Pruebas diagnósticas
Primeras pruebas diagnósticas para solicitar
radiografía de tórax
Prueba
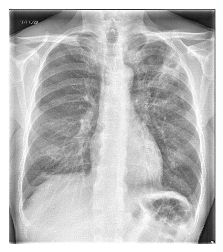
Un diagnóstico definitivo de NAC requiere evidencia de consolidación en la radiografía de tórax.[1][63][65][75] Realice una radiografía de tórax en todos los pacientes que se presenten en el hospital lo antes posible y dentro de las 4 horas posteriores al ingreso.[Figure caption and citation for the preceding image starts]: Radiografía de tórax posterior-anterior que muestra consolidación del lóbulo superior derecho en un paciente con neumonía adquirida en la comunidadDurrington HJ, et al. Recent changes in the management of community acquired pneumonia in adults. BMJ 2008;336:1429. [Citation ends].
Si la radiografía de tórax muestra cambios atípicos o neumonía complicada (p. ej., cavitación, derrame pleural, consolidación multifocal), considere otras pruebas diagnósticas por estudios por imágenes (consulte nuestra sección sobre Otras pruebas a considerar).
Practical tip
Una radiografía de tórax de alta calidad es muy importante para garantizar un diagnóstico preciso y evitar la prescripción inadecuada de antibióticos. Un estudio informó que el 29% de los pacientes hospitalizados tratados por NAC no tenían anomalías radiográficas.[88]
Tenga en cuenta que es más difícil obtener una imagen de alta resolución de una persona con obesidad de clase III (IMC ≥40).
No realice una radiografía de tórax en pacientes con sospecha de NAC atendidos en la comunidad a menos que:[1][65]
Haya duda diagnóstica
El avance después del tratamiento no es satisfactorio en la revisión
El paciente tiene riesgo de padecer una patología pulmonar subyacente, como el cáncer de pulmón.
Resultado
nueva opacidad (consolidación)
oximetría de pulso
Prueba
Use oximetría de pulso (preferiblemente mientras respira aire) para evaluar la saturación de oxígeno en el hospital para informar el tratamiento de soporte.
La saturación de oxígeno <94% en un paciente con NAC es un factor pronóstico adverso y puede ser una indicación para la oxigenoterapia y la derivación urgente al hospital.[76]
Los médicos generales deben evaluar la oxigenación mediante oximetría de pulso.[71]
Resultado
puede revelar baja saturación arterial de oxígeno
la saturación de oxígeno <94% en un paciente con NAC es un factor pronóstico adverso y puede ser una indicación de oxigenoterapia y/o derivación urgente al hospital[76]
gasometría arterial (GSA)
Prueba
Mida la GSA en pacientes con NAC que reciben oxigenoterapia con una SpO2 <94%, aquellos con riesgo de insuficiencia ventilatoria hipercápnica (retención de CO2 ) y todos los pacientes con NAC de alta gravedad.
Los pacientes pueden estar hipoxémicos y requerir oxigenoterapia.
La saturación de oxígeno <94% en un paciente con NAC es un factor pronóstico adverso y puede ser una indicación para la oxigenoterapia y la derivación urgente al hospital.[76]
Practical tip
Registre siempre claramente la concentración de oxígeno inspirado, ya que es esencial para interpretar los resultados de los gases en sangre.
Resultado
puede revelar baja saturación arterial de oxígeno
urea y electrolitos
Prueba
Solicite urea y electrolitos para informar la gravedad de la enfermedad y la función renal en pacientes que se investigan en el hospital.[1][65]
La insuficiencia renal crónica es un factor de riesgo de mortalidad significativo en los pacientes con neumonía adquirida en la comunidad (NAC).[56]
Las pruebas diagnósticas generales no son necesarias para la mayoría de los pacientes con NAC que reciben tratamiento en el entorno comunitario.[1][63][65]
hemograma completo
Prueba
La leucocitosis se observa a menudo en personas con NAC.
