Imágenes y vídeos
Imágenes

Evaluación de la tos crónica
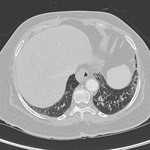
Exploración por TC de tórax de un paciente con toxicidad pulmonar por amiodarona, que muestra opacidades asimétricas con una distribución periférica
De la colección personal del Dr. A. Pataka y el Profesor P. Argyropoulou, Aristotle University, Thessaloniki, Grecia
Ver esta imagen en el contexto de la/s siguiente/s sección/es:

Evaluación de la tos crónica
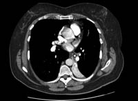
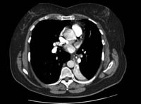
TC de tórax con material de contraste intravenoso, en la que se muestra el colapso total del lóbulo inferior izquierdo, con un objeto radiopaco en el bronquio principal inferior izquierdo, rodeado de un halo de aire
BMJ Case Reports 2008 (doi:10.1136/bcr.06.2008.0013). Copyright 2008 de BMJ Publishing Group Ltd
Ver esta imagen en el contexto de la/s siguiente/s sección/es:

Evaluación de la tos crónica
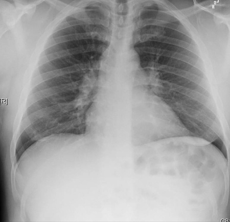
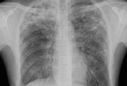
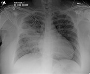
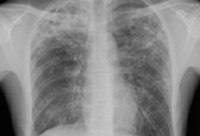
Radiografía de tórax que muestra una adenopatía hiliar bilateral en un paciente con sarcoidosis
De la colección personal del Dr. M.P. Muthiah, Departamento de Medicina Intensiva y Pulmonar y Medicina del Sueño, University of Tennessee
Ver esta imagen en el contexto de la/s siguiente/s sección/es:

Evaluación de la tos crónica
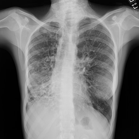
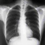
Radiografía de tórax con falta de conicidad normal que produce una línea de tranvía en un paciente con bronquiectasias
De la colección personal de Dr S.M. Bhorade, University of Chicago Medical Center; utilizada con autorización
Ver esta imagen en el contexto de la/s siguiente/s sección/es:

Evaluación de la tos crónica
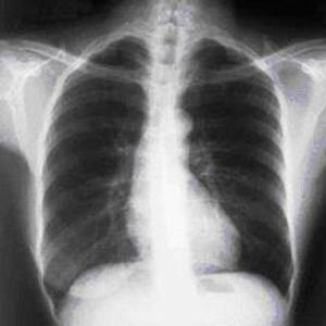
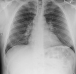
Radiografía de tórax que muestra la hiperinflación en un paciente con EPOC. El tórax distendido es causado por el componente enfisema de la EPOC, en lugar de por la bronquitis crónica, que subyace los síntomas de tos
De la colección personal del Dr. M. A. Sharifabadand, SUNY en Stony Brook School of Medicine, Departamento de Medicina Intensiva y Pulmonar, Mineola, Nueva York y el Dr. J. P. Parsons, The Ohio State University Medical Center, Columbus; usado con autorización
Ver esta imagen en el contexto de la/s siguiente/s sección/es:

Evaluación de la tos crónica
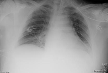
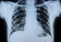
Radiografía de tórax que muestra un aumento de la opacificación de la región perihiliar derecha y del segmento superior de los lóbulos inferiores y superiores derechos, congruente con un empeoramiento de la neumonía por aspiración
De la colección personal del Dr. R. Kanner, University of Utah School of Medicine
Ver esta imagen en el contexto de la/s siguiente/s sección/es:

Evaluación de la tos crónica
Exploración por TC de tórax en la que se muestra fibrosis pulmonar idiopática
De la colección personal del Dr J. C. Munson, Center for Clinical Epidemiology and Biostatistics, University of Pennsylvania School of Medicine
Ver esta imagen en el contexto de la/s siguiente/s sección/es:

Evaluación de la tos crónica
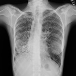
Radiografía de tórax que muestra fibrosis intersticial en un paciente con toxicidad pulmonar por amiodarona
De la colección personal del Dr. A. Pataka y el Profesor P. Argyropoulou, Aristotle University, Thessaloniki, Grecia; usado con autorización
Ver esta imagen en el contexto de la/s siguiente/s sección/es:

