევა
- ძვლის ასაკი:
დაყოვნება 1-2 წლით
მეტი
სხვა გამოკვლევები
იდიოპათური ტანდაბლობა
ანამნეზი
დაბალი, მაგრამ სხვა მხრივ ჯანმრთელი; არ არის წონის კლება; ნორმალური სამიზნე სიმაღლე
გასინჯვა
ნორმალური; პროპორციული ტანდაბლობა; სქესობრივი მომწიფება იწყება და გრძელდება ნორმალურად
პირველი გამოკვლევა
სხვა გამოკვლევები
- ზრდის ჰორმონის სტიმულაციის ტესტები:
ნორმალური; ზრდის ჰორმონის დონიზ პიკი > 10 მიკროგრამი/ლ (>10 ნანოგრამი/მლ)
მეტი
გესტაციურ ასაკთან შედარებით პატარა, ვერ ახერხებს დაწევას 2 წლის ასაკისთვის
ანამნეზი
საშვილოსნოსშიდა ზრდის შეფერხება კონკრეტული სინდრომის გარეშე; SGA დაბადებისას
გასინჯვა
ჩვეულებრივ ნორმალური; პროპორციული მოკლე სიმაღლე
პირველი გამოკვლევა
- საწყისი ტესტის არარსებობა:
კლინიკური დიაგნოზი
სხვა გამოკვლევები
იშვიათია
ზრდის ჰორმონის დეფიციტი
ანამნეზი
ჰიპოგლიკემია ან მიკროპენისი დაბადებისას; ადეკვატური გესტაციური ასაკისთვის; ზრდის შეფერხება ხდება 2 წლის შემდეგ; შეიძლება თან ახლდეს ჰიპოფიზის სხვა ნაკლოვანებები
გასინჯვა
ზრდის შესამჩნევი შეფერხება; პროპორციული მოკლე სიმაღლე; "ქერუბიკული" გარეგნობა (გამოიყურებიან ბევრად უფრო ახალგაზრდულად, ვიდრე აღნიშნულ ასაკი, კუნთებისა და ცხიმების დაბალი თანაფარდობით); ბიჭებს შეიძლება ჰქონდეთ მიკროპენისი; შუა ხაზის დეფექტები, როგორიცაა თანდაყოლილი ზედა ტუჩის ნაპრალი.
პირველი გამოკვლევა
სხვა გამოკვლევები
- ზრდის ჰორმონის სტიმულაციის ტესტები:
დაბალი; ორი შემთხვევისას ზრდის ჰორმონის დონის პიკი <10 მიკროგრამი/ლ (<10 ნანოგრამი/მლ)
მეტი - თავის ტვინის მაგნიტურ რეზონანსული გამოსახვა (MRI):
შესაძლოა იყოს ნორმალური ან გამოავლინოს ჰიპოფიზის პათოლოგია, როგორიცაა ექტოპიური ჰიპოფიზის უკანა წილის ან ცნს-ის ავთვისებიანი მდგომარეობები
მეტი - ჰიპოფიზის ჰორმონის სრული შეფასება:
შესაძლოა გამოვლინდეს ჰიპოფიზის სხვა ჰორმონების დეფიციტი
მეტი
ჰიპოთირეოზი
ანამნეზი
დაღლილობა, სიცივის აუტანლობა, მშრალი კანი, თმის ცვენა, ყაბზობა, ლეთარგია და წონის მომატება; ზრდის შენელება შეიძლება მოხდეს ნებისმიერ ასაკში; ახალშობილთა სკრინინგის პროგრამებმა შეიძლება გამოავლინოს თანდაყოლილი პირველადი ჰიპოთირეოზი; შეძენილი აუტოიმუნური ჰიპოთირეოზი უფრო ხშირია გოგონებში.
