სურათები და ვიდეოები
სურათები

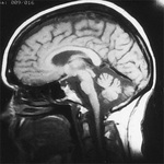
ატაქსიის შეფასება
ნათხემის მწვავე ორმხრივი ინფარქტი დიფუზურ-შეწონილი მაგნიტურ-რეზონანსული ტომოგრაფიით
ექიმი ს.ჰ. საბრამონის კოლექციიდან; გამოყენებულია მფლობელის ნებართვით
მოცემული სურათის კონტექსტში დათვალიერებისთვის ეწვიეთ შემდეგ სექციას (სექციებს):

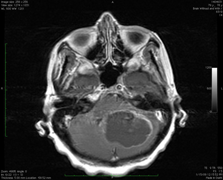
ატაქსიის შეფასება
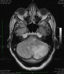
ნათხემში ვრცელი ფართობის დაზიანება წნევის ეფექტით, როგორც ჩანს მრი-ზე.
ექიმი ს.ჰ. საბრამონის კოლექციიდან; გამოყენებულია მფლობელის ნებართვით
მოცემული სურათის კონტექსტში დათვალიერებისთვის ეწვიეთ შემდეგ სექციას (სექციებს):

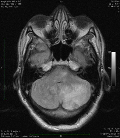
ატაქსიის შეფასება
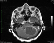
FLAIR მრტ გამოსახულებაზე ჩანს ნათხემის ინფარქტი: შეიმჩნევა მეორადი შეშუპება და მეოთხე პარკუჭის გაფართოება
ექიმი ს.ჰ. საბრამონის კოლექციიდან; გამოყენებულია მფლობელის ნებართვით
მოცემული სურათის კონტექსტში დათვალიერებისთვის ეწვიეთ შემდეგ სექციას (სექციებს):

ატაქსიის შეფასება
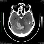
თავის ტვინის კომპიუტერული ტომოგრაფიის გამოსახულებაზე ჩანს ნათხემის ჰემორაგია, რომელიც მეოთხე პარკუჭში გადადის
ექიმი ს.ჰ. საბრამონის კოლექციიდან; გამოყენებულია მფლობელის ნებართვით
მოცემული სურათის კონტექსტში დათვალიერებისთვის ეწვიეთ შემდეგ სექციას (სექციებს):

ატაქსიის შეფასება
Pes cavus დეფორმაცია ფრიდრიხის ატაქსიის მქონე პაციენტებში
ექიმი ს.ჰ. საბრამონის კოლექციიდან; გამოყენებულია მფლობელის ნებართვით
მოცემული სურათის კონტექსტში დათვალიერებისთვის ეწვიეთ შემდეგ სექციას (სექციებს):

ატაქსიის შეფასება
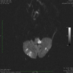
ინფარქტი დორსოლატერალურ მედულაში, ნათხემში ინფარქტის გაფანტულ კერებთან ერთად, როგორც ჩანს დიფუზურ-შეწონილ მრტ გამოსახულებაზე
ექიმი ს.ჰ. საბრამონის კოლექციიდან; გამოყენებულია მფლობელის ნებართვით
მოცემული სურათის კონტექსტში დათვალიერებისთვის ეწვიეთ შემდეგ სექციას (სექციებს):

ატაქსიის შეფასება
ცერებრომყესოვანი ქსანთომატოზის დროს გვხვდება მყესის ქსანთომა
ექიმი ს.ჰ. საბრამონის კოლექციიდან, მადლიერებით ექიმი უდეი მუთანის მიმართ; გამოყენებულია მფლობელის ნებართვით
მოცემული სურათის კონტექსტში დათვალიერებისთვის ეწვიეთ შემდეგ სექციას (სექციებს):

ატაქსიის შეფასება
ნაადრევი კონიუნქტივალური ტელეანგიექტზიები ატაქსია-ტელეანგიექტაზიის მქონე პაციენტებში.
ექიმი ს.ჰ. საბრამონის კოლექციიდან; გამოყენებულია მფლობელის ნებართვით
მოცემული სურათის კონტექსტში დათვალიერებისთვის ეწვიეთ შემდეგ სექციას (სექციებს):

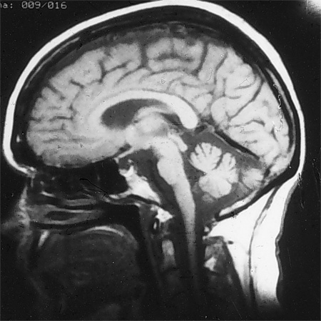
ატაქსიის შეფასება
SCA 1-ს დრო ჩატარებულ თავის ტვინის მრი კვლევაზე ნაადრევად ჩანს ნათხემის და ტვინის ღეროს ატროფია
ექიმი ს.ჰ. საბრამონის კოლექციიდან; გამოყენებულია მფლობელის ნებართვით
მოცემული სურათის კონტექსტში დათვალიერებისთვის ეწვიეთ შემდეგ სექციას (სექციებს):
ამ მასალის გამოყენება ექვემდებარება ჩვენს განცხადებას