მიდგომა
ენდეთ მითითებებს
ebpracticenet პრიორიტეტი მიანიჭეთ ჩამოთვლილ ადგილობრივ გაიდლაინებს:
Richtlijn acute rinosinusitisავტორი: Werkgroep Ontwikkeling Richtlijnen Eerste Lijn (Worel)ბოლო გამოქვეყნება: 2023Guide de pratique clinique rhinosinusite aiguëავტორი: Groupe de travail Développement de recommandations de première ligneბოლო გამოქვეყნება: 2023დიაგნოზი უპირველესყოვლისა ეუძვნება ანამნეზსა და ფიზიკალურ გამოკვლევის მონაცემებს. ჩვეულებრივ არ არის შემდგომი გამოკვლევების საჭიროება, თუ არ განვითარდა გართულებები. უმეტეს შემთხვევაში ისმება სავარუდო დიაგნოზი. გართულებები, თუმცაღა იშვიათად, უფრო გავრცელებულია ბავშვებში.
ანამნეზი.
საკვანძო რისკ-ფაქტორებად მოიაზრება ალერგიული რინიტი ან ზედა სასუნთქი გზების ვირუსული ინფექციის ანამნეზი. ასთმა ან შაკიკი შეიძლება დამძიმდეს მწვავე სინუსიტით.
ვირუსული სინუსიტის დიფერენცირების და მნიშვნელოვან ფაქტორს ბაქტერიული სინუსიტისგან წარმოადგენს სიმპტომების საერთო ხანგრძლივობა და მათი ტრაექტორია. ვირუსული ინფექციის სიმპტომებს ახასიათებთ ადრეული პიკი და თანდათანობრივი უკუგანვითარების ტენდენცია.[1][3] ამრიგად, თუ სიმპტომები ვლინდება 10 დღეზე ნაკლები ხანგრძლივობით, ეს მიანიშნებს ვირუსული ინფექციის არსებობაზე, ხოლო თუ სიმპტომების ხანგრძლივობა ყოველგვარი გაუმჯობესების გარეშე აღემატება 10 დღეს, ეს მიუთითებს ბაქტერიული ინფექციის არსებობაზე.[1][2] სიმპტომების გაუარესება საწყისი გაუმჯობესების შემდეგ (ე.წ. "მეორე ტალღა") მიანიშნებს მეორადი (ვირუსული სინუსიტის შემდგომი) ბაქტერიული ინფექციის შესაძლებლობაზე.[1]
ვირუსული და ბაქტერიული სინუსიტის განსასხვავებლად გასათვალისწინებელია სპეციფიური სიმპტომების არსებობა. ცხვირიდან ჩირქოვანი გამონადენი, ცხვირის დახშობა (ობსტრუქცია), კბილის ტკივილი, ან სახის არეში ტკივილი/ზეწოლის შეგრძნება/თავის ტკივილი მეტადაა დამახასიათებელი მწვავე ბაქტერიული სინუსიტისთვის. ცხელება, ყელის ტკივილი, კუნთების ტკივილი, ან გამჭვირვალე გამონადენი ცხვირიდან ჩვეულებრივ მიანიშნებს ვირუსული სინუსიტის შესაძლებლობაზე. თუმცა, ლორწოვანი გამონადენის შეფერილობა, როგორც დამოუკიდებელი ინდიკატორი, ვერ განასხვავებს სინუსიტის ბაქტერიულ ეტიოლოგიას ვირუსულისგან. ვირუსული და ბაქტერიული სინუსიტის განსასხვავებლად გასათვალისწინებელია სპეციფიური სიმპტომების არსებობა. ცხვირიდან ჩირქოვანი გამონადენი, ცხვირის დახშობა (ობსტრუქცია), კბილის ტკივილი, ან სახის არეში ტკივილი/ზეწოლის შეგრძნება/თავის ტკივილი მეტადაა დამახასიათებელი მწვავე ბაქტერიული სინუსიტისთვის. ცხელება, ყელის ტკივილი, კუნთების ტკივილი, ან გამჭვირვალე გამონადენი ცხვირიდან ჩვეულებრივ მიანიშნებს ვირუსული სინუსიტის შესაძლებლობაზე. თუმცა, ლორწოვანი გამონადენის შეფერილობა, როგორც დამოუკიდებელი ინდიკატორი, ვერ განასხვავებს სინუსიტის ბაქტერიულ ეტიოლოგიას ვირუსულისგან. ვირუსული და ბაქტერიული სინუსიტის განსასხვავებლად გასათვალისწინებელია სპეციფიური სიმპტომების არსებობა. ცხვირიდან ჩირქოვანი გამონადენი, ცხვირის დახშობა (ობსტრუქცია), კბილის ტკივილი, ან სახის არეში ტკივილი/ზეწოლის შეგრძნება/თავის ტკივილი მეტადაა დამახასიათებელი მწვავე ბაქტერიული სინუსიტისთვის. ცხელება, ყელის ტკივილი, კუნთების ტკივილი, ან გამჭვირვალე გამონადენი ცხვირიდან ჩვეულებრივ მიანიშნებს ვირუსული სინუსიტის შესაძლებლობაზე. თუმცა, ლორწოვანი გამონადენის შეფერილობა, როგორც დამოუკიდებელი ინდიკატორი, ვერ განასხვავებს სინუსიტის ბაქტერიულ ეტიოლოგიას ვირუსულისგან. ვირუსული და ბაქტერიული სინუსიტის განსასხვავებლად გასათვალისწინებელია სპეციფიური სიმპტომების არსებობა. ცხვირიდან ჩირქოვანი გამონადენი, ცხვირის დახშობა (ობსტრუქცია), კბილის ტკივილი, ან სახის არეში ტკივილი/ზეწოლის შეგრძნება/თავის ტკივილი მეტადაა დამახასიათებელი მწვავე ბაქტერიული სინუსიტისთვის. ცხელება, ყელის ტკივილი, კუნთების ტკივილი, ან გამჭვირვალე გამონადენი ცხვირიდან ჩვეულებრივ მიანიშნებს ვირუსული სინუსიტის შესაძლებლობაზე. თუმცა, ლორწოვანი გამონადენის შეფერილობა, როგორც დამოუკიდებელი ინდიკატორი, ვერ განასხვავებს სინუსიტის ბაქტერიულ ეტიოლოგიას ვირუსულისგან.
ხველა წარმოადგენს ხშირ სიმპტომს მწვავე ვირუსული და ბაქტერიული სინუსიტის დროს.[3] ხველა შესაძლოა მეორად ხასიათს ატარებდეს პოსტ-ნაზალური დრენაჟის, ან ასთმის გამწვავების შედეგად.
ფიზიკური გამოკვლევა
გამოკვლევა უნდა მოიცავდეს თავისა და კისრის სრულყოფილ გამოკვლევას, განსაკუთრებული ყურადღება ექცევა ჩამოთვლილ ნიშნებს:
სახის მტკივნეულობა ფრთხილი პალპაციით
პოსტნაზალური ფარინგული სეკრეციები ან ექსუდატი
მტკივნეული მაქსილარული თანკბილვა
შუა ყურის ეფუზია.
აუცილებელია ცხვირის ღრუს შემოწმება ლორწოვანი გარსის ერითემის ან ჩირქოვანი გამონადენის არსებობაზე. ოპტიმალური შემოწმების ჩატარება შესაძლებელია შეშუპების საწინააღმდეგო სპრეის ლოკალური დატანების შემდეგ.[17] როგორც ოტოსკოპი, ისე ნაზალური სარკე და რეფლექტორული განათება შეიძლება იყოს გამოყენებული. ცალმხრივი ჩირქოვანი გამონადენი, ლორწოვანი გარსის შეშუპება ან ერითემა, აგრეთვე სახის არეში მტკივნეულობა მიანიშნებს ბაქტერიული სინუსიტის არსებობაზე. არაჩირქოვანი გამონადენი საფიქრებელს ხდის ვირუსული ან ალერგიული ანთების არსებობას. იმის გათვალისწინებით, რომ ნაზალური გასინჯვა შესაძლოა იყოს გაძნელებული, ან ავლენდეს მხოლოდ არა-სპეციფიურ ნიშნებს, ცალკეული პაციენტებისთვის რეკომენდებულია ნაზალური ენდოსკოპიის ჩატარება, კერძოდ, ემპირიული ანტიბიოტიკოთერაპიის მიმართ რეფრაქტერული პაციენტებისთვის, როდესაც არსებობს ეჭვი ანტიბიოტიკებისადმი რეზისტენტობაზე, ან პაციენტი არის იმუნოკომპრომენტირებული.
