კვლევები
1-ად შესაკვეთი გამოკვლევები
სპირომეტრია
ტესტი
ტესტი ადგენს FEV1 და FVC. აღნიშნული ორი მაჩვენებლის თანაფარდობა სასუნთქი გზების ობსტრუქციაზე მიუთითებს. COPD-ის სიმძიმის კლასიფიცირება ხდება პაციენტის FEV1-ით და FEV1-ის სავარაუდო მონაცემთან შედარებით მისი პროცენტული მაჩვენებლით. იმ შემთხვევებში, როდესაც FVC-ის განსაზღვრა შეიძლება რთული იყოს, შეიძლება გამოყენებულ იქნას FEV6 (ფორსირებული ამოსუნთქვის მოცულობა 6 წამში).[62]
სპირომეტრია შეიძლება ჩატარდეს სულ მცირე ერთი ხანმოკლე მოქმედების საინჰალაციო ბრონქოდილატორის მიღების შემდეგ, რითაც ვარიაბელობა მცირდება.[1]
ჯანდაცვის პირველადი რგოლის ექიმი განმარტავს, თუ როგორ უნდა ჩატარდეს სპირომეტრა და როგორ ავირიდოთ თავიდან შეცდომები.
გაიდლაინი, თუ როგორ უნდა ჩატარდეს სპირომეტრია და მოხდეს შედეგების ინტერპრეტაცია, მათ შორის ხშირად გამოვლენილი სირთულეები.
შედეგი
FEV1/FVC თანაფარდობა <0,7; სრული შეუქცევადობა საჭირო არ არის და არც ყველაზე ტიპიური შედეგია
სიმპტომების სტანდარტიზებული ქულა
ტესტი
ჰაერის ნაკადის დინების შეზღუდვასთან ერთად, ფილტვის ქრონიკული ობსტრუქციული დაავადების გლობალური ინიციატივის (GOLD) გაიდლაინებით აღიარებულია რა გამწვავებების გავლენა COPD-ის ბუნებრივ მიმდინარეობაზე, ყურადღებაა გამახვვილებული გამწვავებების და თანმხლები დაავადებების სიმპტომებისა და რისკ-ფაქტორების შეფასების მნიშვნელოვანებას.[1]
ბრიტანეთის სამედიცინო კვლევის მოდიფიცირებული საბჭოს (mMRC) კითხვარი ან ფქოდ-ის შეფასების ტესტი (CAT) სიმპტომების შეფასების რეოკმენდებული ხელსაწყოებია. აღნიშნულის ნახვა შესაძლებელია გლობალური ინიციატივა ფქოდისთვის (GOLD) გაიდლაინებში.[1] GOLD-ი მხოლოდ mMRC დისპნეის შკალით პაციენტების შეფასების წინააღმდეგ გვაფრთხილებს, ვინაიდან ფქოდ-ის სიმპტომები მხოლოდ ქოშინით არ შემოიფარგლება. ამ მიზეზით უპირატესია CAT-ი. თუმცა, GOLD აღიარებს, რომ mMRC სკალა ფართოდ გამოიყენება და mMRC-ის ≥2 ზღვრული მაჩვენებელი "სუნთქვის მეტად გაძნელების" და "სუნთქვის ნაკლებად გაძნელების" მქონე პაციენტების განასაზღვრად კვლავ შედის შეფასების კრიტერიუმებში.[1]
შედეგი
მოდიფიცირებული მედიცინის კვლევის საბჭოს ქულა მერყეობს 0-4-მდე; ფქოდ-ის შეფასების ტესტი მერყეობს 0-40-მდე: მოდიფიცირებული მედიცინის კვლევის საბჭოს ქულა ≥2 ან ფქოდი-ს შეფასების ქულა ≥10 მიუთითებს სიმპტომებით მაღალ დატვირთვაზე
პულსოქსიმეტრიით
ტესტი
მწვავე შემთხვევებში ისაზღვრება, როგორც ერთ-ერთი ვიტალურ ნიშანი. მოწყობილობა "ამოარჩევს" კარგ პულსურ ტალღას. ქრონიკული დაავადების მქონე პაციენტებში, ჟანგბადით გაჯერება (სატურაცია) 88%-დან 90%-მდე შეიძლება იყოს მისაღები.