გასინჯვა
პროპორციული მოკლე სიმაღლე; სახის გაუხეშება, შეშუპების გარეშე; ზრდის შენელება გაზრდილი წონის არსებობისას; ბრადიკარდია, ჰიპოთერმია მძიმე შემთხვევებში
პირველი გამოკვლევა
სხვა გამოკვლევები
კუშინგის სინდრომი
ანამნეზი
ბოლოდროინდელი ჭარბი წონის მომატება კუშინგოიდური განაწილებით, ზრდის უკმარისობით, მსუბუქი სისხლჩაქცევებით, ახალი სტრიებით, განწყობის ცვალებადობით; ასთმის ან ანთებითი მდგომარეობის ისტორია, რომლებიც მკურნალობენ კორტიკოსტეროიდებით; შედარებით უმნიშვნელო ცვლილებები და ზრდის შენელება საინჰალაციო კორტიკოსტეროიდებით
გასინჯვა
გაზრდილი წონა სიმაღლის თანაფარდობა, პროპორციული მოკლე სიმაღლე, აკნე, სიმსუქნე კუშინგოიდური მახასიათებლებით (მაგ., კამეჩის კეხი), ჰირსუტიზმი, იისფერი სტრიები, ჰიპერტენზია.
პირველი გამოკვლევა
- გვიან ღამით ნერწყვში კორტიზოლი:
მოამტებულია
მეტი
ზრდის ჰორმონის არასენსიტიურობა (ლარონის სინდრომი)
ანამნეზი
მძიმე ფორმის ტანდაბლობა დაბადებისას ნორმალური წონითა და სიგრძით; დაბადებისას ჰიპოგლიკემიის ანამნეზი
გასინჯვა
პროპორციული ტანდაბლობა წონისა და სიმაღლის კარგი თანაფარდობით
პირველი გამოკვლევა
სხვა გამოკვლევები
- ბაზალური ზრდის ჰორმონი:
ნორმალური ან მომატებული
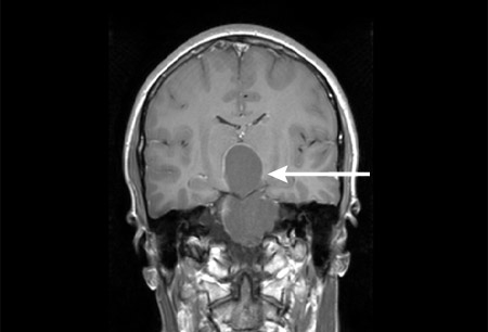
კრანიოფარინგიომა
ანამნეზი
თავის ტკივილი, დიპლოპია, ჰიპოფიზის სხვა ჰორმონების დეფიციტის სიმპტომები (მაგ. პოლიურია, დაყოვნებული სქესობრივი მომწიფება); ანამნეზში შესაძლოა იყოს კრანიოფარინგიომას გამო ოპერაცია/რადიოთერაპია
გასინჯვა
პროპორციული ტანდაბლობა, მხედველობის ნერვის დისკოს შეშუპება, მხედველობის კარგვა
პირველი გამოკვლევა
- თავის ტვინის მაგნიტურ რეზონანსული გამოსახვა (MRI):
შერეული სოლიდური/ცისტური სიმსივნე კალფიციკაციებით
მეტი - თავის ტვინის კომპიუტერული ტომოგრაფია:
შერეული სოლიდური/ცისტური სიმსივნე კალფიციკაციებით
მეტი - ზრდის ჰორმონის სტიმულაციის ტესტები:
დაბალი; ორი შემთხვევისას ზრდის ჰორმონის დონის პიკი <10 ნანოგრამი/მლ
მეტი - ჰიპოფიზის ჰორმონის სრული შეფასება:
ავლენს ჰიპოფიზის სხვა ჰორმონების დეფიციტს
მეტი
სხვა გამოკვლევები
ტერნერის სინდრომი
ანამნეზი
შესაძლოა გამოვლინდეს ძირითადად მოკლე სიმაღლით; დაბადებისას ლიმფედემის ისტორია; თანდაყოლილი გულის ან თირკმლის დაავადება, დაგვიანებული ან შეჩერებული პუბერტატი, სმენის დაქვეითება და სწავლის სირთულეები
გასინჯვა
შეიძლება იყოს ნორმალური, გარდა იმის რომ არის პროპორციული მოკლე სიმაღლისა ან კისრის სისქის , თმის უკანა ქვედა ხაზი, ფართო გულმკერდი ფართოდ დაშორებული ძუძუსთავებით, ჰიპერტელორიზმი, უკანა შებრუნებული ყურები, , შეიძლება ჰქონდეს გულის შუილი.
