კვლევები
1-ად შესაკვეთი გამოკვლევები
FBC
ტესტი
უნდა გაკეთდეს ვისცერული ლეიშმანიოზის მქონე პაციენტებში.
ანემია ყველაზე ხშირად ვლინდება, შემდეგ მოსდევს ლეიკოპენია და თრომბოციტოპენია.
პანციტოპენია ნეპალში აღინიშნა პაციენტების მხოლოდ 16%-ში, მაგრამ სპეციფიურობა მაღალი იყო (98%).[85] პანციტოპენია უფრო ხშირია აივ კოინფიცირებულ პაციენტებში.[86]
შედეგი
ანემია, ლეიკოპენია, თრომბოციტოპენია
ღვიძლის ფუნქციური სინჯები და შარდოვანა/კრეატინინი
ტესტი
პარომომიცინით, ხუთვალენტიანი ანტიმონიური პრეპარატებით, ამფოტერიცინ B-თი ან მილტეფოზინით მკურნალობა საჭიროებს ღვიძლის და თირკმლის ფუნქციის მონიტორინგს; შესაბამისად, საჭიროა ღვიძლის ფუნქციისა და შარდოვანას/კრეატინინის საწყისი მაჩვენებლების გაზომვა.
შედეგი
ცვალებადია; შეიძლება იყოს მომატებული ვისცერული ლეიშმანიოზის დროს, განსაკუთრებით ტუტე ფოსფატაზა
ადამიანის ქორიონული გონადოტროპინი (hCG) შრატში
ტესტი
ორსულობის სტატუსი განსაზღვრავს მკურნალობის ვარიანტებს. იმუნური პასუხი განსხვავებულია ორსულობის მოგვიანებით ფაზაში. შესაბამისად, საჭიროა რეპროდუქციული ასაკის ყველა ქალის ტესტირება მკურნალობის დაწყებამდე.
შედეგი
შესაძლოა იყოს დადებითი ან უარყოფითი
გასათვალისწინებელი კვლევები
შესაბამისი ნიმუშების მიკროსკოპული კვლევა
ტესტი
რეკომენდებულია დიაგნოზის დასადასტურებლად, როცა ეჭვია კანის ან ვისცერულ ლეიშმანიოზზე. ყველაზე ხშირი დამადასტურებელი ტესტია კანის ლეიშმანიოზის ენდემურ ქვეყნებში.[1]
კანის ლეიშმანოიზი: ბიოფსიის ასპირატები, ნაცხები, ანაფხეკი, კანის გაკვეთისას აღებული ნაცხები.[77] მგრძნობელობა ცვალებადია და დამოკიდებულია ნიმუშის შეგროვების ტექნიკაზე, დაზიანებების ხანგრძლივობაზე, დაწყლულების გამოვლენაზე, სუპერინფექციის არსებობაზე. მგრძნობელობა დაბალია (<50%) ლორწოვანის ლეიშმანიოზის დროს.[1][87]
ვისცერული ლეიშმანიოზი: ნიმუშის აღება შესაძლებელია ელენთის ქსოვილის (თუმცა, არ არის რეკომენდებული ფატალური ჰემორაგიის რისკის გამო), ძვლის ტვინის, ღვიძლის ან ლიმფური კვანძების ასპირაციით. ელენთის ასპირატის მიკროსკოპული გამოკვლევა ყველაზე მგრძნობიარე მეთოდია (>95%), მაგრამ ახასიათებს ძლიერი სისხლდენის განვითარების რისკი 1:1000; საჭიროა ტექნიკის კარგად ცოდნა.[88] ძვლის ტვინის ასპირატის ან ლიმფური კვანძიდან მიღებული სითხის გამოკვლევა უფრო უსაფრთხოა, მაგრამ ხასიათდება შედარებით დაბალი მგრძნობელობით (70-90% და 58%, შესაბამისად). იმუნოსუპრესიულ პაციენტებში ძვლის ტვინის გამოკვლევის მგრძნობელობა იმატებს 85%-მდე.[89][90] აივ ინფექციის მქონე იმუნოკომპრომისულ პირებში სადიაგნოსტიკოდ გამოიყენება კუჭ-ნაწლავის ლორწოვანი ქსოვილის ბიოფსია ან პერიფერიული სისხლის ლეიკოციტებისა და თრომბოციტების ფენის ნაცხი.
