Imágenes y vídeos
Imágenes

Anemia hemolítica
Frotis de sangre periférica con esferocitos, reticulocitos y un eritrocito nucleado
De la colección de John Densmore, Departamento de Medicina, Universidad de Virginia
Ver esta imagen en el contexto de la/s siguiente/s sección/es:

Anemia hemolítica
Frotis de sangre periférica con fragmentos de eritrocitos, o esquistocitos (flecha)
De la colección de John Densmore, Departamento de Medicina, Universidad de Virginia
Ver esta imagen en el contexto de la/s siguiente/s sección/es:

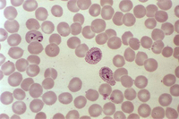
Anemia hemolítica
Fotomicrografía que revela la presencia de lo que se determinó son varios parásitos Babesia sp. intraeritrocitarios en forma de anillo
CDC/Dr. Mae Melvin
Ver esta imagen en el contexto de la/s siguiente/s sección/es:

Anemia hemolítica
Micrografía electrónica de barrido coloreada digitalmente que muestra eritrocitos normales y un eritrocito falciforme (izquierda) en una muestra de sangre de un paciente con anemia falciforme
CDC/Sickle Cell Foundation of Georgia: Jackie George, Beverly Sinclair
Ver esta imagen en el contexto de la/s siguiente/s sección/es:

Anemia hemolítica
Fotomicrografía de un frotis de sangre que muestra eritrocitos que contienen parásitos Plasmodium vivax en desarrollo
CDC/Dr. Mae Melvin
Ver esta imagen en el contexto de la/s siguiente/s sección/es:
Vídeos
- Demostración animada de venopunción y flebotomía
Cómo tomar una muestra de sangre venosa de la fosa antecubital utilizando una aguja de vacío.
- Demostración animada de la canulación venosa periférica
Cómo insertar una cánula venosa periférica en el dorso de la mano.
El uso de este contenido está sujeto a nuestra cláusula de exención de responsabilidad