Las pruebas diagnósticas generales no son necesarias para la mayoría de los pacientes con NAC que reciben tratamiento en el entorno comunitario.[1][63][65]
Resultado
leucocitosis
El recuento de leucocitos > 15 x109L indica una etiología bacteriana (particularmente neumocócica), aunque los recuentos más bajos no excluyen una causa bacteriana
proteína C reactiva (PCR)
Prueba
Solicite la PCR como medida inicial y para ayudar a descartar otras enfermedades respiratorias agudas en pacientes que se investigan en el hospital.
La falta de caída de la PCR en un 50% o más en el día 4 se asocia con un mayor riesgo de mortalidad a los 30 días, necesidad de ventilación mecánica y/o soporte inotrópico, y complicaciones.[96]
Las pruebas diagnósticas generales no son necesarias para la mayoría de los pacientes con NAC que reciben tratamiento en el entorno comunitario.[1][63][65]
Los niveles altos de PCR no indican necesariamente que la neumonía sea bacteriana o SARS-CoV-2, pero los niveles bajos de PCR hacen que sea menos probable una infección bacteriana secundaria.[111]
pruebas de función hepática
Prueba
Recoja muestras de sangre para una medición inicial. Proporciona información sobre la función hepática.
La enfermedad hepática crónica es un factor de riesgo de complicaciones pulmonares en pacientes hospitalizados por neumonía neumocócica.[58]
Las pruebas diagnósticas generales no son necesarias para la mayoría de los pacientes con NAC que reciben tratamiento en el entorno comunitario.[1][63][65]
Resultado
generalmente normal; anormal en pacientes con enfermedad hepática subyacente o infección por legionela[1]
Pruebas diagnósticas que deben considerarse
hemocultivo
Prueba
Solicite hemocultivos, idealmente antes de administrar antibióticos, en todos los pacientes con NAC de gravedad moderada o alta (según lo determinado por la puntuación CURB-65) que se presenten en el hospital.[1][63][65]
Los hemocultivos pueden ser muy específicos para determinar la etiología microbiana[1][63][65]
La bacteriemia también es un marcador de la gravedad de la enfermedad. Sin embargo, muchos pacientes con NAC no presentan bacteriemia asociada.[1] Las causas microbianas de la NAC que pueden asociarse con bacteriemia incluyen:[1]
No solicite hemocultivos en pacientes con NAC confirmada que tengan una enfermedad de baja gravedad y sin afecciones comórbidas.[1] La antibioticoterapia empírica se asocia con un buen pronóstico en estos pacientes.[1]
Debate: hemocultivos
Existe un debate sobre la practicidad de solicitar hemocultivos de rutina en pacientes hospitalizados con NAC. Esto se debe principalmente a la baja sensibilidad, el costo y el hecho de que los resultados casi nunca influyen en el manejo de los antimicrobianos.
En un estudio de 355 pacientes ingresados en el hospital por NAC, la proporción de hemocultivos falsos positivos fue de 10 % y la proporción de verdaderos positivos fue de 9 % (IC 95 %, 3.3 a 5.5 %).[104]
El tratamiento antibiótico se cambió sobre la base de los resultados de los hemocultivos en solo el 5% de los pacientes (IC del 95%, 3% a 8%).[104]
Sin embargo, a pesar de estas limitaciones, la mayoría de los expertos aún recomiendan hemocultivos en pacientes con NAC de alta gravedad.[1]
Resultado
crecimiento del patógeno bacteriano causante
cultivo de esputo (tinción de Gram ±)
Prueba
Recoja muestras de esputo para cultivo (tinción de Gram ±) en todos los pacientes con NAC de gravedad moderada y alta (según lo determinado por la puntuación CURB-65) que se presentan en el hospital antes de comenzar con antibióticos, y en pacientes que no mejoran independientemente de la gravedad de la enfermedad.[1][63][65]
Solicite la tinción de Gram de cultivos de esputo en pacientes con NAC de alta gravedad o complicaciones si está disponible en su laboratorio local. La tinción de Gram es un indicador inmediato del patógeno probable y puede ayudar a interpretar los resultados del cultivo.[1]
No solicite pruebas microbiológicas de forma rutinaria en pacientes que presenten NAC en la comunidad.[1][63][65]
Evidencia: tinción de Gram de esputo
Un estudio prospectivo de 1390 pacientes con NAC bacteriémica encontró una sensibilidad para la tinción de Gram de esputo de:[105]
82% para neumonía neumocócica
79% para Haemophilus influenzaepneumonia
76% para neumonía estafilocócica.