ენდოსკოპია იძლევა ცხვირის ღრუს და სინუსების სადრენაჟე გზების საუკეთესო ვიზუალიზაციის საშუალებას. არსებობს ორი ტიპის ენდოსკოპი: რიგიდული და ელასტიური. რიგიდულ ნაზალურ ენდოსკოპს უკეთესი რეზოლუცია გააჩნია და მისი მართვა ცალი ხელით შეიძლება. ეს აადვილებს საჭიროების შემთხვევაში კულტურების მიღებას ცხვირის ღრუდან ან წიაღიდან. ელასტიური ნაზალური ენდოსკოპი პაციენტებისთვის უფრო კომფორტულია, მაგრამ მისი მართვა ორივე ხელის დახმარებით ხდება. არსებობს დრეკადი ცხვირის ენდოსკოპი, რომელსაც აქვს კულტურის შეგროვების არხი, მაგრამ უფრო დიდი და არასასიამოვნოა და მათი დამუშავებაც უფრო რთულია. ზოგადად, დრეკადი ენდოსკოპის გამოყენება უმჯობესია ბავშვთა ასაკში მისი კარგი ამტანობის გამო; თუმცა როგორც მოზრდილების, ისე ბავშვთა გამოსაკვლევად შესაძლებელია ორივე ტიპის ენდოსკოპის გამოყენება. არჩევანი დამოკიდებულია შემსრულებლიექიმის გამოცდილებაზე და შემთხვევათა უმეტესობაში იშეიძლება ჩაატაროს ყელ-ყურ-ცხვირის სპეციალისტმა.
პერი-ორბიტალური ან ყვრიმალის არის შეშუპების, ორბიტალური პროფტოზის, მხედველობის დარღვევების, პათოლოგიური ექსტრა-ოკულარული მოძრაობების, ან პათოლოგიური ნევროლოგიური ნიშნების არსებობა შესაძლოა მიანიშნებდეს გართულებების არსებობაზე, როდესაც აუცილებელი ხდება ოტოლარინგოლოგის გადაუდებელი კონსულტაცია.[Figure caption and citation for the preceding image starts]: მარჯვენა ქვედა ნიჟარა და ძგიდე ხილვადია შეშუპების საწინააღმდეგო სპრეის დატანებამდე.ექ. Melissa Pynnonen-ის კოლექციიდან [Citation ends].
[Figure caption and citation for the preceding image starts]: მარჯვენა შუა ნიჟარა და შუა გასასვლელი ხილვადია შეშუპების საწინააღმდეგო სპრეის დატანების შემდეგექ. Melissa Pynnonen-ის კოლექციიდან [Citation ends].
[Figure caption and citation for the preceding image starts]: მარცხენა შუა გასასვლელი ძლიერი შეშუპებით და ჩირქოვანი სეკრეტებითექ. Melissa Pynnonen-ის კოლექციიდან [Citation ends].
[Figure caption and citation for the preceding image starts]: ჯანსაღი ლორწოვანი გარსით დაფარული მარცხენა შუა გასასვლელი არა-ჩირქოვანი გამონადენიექ. Melissa Pynnonen-ის კოლექციიდან [Citation ends].
[Figure caption and citation for the preceding image starts]: ცხვირის ღრუს მარცხენამხრივი ენდოსკოპია ავლენს მცირე ზომის პოლიპის არსებობას და ჩირქგროვას შუა გასასვლელშიJoseph K. Han-ის კოლექციიდან [Citation ends].
კვლევები
მწვავე სინუსიტის დიაგნოსტიკისთვის ლაბორატორიულ ანალიზებს შეზღუდული/ნაკლები მნიშვნელობა ენიჭება.[18] თუმცა, კულტივირება შეიძლება მნიშვნელოვანი იყოს და დაგეხმაროთ ანტიბიოტიკის შერჩევაში თუ:
ინფექცია არ პასუხობს ემპირიულ ანტიბიოტიკოთერაპიაზე
არსებობს ანტიბიოტიკების მიმართ რეზისტენტობის რისკი
პაციენტს აქვს იმუნოკომპრომისული მდგომარეობა.
სინუსის კულტურის ენდოსკოპიური აღება ბევრად ნაკლებად მტკივნეულია სინუსის პუნქციასთან შედარებით. კულტურალური კვლევის ორი მეთოდი კარგ კორელაციურ დამოკიდებულებაშია, განსაკუთრებით თუ ადგილი აქვს დაჩირქებას შუა გასასვლელის გაყოლებით (ანუ, სინუსის დრენირების გზაზე).[19][20] ცხვირის ღრუდან ან ცხვირხახიდან მიღებული კულტურები, რომელთა მოპოვება ხდება ნაცხებით და ენდოსკოპიური ვიზუალიზაციის გარეშე, არ არის მიზანშეწონილი, რადგან ისინი არ კორელირებს მიზეზობრივ პათოგენთან.