თუ ≤92%, უნდა შემოწმდეს არტერიული სისხლის აირები (ABG).[1]
შედეგი
ჟანგბადით დაბალი გაჯერება (სატურაცია) -
არტერიული სისხლის აირები (ABG)
ტესტი
მოწმდება ძალიან მძიმე პაციენტებში, განსაკუთრებით, თუ პულსოქსიმეტრით მიღებული შედეგები არ ჯდება ნორმის ფარგლებში. ასევე უნდა ჩატარდეს სტაბილურ პაციენტებში FEV1 < სავარაუდოს 35%-ით ან კლინიკური ნიშნებით, რომლებიც მიუთითებენ სუნთქვის უკმარისობაზე, ან თუ პერიფერიული არტერიული ჟანგბადით გაჯერება არის ≤92%.
ჰიპერკაპნია, ჰიპოქსია და რესპირატორული აციდოზი, მოსალოდნელი სუნთქვის უკმარისობის და ინტუბაცის შესაძლო საჭიროების მანიშნებელია.
შედეგი
PaCO₂ > 50 მმ.ვწყ.სვ და/ან PaO₂ <60 მმ.ვწყ.სვ მიუთითებს სუნთქვის უკმარისობაზე
გულმკერდის რენტგენოლოგიური კვლევით
ტესტი
იშვიათადაა დიაგნოსტიკური, მაგრამ სასარგებლოა სხვა პათოლოგიების გამორიცხვისა და მნიშვნელოვანი თანმხლები დაავადებების არსებობის (მაგ., ფილტვის ფიბროზის, კარდიომეგალიის) შესაფასებლად.[1]
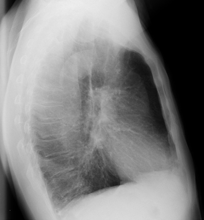
შეიძლება გამოვლინდეს ანტეროპოსტერიორული (წინარეუკანა) თანაფარდობის და ფილტვის გამჭირვალობის ზრდა, დიაფრაგმის გადასწორება, ნეკნთაშუა სივრცეების გაფართოება.[Figure caption and citation for the preceding image starts]: ფილტვის ქრონიკული ობსტრუქციული დაავადების (COPD) მქონე პაციენტის გულ-მკერდის რენტგენოგრამა:Manoochehr Abadian Sharifabad, MD -ის კოლექციიდან [Citation ends].
[Figure caption and citation for the preceding image starts]: COPD-ის დროს გულმკერდის რენტგენოგრაფია(გვერდითი პროექცია): გადაბერილი ფილტვები, დიაფრაგმის გადასწორება, ნეკნთაშუა სივრცეების გაფართოება ლატერალურ ჭრილში.Manoochehr Abadian Sharifabad, MD -ის კოლექციიდან [Citation ends].
ასევე შეიძლება გამოავლინიოს COPD-ის ისეთი გართულებები, როგორიცაა პნევმონია ან პნევმოთორაქსი.
შედეგი
გადაბერვა
FBC
ტესტი
ეს ტესტი შეიძლება გათვალისწინებულ იქნას გამწვავების სიმძიმის შესაფასებლად და შეიძლება აჩვენოს პოლიციტემია (ჰემატოკრიტი >55%), ანემია და ლეიკოციტოზი. დიდი ბრიტანეთის გაიდლაინების მიხედვით, სისხლის საერთო ანალიზი რეკომენდებულია ყველა ახლადდიაგნოსტირებულ პაციენტთან.[2]
შედეგი
მომატებული ჰემატოკრიტი, ანემია, შესაძლოა ლეიკოციტოზი
გასათვალისწინებელი კვლევები
სუნთქვის ფუნქციური სინჯები
ტესტი
სპეციალიზებულ ლაბორატორიებში ჩატარებული დეტალური ფილტვის ფუნქციური ტესტებით შეიძლება ნაკადის მოცულობის მაჩვენებლები და ინსპირაციული მოცულობა გაიზომოს. ის არ გამოიყენება რუტინულად, მაგრამ შეიძლება სასარგებლო იყოს დიაგნოსტიკური უზუსტობების აღმოსაფხვრელად და წინასაოპერაციო შეფასებისთვის.