პირველი გამოკვლევა
- კარიოტიპი:
45 XO, 46/45 XX/XO, X ქრომოსომის ნაწილობრივი დელეცია ან წრიული X ქრომოსომა
მეტი
სხვა გამოკვლევები
- შრატის ფოლიკულის მასტიმულირებელი ჰორმონი (FSH) და ანტიმიულერის ჰორმონი (AMH):
FSH- (არანორმალურად) მაღალი; AMH- (არანორმალურად) დაბალი
მეტი - მუცლის/მენჯის ღრუს ულტრავგერითი გამოკვლევა:
საკვერცხეების დისგენეზი; შესაძლოა ჰქონდეს თირკმლის პათოლოგიები
- ექოკარდიოგრაფია:
აორტის სარქვლოვანი პათოლოგიები ან აორტის სტენოზი
ნუნანის სინდრომი
ანამნეზი
ზოგიერთი წარმოდგენილია მხოლოდ მოკლე სიმაღლით; სხვებს აქვთ დისმორფული ნიშნები, თანდაყოლილი გულის დაავადება და სწავლის სირთულე
გასინჯვა
შესაძლოა ნორმალური იყოს გარდა იმისა, რომ წარმოდგენილია პროპორციული ტანდაბლობა ან ფრთისებრი კისერი, დაბალი უკანა თმისზოლი, ქვემოთ მდებარე ყურები; შესაძლოა ჰქონდეთ გულის შუილი
პირველი გამოკვლევა
- საწყისი ტესტის არარსებობა:
კლინიკური დიაგნოზი
მეტი
სხვა გამოკვლევები
- გენეტიკური კვლევა:
შესაძლოა დადებითი იყოს PTPN11 გენის მუტაციაზე; სხვა დამახასიათებელი მუტაციები მოიცავს SOS1, RAF1, RIT1, RASA2, LZTR1, SHOC2, KRAS, NRAS, BRAF და MAP2K1
მეტი - ექოკარდიოგრაფია:
პულმონური სარქვლოვანი პათოლოგიები
რუსელ-სილვერის სინდრომი
ანამნეზი
იბადება პატარა გესტაციური ასაკისთვის, კვების გართულება,მომატებული ოფლიანობა, ჰიპოგლიკემიის ანამნეზი
გასინჯვა
პატარა სამკუთხა სახე, ასიმეტრია, კლინოდაქტილია; პროპორციული ტანდაბლობა
პირველი გამოკვლევა
- საწყისი ტესტის არარსებობა:
კლინიკური დიაგნოზი
სხვა გამოკვლევები
- გენეტიკური კვლევა:
შეიძლება გამოავლინოს დედის ერთი მშობლის დისომია მე-7 ქრომოსომისთვის (mUPD7) ან მეთილაციის დაკარგვა 11p15-ზე
21-ე ქრომოსომის ტრისომია
ანამნეზი
დისმორფული მახასიათებლებიდან გამომდინარე დიაგნოზი ძირითადად მტკიცდება დაბადებისას; დედის უფროსი ასაკი; განვითარების დაყოვნება; გულის ან გასტროინტესტინური ტრაქტის თანდაყოლილი პათოლოგიები
გასინჯვა
პროპორციული ტანდაბლობა, ჰიპოტონია, დისმორფული მახასიათებლები (მაგ. დიდი ენა, ზემოთ მიმართული ქუთუთოს ხაზი, მრგვალი სახე, ბრაქიცეფალია, ღრმა ხელისგულის ხაზი და ჰიპოტონია); შესაძლოა ჰქონდეთ გულის შუილი
პირველი გამოკვლევა
- კარიოტიპი:
ტრისომია 21
მეტი
სხვა გამოკვლევები
- ექოკარდიოგრაფია:
თანდაყოლილი დეფექტების გაზრდილი ინციდენტობა, როგორიცაა ატრიოვენტრიკულური ძგიდის დეფექტი, ვენტრიკულური ძგიდის დეფექტი
პრადერ-ვილის სინდრომი (PWS)
ანამნეზი
სიმსუქნე, ჰიპერფაგია, სწავლის გაძნელება
გასინჯვა
პროპორციული ტანდაბლობა, პატარა ხელები და ტერფები, გამოხატული სიმსუქნე