გამოსახულებითი კვლევები
რენტგენოლოგიური კვლევები არ არის რეკომენდებული რუტინული მწვავე სინუსიტის შესაფასებლად, ვინაიდან არ არის ნაჩვენები, რომ ცვლის კლინიკურ შედეგებს.[21][22] ეს გამოკვლევები ვერ უზრუნველყოფენ ვირუსული და ბაქტერიული სინუსიტების დიფერენცირებას.[14][22] გარდა ამისა, ვიზუალიზაცია ზრდის ჯანდაცვის ხარჯებს და შეიძლება არასაჭირო დასხივების ქვეშ მოხვდნენ პაციენტები.[21] ამ თვალსაზრისით პირველხარისხოვან მნიშვნელობას იძენს კლინიკური დიაგნოსტიკა.[23] თუმცა, რენტგენოგრაფიული კვლევები რეკომენდებულია ზოგიერთ პაციენტებში. მათ შორის პაციენტებში სინუსიტის გართულებებით, როგორიცაა სახის ცელულიტი, საეჭვო ორბიტალური ინფექცია ან ინტრაკრანიალური ინფექცია. ასევე, პირებში სწრაფად პროგრესირებადი დაავადებით ან საეჭვო მწვავე ინვაზიური სოკოვანი რინოსინუსიტით.[22] რადიოგრაფიული გამოკვლევები აგრეთვე რეკომენდებულია რეციდიული მწვავე, ან ქრონიკული სინუსიტის მქონე პაციენტების შეფასებისთვის.[22] ასეთ შემთხვევებში გამოკვლევა მიზანშეწონილია სინუსიტის დიაგნოზიდ დადასტურების, ან ალტერნატიული დიაგნოზის გამორიცხვის მიზნით.[1] დამატებითი ინფორმაციისთვის იხილეთ ჩვენი მოდული ქრონიკული სინუსიტის შესახებ.
კომიუტერულ ტომოგრაფიული (CT) სკანირება
CT სკანირება კონტრასტით არის არჩევითი ვიზუალიზაციის კვლევა მწვავე რინოსინუსიტის საეჭვო გართულებების შემთხვევაში.[1][22]
მწვავე რინოსინუსინუსიტისთვის დამახასიათებელი, მაგრამ არა დიაგნოსტიკური, ნიშნები მოიცავენ სინუსის დაჩრდილვას, აირ-სითხის დონეს, ან ლორწოვანი გარსის გამოკვეთილ ან ძლიერ შესქელებას.[1][22]
მაგნიტურ-რეზონანსული ტომოგრაფია (MRI)
MRI ინტრავენური კონტრასტით და მის გარეშე შესაძლოა სარგებლის მომტანი იყოს ექსტრა-სინუსური გართულებების საეჭვო შემთხვევაში.[1][22]
ორბიტების, სახის და კისრის MRI კვლევას ინტრავენური კონტრასტით და მის გარეშე შეუძლია დაადასტუროს პარანაზალური სინუსის ანთება და გამოავლინოს ორბიტალური და მიმდებარე ინტრაკრანიალური გართულებები.[22]
რენტგენოგერაფია
სინუსის რენტგენი მიზანშეწონილი არ არის სინუსიტის შესაფასებლად რბილი ქსოვილების ვიზუალიზაციის შეზღუდული შესაძლებლობის გამო. თუ საჭიროა ვიზუალიზაცია, უნდა ჩანაცვლდეს CT სკანირებით.[22]
კისრის გვერდითი რენტგენოგრაფია შესაძლოა იყოს ინფორმატიული ბავშვთა ასაკის პაციენტების შესაფასებლად ადენოიდური ჰიპერტროფიის არსებობაზე ნაზალური ობსტრუქციის გამოვლენისას. ალტერნატივას წარმოადგენს ფლექსიბილური ნაზალური ენდოსკოპია, რომელიც ადასტურებს ადენოიდიტის არსებობას.
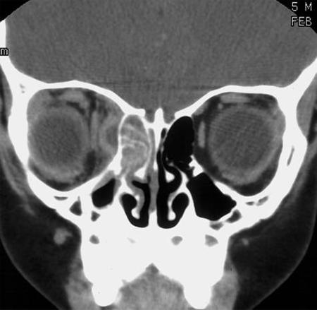
სინუსების ღრუების მიმოხილვითი რენტგენოგრაფია სხვადასხვა პროექციაში (პირდაპირი, ოქციპიტო-მენტალური, გვერდითი) სინუსის პუნქციასთან შედარებით ხასიათდება 76%-იანი სენსიტიურობით და 79%-იანი სპეციფიურობით.[1][Figure caption and citation for the preceding image starts]: მარჯვენა ეთმოიდური სინუსის დაჩრდილვა და მოსაზღვრე ორბიტალური აბსცესი კომპიუტერულ ტომოგრამაზეექ. Melissa Pynnonen-ის კოლექციიდან [Citation ends].

ამ მასალის გამოყენება ექვემდებარება ჩვენს განცხადებას