Las especificidades variaron del 93% al 96%.
Practical tip
No es necesario realizar tinciones de Gram de esputo de rutina para todos los pacientes.[1] La prueba tiene una baja sensibilidad y especificidad, y a menudo no contribuye al manejo inicial. Los problemas incluyen:[1]
Es posible que los pacientes no puedan producir buenas muestras
Exposición previa a antibióticos
Retrasos en el transporte y procesamiento de muestras, lo que reduce el rendimiento de patógenos bacterianos
Dificultad para interpretar los resultados debido a la contaminación de la muestra por la flora del tracto respiratorio superior, que puede incluir patógenos potenciales como Streptococcus pneumoniae y 'coliformes' (especialmente en pacientes ya administrados antibióticos).
Resultado
crecimiento del patógeno bacteriano causante
prueba de antígenos en orina para Legionella y neumococo
Prueba
Considere las pruebas de antígeno neumocócico y legionela en orina en personas con NAC de gravedad moderada o alta.[63] Solicite pruebas de antígeno de legionela en orina en todos los pacientes con factores de riesgo específicos y durante un brote (p. ej., enfermedad del legionario) o durante años de micoplasma epidémico.[1][65]
La prueba del antígeno urinario neumocócico es útil para diagnosticar la neumonía neumocócica en adultos y se ve menos afectada que los cultivos de sangre/esputo por la terapia antibiótica previa.[1][65]
La prueba de antígeno urinario de Legionella permite obtener resultados rápidos al principio de la enfermedad.[1][65]
Para todos los pacientes que son positivos para el antígeno en orina de legionella, solicite cultivos de esputo de muestras respiratorias (p. ej., obtenidas de broncoscopia) para Especies de Legionella. Esto es para ayudar a la prueba diagnóstica del brote y fuentes con el objetivo de prevenir más casos.[1][65]
La prueba del antígeno de Legionella mediante inmunoensayo enzimático es altamente específica (>95%) y sensible (80%) para detectar el serogrupo 1 de Legionella pneumophila, que es la causa más común de NAC esporádica y NAC debido a viajes al extranjero en el Reino Unido.[108]
No solicite pruebas microbiológicas de forma rutinaria en pacientes que presenten NAC en la comunidad.[1][63][65]
Evidencia: pruebas de antígenos en orina para neumonía neumocócica
Los estudios han demostrado tasas de sensibilidad significativamente mayores para la prueba de antígeno neumocócico en orina que para los cultivos de sangre o esputo de rutina.[106]
Los resultados siguen siendo positivos en el 80% al 90% de los pacientes hasta 7 días después de comenzar el tratamiento antimicrobiano.[106]
Resultado
positiva para los antígenos de Legionella o neumocócicos
reacción en cadena de la polimerasa (PCR) y/o pruebas serológicas
Prueba
Permite una rápida identificación del patógeno. Solicite PCR de esputo u otras muestras respiratorias (p. ej., hisopos de nariz y garganta) en pacientes con NAC de alta gravedad:[1][65]
Si no responde a los antibióticos betalactámicos
Si existe una fuerte sospecha de un virus respiratorio (es decir, influenza A y B, parainfluenza 1-3, adenovirus, virus respiratorio sincitial) o un patógeno "atípico":
Mycoplasma pneumoniae
Chlamydophila pneumoniae
Chlamydophila psittaci
Coxiella burnetii
Pneumocystis jirovecii (si está en riesgo).