პირველი გამოკვლევა
- დნმ-ის მეთილაციის ტესტირება:
არ არის მამობრივი ალელი 15q11-q13-ზე
მეტი
სხვა გამოკვლევები
დი-ჯორჯის სინდრომი (velocardiofacial სინდრომი)
ანამნეზი
დაბადებისას დისმორფული მახასიათებლები; გაპობილი სასიდან და ეზოფაგური ფისტულადან გამომდინარე კვების გაძნელება, სწავლის გაძნელება
გასინჯვა
გაპობილი სასა, გულის მურმური, პროპორციული ტანდაბლობა
პირველი გამოკვლევა
- ფლუორესცენცია ადგილზე ჰიბრიდიზაცია:
ზონდის 1 ასლი თითო უჯრედზე ადასტურებს 22q11.2 წაშლა
მეტი
სხვა გამოკვლევები
- კარიოტიპი:
შეიძლება აღმოაჩინოს სხვა გენეტიკური დარღვევები
მეტი - ექოკარდიოგრაფია:
ყველაზე მეტად გავრცელებული გულის თანდაყოლილი დეფექტებია ფალოს ტეტრადა, დაზიანებული აორტის რკალი, ვენტრიკულური ძგიდის დეფექტი და პერსისტენტული truncus arteriosus
- ძვლის პროფილი:
ჰიპოკალცემია და ჰიპოპარათიროიდიზმი
გლუტენური დაავადება-ცელიაკია
ანამნეზი
დიარეა, წონის კლება, მუცლის ტკივილი[48]
გასინჯვა
პროპორციული ტანდაბლობა, სიმაღლესთან შედარებით დაბალი წონა, სიფერმკრთალე, მუცლის შებერილობა, კუნთების განლევა
პირველი გამოკვლევა
- იმუნოგლობულინი A-ქსოვილოვანი ტრანსგლუტამინაზას (IgA-tTG) ტესტი:
ლაბორატორიული ნორმალურ დიაპაზონზე მაღალი ტიტრი; თუმცა, ნორმალური ტიტრი არ გამორიცხავს ცელიაკიას, რადგან სერონეგატიური ცელიაკია გვხვდება პაციენტთა უმცირესობაში
- ენდომიზიური ანტისხეული:
მოამტებულია
მეტი - FBC:
ანემია, სისხლის თეთრი უჯრედების და თრომბოციტების მომატებული ან შემცირებული რაოდენობა
მეტი - სრულყოფილი სისხლის ბიოქიმიური ანალიზი:
ღვიძლის ფერმენტები მომატებული, დაბალი ალბუმინი
მეტი
სხვა გამოკვლევები
ცისტური ფიბროზი (CF)
ანამნეზი
გულმკერდის განმეორებითი ინფექციები, მალაბსორბცია, დიარეა, წონის ცუდ მომატება
გასინჯვა
პროპორციული ტანდაბლობა, სიმაღლესთან შედარებით დაბალი წონა, სიფერმკრთალე, კუნთების განლევა, ფილტვის პათოლოგია გასინჯვისას და ტაქიპნოე
პირველი გამოკვლევა
სხვა გამოკვლევები
- გენეტიკური ანალიზი:
CFTR გენის მუტაცია
ასთმა (საშუალო ან მძიმე ფორმის)
ანამნეზი
განმეორებითი ხველა, მსტვინავი სუნთქვა, საინჰალაციო თერაპია, ეკზემა, ხშირი ჰოსპიტალიზაცია და/ან კორტიკოსტეროიდები
გასინჯვა
პროპორციული ტანდაბლობა, სიმაღლესთან შედარებით დაბალი წონა, გასინჯვისას ფილტვის პათოლოგია და ტაქიპნოე
პირველი გამოკვლევა
- საწყისი ტესტის არარსებობა:
კლინიკური დიაგნოზი
გულის ქრონიკული დაავადება (თანდაყოლილი ან შეძენილი)
ანამნეზი
დაღლილობა, დისპნოე, ცუდი კვება, გულმკერდის ტკივილი, ფიზიკური დატვირთვის შეუწყნარებლობა, ციანოზი; წარსულში გულის ოპერაცია.