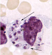
ასევე გამოიყენება კალა-აზარის შემდგომი კანის ლეიშმანიოზის დიაგნოზის დასადასტურებლად. დიაგნოსტიკის მგრძნობელობა უმჯობესდება, თუ საკვლევი ნიმუში დიდი ზომის ან კვანძოვანი დაზიანებიდან არის აღებული.[6][Figure caption and citation for the preceding image starts]: კანის პრეპარატი, რომელზეც ვლინდება Leishmania tropica ამასტიგოტები. ინტაქტური მაკროფაგი პრაქტიკულად სავსეა ამასტიგოტებით, რომელთაგან რამდენიმეს აქვს ადვილად გარჩევადი ბირთვი და კინეტოპლასტები (ისრები)Image courtesy of CDC; NCID; DPDx [Citation ends].
შედეგი
ლეიშმანიის ამასტიგოტური ფორმა მაკროფაგებში ან მონოციტებში
პერიფერიული სისხლის ლეიკოციტებისა და თრომბოციტების ფენის ან ქსოვილის კულტურა
ტესტი
რეკომენდებულია დიაგნოზის დასადასტურებლად კანის ან ვისცერული ლეიშმანიოზის შესაძლო შემთხვევებში, განსაკუთრებით გამოსადეგია პარაზიტის სახეობის განსაზღვრის მიზნით.
ნოვი-ნიკოლი-მაკნილის ნიადაგი ან სხვა ორფაზოვანი-ტიპის ნიადაგი ხშირად გამოიყენება, თუმცა უმეტესად შნაიდერის მოდიფიცირებული ნიადაგიც საკმარისია.[91]
სპეციფიკურობა 100%-ია, მაგრამ მგრძნობელობა ვარიაბელურია (როგორც წესი, <50%) და დამოკიდებულია ნიმუშის აღების ტექნიკასა და კულტურის ნიადაგის ხარისხზე, ასევე ნიმუშის დამუშავებაზე, ლაბორატორიულ ინფრასტრუქტურაზე, დაზიანებების ხანგრძლივობასა და სუპერინფექციის არსებობაზე. იზოფერმენტული აღწერილობის მქონე კულტურა სახეობების იდენტიფიკაციის საშუალებას იძლევა.
ასევე გამოიყენება კალა-აზარის შემდგომი კანის ლეიშმანიოზის დიაგნოზის დასადასტურებლად. დიაგნოსტიკის მგრძნობელობა უმჯობესდება, თუ საკვლევი ნიმუში დიდი ზომის ან კვანძოვანი დაზიანებიდან არის აღებული.[6]
შედეგი
ლეიშმანიის პრომასტიგოტური ფორმა კულტურის ნიადაგზე
პოლიმერაზული ჯაჭვური რეაქცია (PCR)
ტესტი
თუ ხელმისაწვდომია, რეკომენდებულია დიაგნოზის დასადასტურებლად, როცა ეჭვია კანის ლეიშმანიოზზე ან ვისცერულ ლეიშმანიოზზე. უფრო მგრძნობიარეა, ვიდრე მიკროსკოპული კვლევა ან პარაზიტის კულტივირება შესაძლო ვისცერული და კანის ლეიშმანიოზის დროს.[8]
ქსოვილოვანი ბიოფსიის მგრძნობელობა კანის ლეიშმანიოზის დროს და პერიფერიული სისხლის ანალიზის მგრძნობელობა ვისცერული ფორმის დროს ვარირებს 70-100%-ს შორის.[78][82][92][93]
განსაკუთრებით გამოსადეგია, როცა პარაზიტებით დატვირთვა დაბალია (მაგ. ლორწოვანი ლეიშმანიოზის დროს).[78]
ასევე შეიძლება გამოიყენოთ დიაგნოზის დასადასტურებლად კალა-აზარის-შემდგომი კანის ლეიშმანიოზის დროს. მგრძნობელობა უმჯობესდება, თუ საკვლევი ნიმუში დიდი ზომისაა ან კვანძოვანი დაზიანებიდან არის აღებული.[6]
რეკომენდებულია, როცა საჭიროა სახეობის განსაზღვრა (მაგ., ლეიშმანიის [Viannia] სახეობებით ინფიცირების გამო მომავალში ლორწოვანი ლეიშმანიოზის განვითარების რისკის განსაზღვრის მიზნით). პჯრ სახეობების დონეზე ვერ არჩევს პათოგენებს, ხშირად მხოლოდ გვარს ვიღებთ.
