შეჯამება
განსაზღვრება
ანამნეზი და გასინჯვა
ძირითადი დიაგნოსტიკური ფაქტორები
- რისკფაქტორების არსებობა
- პალპირებადი მოპულსირე წარმონაქმნები მუცლის ღრუში.
სხვა დიაგნოსტიკური ფაქტორები
- მუცლის, ზურგის ან საზარდულის ტკივილი
- ჰიპოტენზია
რისკფაქტორები
- თამბაქოს მოხმარება
- მემკვიდრული / ოჯახური ანამნეზი
- მომატებული ასაკი
- მამრობითი სქესი (პრევალენტობა)
- მდედრობითი სქესი (რუპტურა)
- თანდაყოლილი / შემაერთებელი ქსოვილის პათოლოგია
- ჰიპერლიპიდემია
- ფქოდ - ფილტვის ქრონიკული ობსტრუქციული დაავადება
- ათეროსკლეროზი (იგივე კორონარული არტერიების დაავადება (CAD), პერიფერიული არტერიების ოკლუზიური დაავადება)
- ჰიპერტენზია
- აბდომინური (ცენტრალური) სიმსუქნე
- არადიაბეტური
- ევროპული წარმომავლობა
- ფთორქინოლონების კლასის ანტიბიოტიკები
- ანევრიზმები სხეულის სხვა ადგილებში
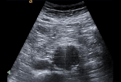
დიაგნოსტიკური კვლევები
1-ად შესაკვეთი გამოკვლევები
- მუცლის ღრუს ულტრაბგერითი გამოკვლევა
გასათვალისწინებელი კვლევები
- ერითროციტების დალექვის სიჩქარე (ESR) / C- რეაქტიული ცილა (CRP)
- FBC
- სისხლის კულტურები
- კომპიუტერული ტომოგრაფიული ანგიოგრაფია (CTA)/CT
- მაგნიტურ-რეზონანსული ანგიოგრაფია (MRA)/MRI
მკურნალობის ალგორითმი
გამსკდარი მუცლის აორტის ანევრიზმა (AAA)
სიმპტომური, მაგრამ არა გამსკდარი მუცლის აორტის ანევრიზმი
შემთხვევითი აღმოჩენა: მცირე ზომის მუცლის აორტის ანევრიზმა
შემთხვევითი აღმოჩენა: მუცლის აორტის დიდი ზომის ანევრიზმა
ენდოვასკულური ჩარევის შემდგომი გაჟონვა, რომელსაც ესაჭიროება მკურნალობა
კონტრიბუტორები
ავტორები
Matt J. Bown, MB BCh, MD, FRCS, PGCert (Bioinformatics)
Professor of Vascular Surgery
Department of Cardiovascular Sciences
University of Leicester, Leicester Royal Infirmary
Leicester
UK
გაფრთხილება:
MJB has grant funding from the British Heart Foundation and the National Institute for Health Research.
Andrew Duncan, MBBS, BSc, MRCS
Honorary Research Fellow
Department of Cardiovascular Sciences
University of Leicester
Leicester
UK
გაფრთხილება:
AD declares that he has no competing interests.
მადლიერება
Professor Matt Bown and Mr Andrew Duncan would like to gratefully acknowledge Dr Maureen K. Sheehan, Dr Dawn M. Barnes, and Dr Gilbert R. Upchurch, previous contributors to this topic.
გაფრთხილება:
MKS, DMB, and GRU declare that they have no competing interests.
რეცენზენტები
Ross Naylor, MBBS
Professor of Vascular Surgery
Vascular Surgery Group
Division of Cardiovascular Sciences
Leicester Royal Infirmary
UK
გაფრთხილება:
RN declares that he has no competing interests.
William Pearce, MD
Chief of Division of Vascular Surgery
Department of Surgery
Northwestern Memorial Hospital
Chicago
IL
გაფრთხილება:
WP declares that he has no competing interests.
რეცენზენტების განცხადებები
BMJ Best Practice-ის თემების განახლება სხვადასხვა პერიოდულობით ხდება მტკიცებულებებისა და რეკომენდაციების განვითარების შესაბამისად. ქვემოთ ჩამოთვლილმა რეცენზენტებმა თემის არსებობის მანძილზე კონტენტს ერთხელ მაინც გადახედეს.
გაფრთხილება
რეცენზენტების აფილიაციები და გაფრთხილებები მოცემულია გადახედვის მომენტისთვის.
წყაროები
ძირითადი სტატიები
Owens DK, Davidson KW, Krist AH, et al; US Preventive Services Task Force. Screening for abdominal aortic aneurysm: US Preventive Services Task Force recommendation statement. JAMA. 2019 Dec 10;322(22):2211-8.სრული ტექსტი აბსტრაქტი
Isselbacher EM, Preventza O, Hamilton Black J 3rd, et al. 2022 ACC/AHA guideline for the diagnosis and management of aortic disease: a report of the American Heart Association/American College of Cardiology Joint Committee on Clinical Practice Guidelines. Circulation. 2022 Dec 13;146(24):e334-e482.სრული ტექსტი აბსტრაქტი
Wanhainen A, Verzini F, Van Herzeele I, et al. Editor's choice - European Society for Vascular Surgery (ESVS) 2019 clinical practice guidelines on the management of abdominal aorto-iliac artery aneurysms. Eur J Vasc Endovasc Surg. 2019 Jan;57(1):8-93.სრული ტექსტი აბსტრაქტი
Chaikof EL, Dalman RL, Eskandari MK, et al. The Society for Vascular Surgery practice guidelines on the care of patients with an abdominal aortic aneurysm. J Vasc Surg. 2018 Jan;67(1):2-77.e2.სრული ტექსტი აბსტრაქტი
გამოყენებული სტატიები
ამ თემაში მოხსენიებული წყაროების სრული სია ხელმისაწვდომია მომხმარებლებისთვის, რომლებსაც აქვთ წვდომა BMJ Best Practice-ის ყველა ნაწილზე.
ამ მასალის გამოყენება ექვემდებარება ჩვენს განცხადებას