გასინჯვა
პროპორციული ტანდაბლობა, სიმაღლესთან შედარებით დაბალი წონა, სიფერმკრთალე, გულის შუილი, ტაქიკარდია, მკერდის ძვლის იარა.
პირველი გამოკვლევა
- ექოკარდიოგრაფია:
ხშირად ნორმალურია, მაგრამ შეიძლება გამოვლინდეს გულის დეფექტი ან გულის ცუდი ფუნქცია
მეტი
სხვა გამოკვლევები
შაქრიანი დიაბეტი
ანამნეზი
პოლიურია, პოლიდიპსია, წონის ცუდი მომატება, საშარდე გზების ხშირი ინფექიის ანამნეზი, ცუდი მადა; ან ინსულინის თერაპია ცუდი მოქნილობით
გასინჯვა
პროპორციული ტანდაბლობა, სიმაღლესთან შედარებით დაბალი წონა, ინექციის ადგილის შრამი
პირველი გამოკვლევა
- HbA1c:
≥48 მმოლ/მოლ (6.5%)
მეტი
სხვა გამოკვლევები
თირკმლის ქრონიკული უკმარისობა
ანამნეზი
შარდის ხშირი ინფექციები, ნელი წონის მომატება, ცუდი მადა, ჰემატურია, პროტეინურია; ოჯახური ანამნეზი თირკმელების ადრეული დაავადების
გასინჯვა
პროპორციული მოკლე სიმაღლე, დაბალი წონა სიმაღლის თანაფარდობით, ფერმკრთალი, შეშუპება, ჰიპერტენზია
პირველი გამოკვლევა
სხვა გამოკვლევები
იუვენილური იდიოპათური ართრიტი (JIA)
ანამნეზი
სახსრების ტკივილი, ცხელება
გასინჯვა
პროპორციული ტანდაბლობა, კოჭლობა, სახსრების შეშუპება, გამონაყარი
პირველი გამოკვლევა
- FBC:
ანემია, სისხლის თეთრი უჯრედების და თრომბოციტების მომატებული ან შემცირებული რაოდენობა
მეტი - ერითროციტების დალექვის სიჩქარე (ედს):
ნორმალური ან მომატებული
მეტი - სრულყოფილი სისხლის ბიოქიმიური ანალიზი:
მომატებული ღვიძლის ფერმენტები
მეტი - რევმატოიდული ფაქტორი:
შესაძლოა დადებითი იყოს
მეტი - ანტი-ბირთვული ანტისხეულები (ANA):
შესაძლოა დადებითი იყოს
მეტი
სხვა გამოკვლევები
კრონის დაავადება
ანამნეზი
მუცლის ტკივილი, დიარეა, სახსრების ტკივილი, სისხლიანი განავალი
გასინჯვა
პროპორციული ტანდაბლობა, სიმაღლესთან შედარებით დაბალი წონა, სიფერმკრთალე, მუცლის შებერილობა და მომატებული მგრძნობელობა, კანის გამონაყარი, ართრიტი, ანალური ჩართულობა, ფისტულა
პირველი გამოკვლევა
სხვა გამოკვლევები
წყლულოვანი კოლიტი
ანამნეზი
მუცლის ტკივილი, დიარეა, სახსრების ტკივილი, სისხლიანი განავალი.[49]
გასინჯვა
სიმაღლესთან შედარებით დაბალი წონა, პროპორციული ტანდაბლობა, სიფერმკრთალე, მუცლის შებერილობა და მომატებული მგრძნობელობა, კანის გამონაყარი, ართრიტი , ანალური ჩართულობის გარეშე?