Evaluación de la tos crónica
Asa de volumen de flujo (espirograma) en la enfermedad pulmonar obstructiva (p. ej., fibrosis pulmonar intersticial): el flujo espiratorio máximo puede ser normal o bajo. La forma de la curva es generalmente normal, pero el asa se estrecha y la capacidad vital forzada es baja debido a la capacidad pulmonar reducida.
Creado por BMJ Knowledge Centre
Ver esta imagen en el contexto de la/s siguiente/s sección/es:

Evaluación de la tos crónica
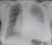
Radiografía de tórax en un paciente con carcinoma broncogénico que muestra un derrame pleural del lado izquierdo
De: R. Thakkar, Student BMJ. 2001;9:458
Ver esta imagen en el contexto de la/s siguiente/s sección/es:

Evaluación de la tos crónica
Imagen de broncoscopía en la que se muestra una semilla de níspero que obstruye por completo el bronquio intermedio
De la colección personal del Dr. S. Murgu y el Dr. H. Colt, University of California en Irvine Medical Center
Ver esta imagen en el contexto de la/s siguiente/s sección/es:

Evaluación de la tos crónica
Asa de volumen de flujo (espirograma) en la enfermedad pulmonar obstructiva, como el asma o EPOC: el flujo espiratorio máximo puede ser normal, pero se ve una forma cóncava tras el punto de máximo flujo debido a la velocidad de flujo baja en relación con el volumen pulmonar
Creado por BMJ Knowledge Centre
Ver esta imagen en el contexto de la/s siguiente/s sección/es:

Evaluación de la tos crónica
Radiografía de tórax con vías respiratorias dilatadas y engrosadas en un paciente con bronquiectasias
De la colección personal de Dr S.M. Bhorade, University of Chicago Medical Center; utilizada con autorización
Ver esta imagen en el contexto de la/s siguiente/s sección/es:

Evaluación de la tos crónica
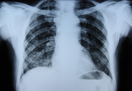
Radiografía de tórax que muestra una tuberculosis pulmonar con cavitación
De la colección personal del Dr. M. Narita, Departamento de Medicina Intensiva y Pulmonar, University of Washington
Ver esta imagen en el contexto de la/s siguiente/s sección/es:

Evaluación de la tos crónica
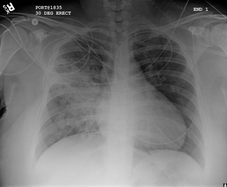
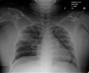
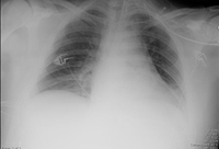
Radiografía de tórax portátil con opacidades bibasales, peor a la derecha que a la izquierda, en un paciente con neumonía adquirida en el hospital
De la colección personal del Dr. F. W. Arnold, División de Enfermedades Infecciosas, Departamento de Medicina, University of Louisville School of Medicine
Ver esta imagen en el contexto de la/s siguiente/s sección/es:

Evaluación de la tos crónica
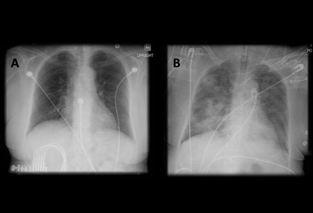
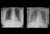
A. Radiografía portátil de tórax en posición erguida antes de la aspiración; B. Radiografía de tórax 1 hora después de la aspiración, en la que se muestran infiltrados alveolares difusos bilaterales, peores en las bases del lado derecho
De la colección personal del Dr. S. Murgu y el Dr. H. Colt, University of California en Irvine Medical Center
Ver esta imagen en el contexto de la/s siguiente/s sección/es:

Evaluación de la tos crónica
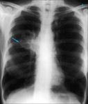
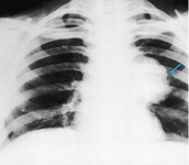
Radiografía de tórax que muestra un carcinoma hiliar derecho cavitante (flecha)
E. Dick, Student BMJ. 2001;9:10-12
Ver esta imagen en el contexto de la/s siguiente/s sección/es:

Evaluación de la tos crónica
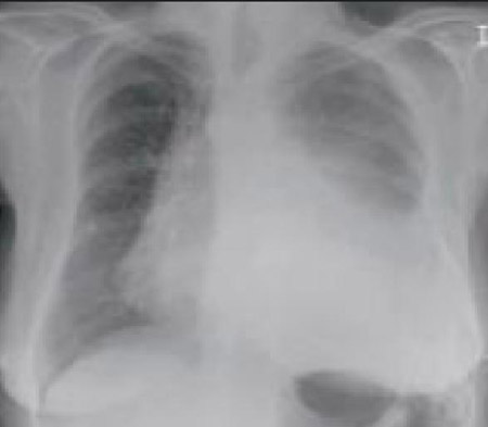
Radiografía de tórax que muestra un carcinoma hiliar izquierdo (flecha)
De: E. Dick, Student BMJ. 2000;8:358-360
Ver esta imagen en el contexto de la/s siguiente/s sección/es:

Evaluación de la tos crónica
Divertículo de Zenker: vista lateral con esofagrama de bario
De la colección del Dr. S. Charous, Profesor Clínico de Otorrinolaringología - Cirugía de Cabeza y Cuello, Centro Médico de la Universidad de Loyola; utilizado con autorización.
Ver esta imagen en el contexto de la/s siguiente/s sección/es:

Evaluación de la tos crónica
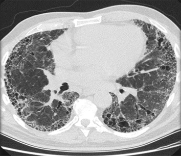
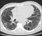
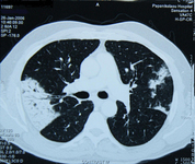
TC de tórax en la que se muestra las vías respiratorias dilatadas y engrosadas, y el patrón de ramificaciones de árbol periférico de un paciente con bronquiectasias
De la colección personal de Dr S.M. Bhorade, University of Chicago Medical Center; utilizada con autorización
Ver esta imagen en el contexto de la/s siguiente/s sección/es:

Evaluación de la tos crónica
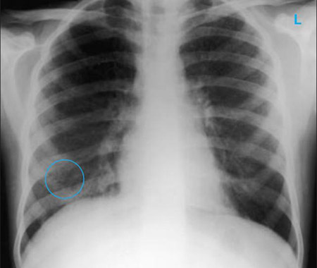
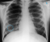
Radiografía de tórax que muestra múltiples nódulos discretos en ambos pulmones (uno de ellos marcado con un círculo) en un paciente con tuberculosis miliar
E. Dick, Student BMJ. 2001;9:10-12
Ver esta imagen en el contexto de la/s siguiente/s sección/es:

Evaluación de la tos crónica
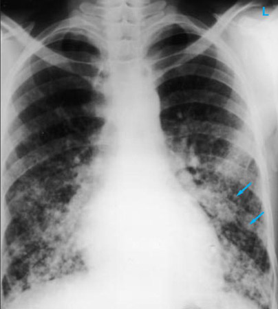
Radiografía de tórax que muestra múltiples metástasis pulmonares miliares (flechas). El tumor primario fue un carcinoma de tiroides
E. Dick, Student BMJ. 2001;9:10-12
Ver esta imagen en el contexto de la/s siguiente/s sección/es:

Evaluación de la tos crónica
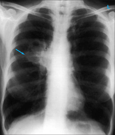
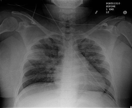
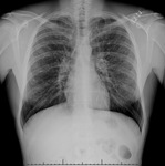
Radiografía de tórax que muestra opacidades tempranas mal definidas del lóbulo superior derecho por encima de la fisura menor congruentes con cambios tempranos de neumonía por aspiración
De la colección personal del Dr. R. Kanner, University of Utah School of Medicine
Ver esta imagen en el contexto de la/s siguiente/s sección/es:

Evaluación de la tos crónica
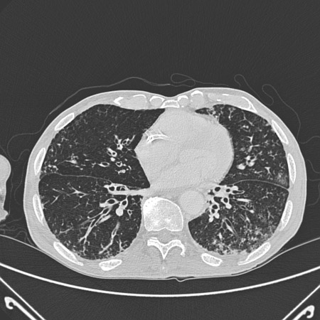
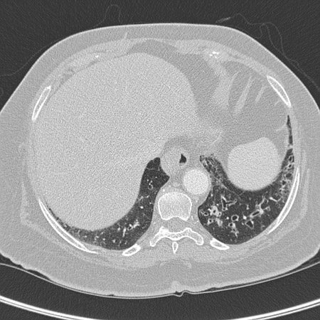
Exploración por TC de tórax con presencia del anillo de sello en un paciente con bronquiectasias
De la colección personal del Dr S.M. Bhorade, University of Chicago Medical Center
Ver esta imagen en el contexto de la/s siguiente/s sección/es:
Vídeos
- Demostración animada de medición del flujo máximo
Cómo utilizar un medidor de flujo máximo para obtener una medición del flujo espiratorio máximo.
- Demostración animada de venopunción y flebotomía
Cómo tomar una muestra de sangre venosa de la fosa antecubital utilizando una aguja de vacío.
El uso de este contenido está sujeto a nuestra cláusula de exención de responsabilidad