ფილტვების დიფუზური მოცულობის განსაზღვრა ნახშირბადის მონოქსიდთან (DLCO) ადრე მხოლოდ სპეციალიზებულ ლაბორატორიებში იზომებოდა; თუმცა, ახლა უკვე ხელმისაწვდომია პორტატული სისტემები, რაც საშუალებას იძლევა გაზომვები მოხდეს ადგილზე. GOLD-ის საერთაშორისო გაიდლაინებით რეკომენდებულია DLCO-ს განსაზღვრა თუ COPD-ით დაავადებულ პაციენტს აქვს ქოშინი, რომელიც ჰაერგმატარი გზების ობსტრუქციის ხარისხის არაპროპორციულია. DLCO-ის დაბალი მაჩვენებელი (< სავარაუდოს 60%) COPD-ით დაავადებულ პაციენტებთან ასოცირდება ფიზიკური დატვირთვის დაქვეითებულ უნართან, ჯანმრთელობის მდგომარეობის გაუარესებასთან და სიკვდილის რისკთან.[1]
შედეგი
ობსტრუქციისთვის დამახასიათებელი სურათი, შემცირებული DLCO (< სავარაუდოს 60%)
გულმკერდის CT (კომპიუტერული ტომოგრაფია)
ტესტი
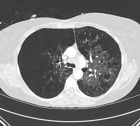
გულმკერდის რენტგენოლოგიურ კვლევასთან შედარებით უკეთესად ვიზუალიზდება ფილტვის ქსოვილის დაზიანების გავრცელება და გადაბერვის ხარისხი.[Figure caption and citation for the preceding image starts]: გულმკერდის CT COPD-ის დროს: გადაბერილი ფილტვი, ემფიტემატოზური ცვლილებები და მომატებული ანტერო-პოსტერიული დიამეტრი(კასრისებური გულმკერდი)Manoochehr Abadian Sharifabad, MD -ის კოლექციიდან [Citation ends].
მოწევასთან დაკავშირებულ COPD-ისგან განსხვავებით , ალფა-1 ანტიტრიფსინის დეფიციტი მეტად აზიანებს ფილტვის ქვედა არეებს.
ფილტვების ქრონიკული ობსტრუქციული დაავადების გლობალური ინიციატივის (GOLD) გაიდლაინები რეკომენდაციას უწევენ CT-ს გამოყენებას პაციენტებთან, რომლებსაც აქვთ პერსისტენტული გამწვავებები, ფილტვის ფუნქციური სინჯებით განსაზღვრულ სიმძიმესთან შეუსაბამო სიმპტომები, FEV1 < სავარაუდოს 45% და გამოხატულია საგულისხმო ჰიპერინფლაცია, და ვინც აკმაყოფილებს ფილტვის კიბოს სკრინინგის კრიტერიუმებს.[1]
ყოველწლიური დაბალი დოზირებით CT სკანირება (LDCT) რეკომენდებულია აშშ-ს პრევენციული სერვისების სამუშაო ჯგუფის მიერ ფილტვის კიბოს სკრინინგისთვის პაციენტებში COPD-ით, რომელიც გამოწვეულია მოწევით.[66]
შედეგი
გადაბერვა
სერიული პიკური დინების გაზომვა
ტესტი
თუ დიაგნოზი გაურკვეველია, შეიძლება გამოიყენოთ ბროქული ასთმის გამოსარიცხად.[2]
შედეგი
<20% დღიური ან დღიდან-დღემდე ცვალებადობა
ნახველის დათესვა
ტესტი
იმ პაციენტების ნახველი, რომელთაც აღენიშნებათ მექანიკური ვენტილაციის საჭიროება, ხშირი გამწვავებები, სასუნთქ გზებში ჰაერის ნაკადის მძიმე შეზღუდვა და/ან გამწვავებები, უნდა გაიგზავნოს ლაბორატორიაში კულტივირებისათვის.[1]
შედეგი
ინფექციური აგენტი
ალფა-1 ანტიტრიფსინის დონე
ტესტი
ალფა-1 ანტიტრიფსინის დეფიციტის შემთხვევაში აღინიშნება დაქვეითებული დონე. ტესტს ატარებებ თუ არსებობს ალფა-1 ანტიტრიფსინის დეფიციტის საფუძვლიანი ეჭვი, როგორიცაა ოჯახური ანამნეზი ან COPD ატიპური შემთხვევები(ახალგაზრდა ასაკი და არამწეველი)[1] COPD-ის დიაგნოზის მქონე ყველა პაციენტმა ერთხელ უნდა გაიაროს სკრინინგი, განსაკუთრებით ალფა-1 ანტიტრიფსინის დეფიციტის მაღალი პრევალენტობის არეებში.[1][64][65]
შედეგი
ნორმალური უნდა იყოს პაციენტებთან COPD-ით, რომელიც დაკავშირებულია მოწევასთან
დატვირთვის ტესტი
ტესტი
დისპროპორციული დისპნოეს მქონე პაციენტებში შეიძლება, სპირომეტრიასთან შედარებით მეტად ღირებული იყოს.[1] ის შეიძლება შესრულდეს ველო ან სარბენი ბილიკის ერგომეტრზე, ან მარტივი სიარულის ტესტით (მაგ., 6 წუთიანი ან <6 წუთიანი ტესტით).[68] დატვირთვის ტესტი შეიძლება გამოვიყენოთ აგრეთვე იმ პაციენტების შესარჩევად, რომელთაც უნდა გაიარონ რეაბილიტაციის კურსი.