პირველი გამოკვლევა
სხვა გამოკვლევები
ავთვისებიანი მდგომარეობა
ანამნეზი
ნებისმიერი ავთვისებიანი მდგომარეობის ანამნეზი; ცუდი კვება; დაღლილობა; სუბფებრილური ცხელება, ტკივილი. პაციენტი შესაძლოა იყოს ქიმიოთერაპიაზე ან რადიოთერაპიაზე
გასინჯვა
სიმაღლესთან შედარებით დაბალი წონა, პროპორციული ტანდაბლობა, სიფერმკრთალე, გასინჯვისას სისტემური პათოლოგია
პირველი გამოკვლევა
სხვა გამოკვლევები
თირკმლის მილაკების აციდოზი
ანამნეზი
წონის ცუდად მომატება, ცუდი მადა, ჰემატურია, თირკმლის ტკივილი
გასინჯვა
სიმაღლესთან შედარებით ცუდი წონა, სიფერმკრთალე, პროპორციულად სიდაბლე
პირველი გამოკვლევა
სხვა გამოკვლევები
რაქიტი
ანამნეზი
ძვლის ტკივილი, კბილის პრობლემები, ტეტანია, კუნთის სისუსტე, ცუდი კვება ან მზის სხივების შემცირებული ექსპოზიცია
გასინჯვა
ძვლის დეფორმაცია (genu varum, genu valgum, რაქიტი rosary), ღია ყიფლიბანდი, არაპროპორციული ტანდაბლობა (მძიმე ფორმის შემთხვევებში)
პირველი გამოკვლევა
- ძვლის პროფილი:
ჰიპოკალცემია, ჰიპოფოსფატემია (კვებითი რაქიტი), მომატებული ტუტე ფოსფატაზა
- მაჯის რენტგენი:
შემცირებული მინერალიზაცია
სხვა გამოკვლევები
ჩონჩხის დისპლაზია (მა. აქონდროპლაზია, ჰიპოქონდროპლაზია, არასრული ოსტეოგენეზი)
ანამნეზი
განმეორებითი მოტეხილობები არასრული ოსტეოგენეზისას ძირითადი ტრავმების გარეშე; შუა ყურის განმეორებითი ანთება აქონდროპლაზიისას ჰიდროცეფალიასთან ერთად; ძვლის დისპლაზიის ოჯახური ანამნეზი
გასინჯვა
არაპროპორციული ტანდაბლობა, ძვლის დეფორმირება, ლურჯი სკლერა (არასრული ოსტეოგენეზისას), კიფოსქოლიოზი (აქონდროპლაზიისას), ღია ყიფლიბანდი
პირველი გამოკვლევა
- ჩონჩხის დათვალიერება:
პათოლოგიურია
მეტი
სხვა გამოკვლევები
ხერხემლის სვეტის დაავადებები (ირადიაცია, ოპერაცია, თანდაყოლილი დეფორმაციები)
ანამნეზი
შეიძლება ჰქონდეს ცნობილი თანდაყოლილი დეფორმაცია, როგორიცაა ჰემივერტებრა; წინა ავთვისებიანი სიმსივნე, რომელიც მკურნალობდა დასხივებით ან ხერხემლის ქირურგიით
გასინჯვა
არაპროპორციული ტანდაბლობა უფრო მოკლე ზედა სეგმენტით
პირველი გამოკვლევა
- ხერხემლის სვეტის რენტგენი:
ავლენს დეფორმაციას
სხვა გამოკვლევები
ფსიქოსოციალური დეპრივაცია (ძალადობა, უარყოფა, შიმშილი, ინსტიტუტიონალიზაცია)
ანამნეზი
ძალადობა, უარყოფა, ინსტიტუტიონალიზაცია, სახლის არასტაბილური გარემო, განმეორებითი მოტეხილობები, წონის ცუდი მომატება
გასინჯვა