Considere la PCR en pacientes con NAC de gravedad baja o moderada durante brotes (p. ej., enfermedad del legionario) o durante micoplasma epidémico, o cuando exista una razón clínica o epidemiológica particular.[1][65]
No solicite pruebas microbiológicas de forma rutinaria en pacientes que presenten NAC en la comunidad.[1][63][65]
Durante la pandemia de COVID-19, solicite una prueba de amplificación de ácidos nucleicos, como PCR en tiempo real, para detectar el SARS-CoV-2 en cualquier paciente con sospecha de infección siempre que sea posible.[77][78] Ver nuestro tema Coronavirus disease 2019 (COVID-19) Opens in new window.
Resultado
detección de antígenos o anticuerpos patógenos virales/atípicos
exploración de tórax por TC
Prueba
Considere una tomografía computarizada del tórax cuando haya dudas diagnósticas: por ejemplo, si la radiografía de tórax es de mala calidad o hay una consolidación mal definida.[1]
Los hallazgos en la radiografía de tórax que deberían impulsarlo a realizar una tomografía computarizada incluyen:
Cavitación – la tomografía computarizada ayuda a identificar diagnósticos alternativos como tuberculosis, cáncer de pulmón, infarto pulmonar, émbolos pulmonares sépticos, ampollas infectadas, absceso pulmonar[Figure caption and citation for the preceding image starts]: Radiografía de tórax que muestra neumonía cavitante en el lóbulo superior izquierdoDe la colección del Dr. Jonathan Bennett. Usado con autorización [Citation ends].

Patrón de consolidación (multifocal): la TC ayuda a identificar diagnósticos alternativos como infección estafilocócica, tuberculosis, neumonía por aspiración, aspergilosis broncopulmonar alérgica, neumonía organizada criptogénica o reacción de hipersensibilidad a medicamentos.
Derrame pleural – la TC (junto con la ecografía de tórax y la aspiración guiada) ayuda a identificar el derrame paraneumónico, el empiema, la tuberculosis y el cáncer de pulmón
Aproximadamente, el 40% de los pacientes hospitalizados por neumonía desarrollan un derrame paraneumónico.[90]
[Figure caption and citation for the preceding image starts]: derrame pleural del lado izquierdoDe la colección del Dr. R Light. Usado con autorización [Citation ends].

Considere una tomografía computarizada de tórax y abdomen superior en pacientes con signos y síntomas persistentes o cambios en la radiografía de tórax antes de la broncoscopia para descartar diagnósticos alternativos.
Resultado
puede mostrar cavitaciones, derrame pleural, consolidación multifocal, neoplasia
ecografía de tórax
Prueba
Considere la ecografía de tórax después de la radiografía de tórax cuando exista duda diagnóstica.[1]
El derrame pleural que se observa en la radiografía de tórax puede impulsarlo a realizar una ecografía de tórax (con o sin aspiración guiada y tomografía computarizada de tórax) para ayudar a realizar un diagnóstico alternativo como tuberculosis, cáncer de pulmón o embolia pulmonar.[Figure caption and citation for the preceding image starts]: derrame pleural del lado izquierdoDe la colección del Dr. R Light. Usado con autorización [Citation ends].

Debate: ecografía en el diagnóstico de la neumonía adquirida en la comunidad (NAC)
Aunque una radiografía de tórax que muestra un nuevo sombreado que no se puede atribuir a ninguna otra causa es el "estándar de oro" para el diagnóstico de neumonía, puede no ser siempre factible en un entorno comunitario e implica la exposición a la radiación.