შედეგი
ტესტის ცუდი შედეგები ან დატვირტვისას ჰიპოქსემიის განვითარება მიგვანიშნებს დაავადების მოგვიანებით სტადიაზე
ძილის შესწავლა
ტესტი
ღამის ობსტრუქციული აპნოე გავრცელებულია COPD-ის მქონე პაციენტებში და ასოცირდება სიკვდილის და ჰოსპიტალიზაციის მომატებულ რისკთან.[67]
შედეგი
მომატებული აპნოე-ჰიპოპნოეს ინდექსი და/ან ღამის ჰიპოქსემია
სასუნთქი კუნთების ფუნქცია
ტესტი
რესპირატორული კუნთების ფუნქცია შეიძლება შემოწმდეს, თუ ქოშინი ან ჰიპერკაპნია არაპროპორციულად არის გაზრდილი FEV1-თან მიმართებაში, ასევე ცუდი კვების მქონე პაციენტებში და კორტიკოსტეროიდებით გამოწვეული მიოპათიის მქონე პაციენტებში.[69]
შედეგი
მაქსიმალური ჩასუნთქვის დროს განვითარებული წნევის შემცირება
ელექტროკარდიოგრამა
ტესტი
ფქოდ-ის და გულის იშემიური დაავადების რისკ-ფაქტორები მსგავსია, ამიტომ მათი თანაარსებობა ხშირია. მარჯვენა გულის უკმარისობა შეიძლება განვითარდეს ხანგრძლივი COPD-ის დროს (ფილტვისმიერი გული).
შედეგი
მარჯვენა პარკუჭის ჰიპერტროფიის ნიშნები, არითმია, იშემია
ექოკარდიოგრაფია
ტესტი
გულის სტატუსის შესაფასებლად, თუ სავარაუდოა გულის დაავადება ან ფილტვის ჰიპერტენზია.[2]
შედეგი
შეიძლება იყოს ნორმა ან შეიძლება აჩვენოს მარჯვენა გულის უკმარისობა და/ან ფილტვის ჰიპერტენზია
სისხლში ეოზინოფილების რაოდენობა
ტესტი
სისხლში ეოზინოფილების მაჩვენებლით შეიძლება გამოვლინდეს პაციენტები, რომლებიც უფრო მეტად რეაგირებენ საინჰალაციო კორტიკოსტეროიდებზე (ICS).[70][71][72] ამით შეიძლება წინასწარ განისაზღვროს ICS დამატების ეფექტურობა ხანგრძლივი მოქმედების ბრონქოდილატატორებით მკურნალობაზე გამწვავებების თავიდან ასაცილებლად.[71][72][73] ICS-ით მიღებული ეფექტი მცირეა ან საერთოდ არ შეინიშნება სისხლში ეოზინოფილების რაოდენობაზე <100 უჯრედი/მიკროლიტრი, ხოლო მაქსიმალური ეფექტი შეინიშნება სისხლში ეოზინოფილების რაოდენობაზე ≥300 უჯრედ/მიკროლიტრზე.[70][74] ეს სავარაუდო ზღვრული მაჩვენებლებია, რომლებიც შეიძლება დაეხმარონ კლინიცისტებს წინასწარ განსაზღვრონ ICS მკურნალობის სარგებლის ალბათობა.[1] თუ სისხლში ეოზინოფილების რაოდენობა ≥300 უჯრედი/მიკროლიტრზე, გამწვავების რისკი ყველაზე მაღალია საინჰალაციო კორტიკოსტეროიდის მოხსნის შემდეგ.[75]
შედეგი
შეიძლება იყოს ნორმა ან მომატებული
ამ მასალის გამოყენება ექვემდებარება ჩვენს განცხადებას