უარყოფის ნიშნები (საფენის გამონაყარი, ჭრილობები, ცუდი ჰიგიენა), ძალადობის ნიშნები (დაჟეშილობები, მოტეხილობები), მალნუტრიციის ნიშნები (განლეული კუნთი, შემცირებულიკანქვეშა ცხიმი), სისხლჩაქცევა ბადურაში თუ ბავშვი ძალადობრივად შეარხიეს, პროპორციული ტანდაბლობა
პირველი გამოკვლევა
- საწყისი ტესტის არარსებობა:
კლინიკური დიაგნოზი
მეტი
სხვა გამოკვლევები
ნერვული ანორექსია
ანამნეზი
წონის ცუდი მომატება, დაბალი კალორიული რაოდენობა, კვების პათოლოგიური სურათი, კვებითი დაავადებების ოჯახური ანამნეზი, ყურადღების დეფიციტის, ჰიპერაქტივობის სინდრომის სამკურნალო მედიკამენტების ანამნეზი
გასინჯვა
სიმაღლის ფარდობასთან შედარებით დაბალი წონა, პროპორციული ტანდაბლობა, მცირე რაოდენობით კანქვეშა ცხიმი
პირველი გამოკვლევა
- კლინიკური ანამნეზი:
დეტალურ ისტორიას ისეთი კრიტერიუმების გამოყენებით, როგორიცაა DSM-5-TR, შეუძლია დაადასტუროს დიაგნოზი
- FBC:
შეიძლება ჰქონდეს ანემია, მსუბუქი ლეიკოპენია ან თრომბოციტოპენია
- მეტაბოლური ცვლის კვლევების ბაზისური პანელი:
შესაძლოა იყოს დარღვეული
- ფარისებრი ჯირკვლის ფუნქციური სინჯები:
დაბალი T3, ნორმალური T4, ნორმალური TSH
მეტი
სხვა გამოკვლევები
კალიუმის გასტროინტესტინური კარგვა
ანამნეზი
წონის ცუდი მომატება, კალორიების დაბალი რაოდენობა, კვების პათოლოგიური სურათი, კვების დაავადებების ოჯახური ანამნეზი, ყურადღების დეფიციტისა და ჰიპერაქტივობის სინდრომის სამკურნალო მედიკამენტების ანამნეზი
გასინჯვა
სიმაღლის ფარდობასთან შედარებით დაბალი წონა, პროპორციული ტანდაბლობა, მცირე რაოდენობით კანქვეშა ცხიმი
პირველი გამოკვლევა
- კლინიკური ანამნეზი:
დეტალურ ისტორიას ისეთი კრიტერიუმების გამოყენებით, როგორიცაა DSM-5-TR, შეუძლია დაადასტუროს დიაგნოზი
- FBC:
შეიძლება ჰქონდეს ანემია.
სხვა გამოკვლევები
ნაყოფის ალკოჰოლური სინდრომი
ანამნეზი
ანტენატალურ პერიოდში დედის მიერ ალკოჰოლის მიღება, ცუდი სოციალური ანამნეზი, დაბადებისას გესტაციურ ასაკთან შედარებით პატარა , სწავლის გაძნელება
გასინჯვა
პროპორციული ტანდაბლობისას თავის ქალის-სახისა და ცნს-ის პათოლოგიების არსებობა
პირველი გამოკვლევა
- საწყისი ტესტის არარსებობა:
კლინიკური დიაგნოზი
სხვა გამოკვლევები
ყურადღების დეფიციტის და ჰიპერაქტივობის სინდრომისთვის სტიმულანტი მედიკამენტები
ანამნეზი
გასინჯვა
პროპორციული ტანდაბლობა
პირველი გამოკვლევა
- საწყისი ტესტის არარსებობა:
კლინიკური დიაგნოზი
სხვა გამოკვლევები
ამ მასალის გამოყენება ექვემდებარება ჩვენს განცხადებას