La evidencia emergente ha demostrado que la ecografía pulmonar es una posible prueba diagnóstica precisa para los pacientes con la NAC. Sin embargo, los beneficios de su uso en la práctica sobre la radiografía de tórax aún no están claros.
Un metanálisis de 12 estudios que analizaron la exactitud diagnóstica de la ecografía pulmonar en pacientes con NAC encontró una sensibilidad y especificidad de 0.88 y 0.86, respectivamente.[93] Sin embargo, se observaron algunos limitaciones, como la gran variabilidad en los hallazgos y la falta de heterogeneidad de los estudios revisados.
Se necesitan más evidencias antes de poder hacer recomendaciones.
Resultado
se puede ver consolidación; se puede observar derrame paraneumónico
toracocentesis y cultivo del líquido pleural
Prueba
Considere la toracocentesis en todos los pacientes con derrame pleural, ya que esto puede revelar un espacio pleural infectado consistente con un derrame paraneumónico o empiema.[1][65]
Una tinción de Gram positiva del líquido pleural indica un empiema. En estos pacientes, drenar líquido pleural en aquellos con empiema o líquido pleural claro con pH <7.2.[1]
Resultado
exudado; crecimiento de especies bacterianas causantes en caso de empiema
angiografía pulmonar por tomografía computarizada (APTC)
Prueba
Considere la APTC para descartar una embolia pulmonar si los síntomas aparecieron rápidamente (en cuestión de minutos) o si el dolor y la dificultad para respirar precedieron a los síntomas infecciosos.[92]
APTC tiene la mejor precisión diagnóstica de todos los métodos avanzados de imagen no invasivos en la detección de embolia pulmonar.[112]
Resultado
puede revelar un trombos en una arteria pulmonar; aparece como un defecto de llenado intraluminal parcial o completo
broncoscopia
Prueba
Considere la broncoscopia durante la recuperación en pacientes con signos y síntomas persistentes de NAC y anomalías radiológicas alrededor de 6 semanas después de completar el tratamiento.[1][65]
Las técnicas más frecuentes son el lavado broncoalveolar (LBA) y las muestras tomadas con cepillo protegido (CEP).
Resultado
LBA: 104 unidades formadoras de colonias (UFC)/ml indican infección
PSB o Protected Specimen Brush (Cepillo de Muestra Protegida): se ha recomendado 103 UFC/ml para distinguir la colonización de la infección
procalcitonina sérica
Prueba
Considere la posibilidad de pedir procalcitonina sérica. La procalcitonina basal se utiliza cada vez más en entornos de cuidados intensivos y en el servicio de urgencias para guiar las decisiones sobre el tratamiento con antibióticos en pacientes con alta sospecha de sepsis y en aquellos con sospecha de infección bacteriana.[81][97][98][99][100]
Los valores elevados de procalcitonina se correlacionan con la neumonía bacteriana, mientras que los valores más bajos se correlacionan con la neumonía viral y atípica. La procalcitonina está especialmente elevada en casos de neumonía neumocócica.[101][102]
La procalcitonina es un péptido precursor de la calcitonina, que es responsable de la homeostasis del calcio. Actualmente está excluido de las guías de práctica clínica clave, pero se utiliza cada vez más en la práctica.
Resultado
puede estar elevada
PCR en el punto de atención
Prueba
Las pruebas diagnósticas generales no son necesarias para la mayoría de los pacientes con NAC que reciben tratamiento en el entorno comunitario.[1][113] Sin embargo, debe considerar una PCR en el punto de atención si no puede hacer un diagnóstico de NAC a partir de la evaluación clínica y no está claro si se deben recetar antibióticos.[63]
Los niveles altos de PCR no indican necesariamente que la neumonía sea bacteriana o SARS-CoV-2, pero los niveles bajos de PCR hacen que sea menos probable una infección bacteriana secundaria.[111]
Resultado
elevada
El uso de este contenido está sujeto a nuestra cláusula de exención de responsabilidad