PCR-ის დიაგნოსტიკური ღირებულება ვისცერული ლეიშმანიოზის რეციდივის დროს არასაიმედოა, რადგან PCR დადებითი შესაძლოა იყოს კლინიკურად განკურნებულ შემთხვევებშიც; თუმცა, რაოდენობრივი PCR-ით რეციდივის დროს შეიძლება გამოვლინდეს დნმ-ის დონის მატება.[82]
შედეგი
ლეიშმანიის დნმ
სეროლოგია
ტესტი
რეკომენდებულია დიაგნოზის გასამყარებლად შესაძლო ვისცერული ლეიშმანიოზის დროს.[8]
იმუნოკომპეტენტურ პაციენტებში, რომელთაც საეჭვო ვისცერული ლეიშმანიოზი აღენიშნებათ, გამოსადეგი ტესტია, მაგრამ ნაკლებად მგრძნობიარეა იმუნოსუპრესიულ პაციენტებთან შედარებით. შეიძლება გამოიყენოთ იმუნოსუპრესიულ პაციენტებშიც, თუ პარაზიტოლოგიური დიაგნოსტიკა არ არის ხელმისაწვდომი.[19][81]
არსებობს სხვადასხვა მაღალი მგრძნობელობისა და სპეციფიკურობის ტესტები. არჩევანი დამოკიდებულია ხელმისაწვდომობასა და ლაბორატორიულ შესაძლებლობებზე.[2]
პირდაპირი აგლუტინაციის ტესტი: 30 კვლევის მეტა-ანალიზით გამოვლინდა 94.8% სენსიტიურობა და 97.1% სპეციფიკურობა.[94]
rK39 სწრაფი დიაგნოსტიკური ტესტი: ჩასატარებლად საჭიროა 10-20 წუთი. 18 კვლევის მეტა-ანალიზმა აჩვენა მგრძნობელობა 91.9% და სპეციფიკურობა - 92.4%.[95] აღმოსავლეთ აფრიკაში, ინდოეთის სუბ-კონტინენტთან და ლათინურ ამერიკასთან შედარებით, მგრძნობელობა უფრო დაბალია.[65][95][96][97]
არაპირდაპირი ფლუორესცენტული ანტისხეულების ტესტი: აღწერილია საშუალო-მაღალი სენსიტიურობა (>85%) და მაღალი სპეციფიკურობა (>90%).[98][99]
ფერმენტ-დაკავშირებული იმუნოსორბენტული კვლევა (ELISA): მაღალმგრძნობიარე და ძლიერ სპეციფიკური. ლეიშმანიის ანტიგენი ან სხვადასხვა რეკომბინანტული ცილები (rK39-ს ჩათვლით) შეიძლება გამოვიყენოთ; რეკომბინანტული ანტიგენის გამოყენებამ შეიძლება გაზარდოს მგრძნობელობა.[2]
ვესტერნ ბლოტი: იმედისმომცემი ტესტია, მაგრამ მხოლოდ რამდენიმე ლაბორატორიას აქვს მისი გამოყენების გამოცდილება.[100]
რეციდივის დიაგნოზი ვერ დაეფუძნება სეროლოგიურ ტესტებს, რადგან Leishmania donovani ან Leishmania infantum-ის (სინონიმი: Leishmania chagasi) საწინააღმდეგო ანტისხეულები, როგორც წესი, პირველადი დიაგნოზიდან წლების განმავლობაში რჩება სისხლში.[83][84]
შედეგი
დადებითია ლეიშმანიის ანტისხეულებზე, ან ანტისხეულების ტიტრი აღემატება რეგიონისთვის დადგენილ ზღვრულ მაჩვენებელს
ლეიშმანინის კანის ტესტი (მონტენეგროს კანის ტესტი)
ტესტი
კანის ლეიშმანიოზის სადიაგნოსტიკო ტესტი. გამოიყენება, როცა დაზიანებები მეტწილად შეხორცების ეტაპზეა.
მკვდარი პარაზიტების ინოკულაცია ხდება ინტრადერმალურად და საპასუხო რეაქცია ვითარდება ინოკულაციიდან 48 საათის შემდეგ.[77]
შეიძლება გამოგადგეთ ლეიშმანიოზის გამოსარიცხად იმ შემთხვევაში, თუ ვლინდება კანის დაზიანებები და პაციენტი მოგზაურობდა ენდემურ რეგიონში (და ცხოვრობს არა-ენდემურ რეგიონში).
გადატანილი და მიმდინარე ინფექციის გარჩევა შეუძლებელია.
ეს ტესტი არ არის რეკომენდებული ან ხელმისაწვდომი აშშ-სა და სამხრეთ ამერიკაში.
შედეგი
≥5 მმ ინდურაცია ინოკულაციიდან 48 საათის შემდეგ
შრატის აივ ტესტირება
ტესტი
ვისცერული ლეიშმანიოზი ოპორტუნისტული ინფექციაა აივ/შიდსის მქონე პაციენტებში. ახლადდიაგნოსტირებულ პაციენტებში უნდა შეფასდეს აივ/შიდსის სტატუსი.
შედეგი
შესაძლოა იყოს დადებითი ან უარყოფითი
ამ მასალის გამოყენება ექვემდებარება ჩვენს განცხადებას