Imágenes y vídeos
Imágenes

Cardiopatía congénita
Subtipos de comunicaciones interauriculares: (A) seno venoso; (B) ostium secundum; (C) ostium primum; (D) seno coronario sin techo
Mayo Clinic Foundation
Ver esta imagen en el contexto de la/s siguiente/s sección/es:

Cardiopatía congénita
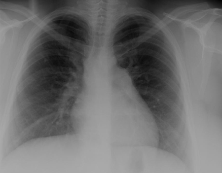
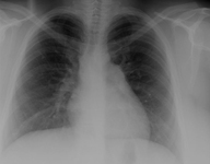
RT que demuestra una circulación pulmonar excesiva
Mayo Clinic Foundation
Ver esta imagen en el contexto de la/s siguiente/s sección/es:

Cardiopatía congénita
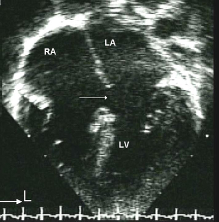
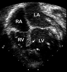
Imagen de ecocardiografía de 4 cámaras apical de una comunicación interauricular (CIA) de tipo ostium primum (flecha). (AD) aurícula derecha; (AI) aurícula izquierda; (VI) ventrículo izquierdo
Imagen cortesía de Patrick W. O'Leary, MD
Ver esta imagen en el contexto de la/s siguiente/s sección/es:

Cardiopatía congénita
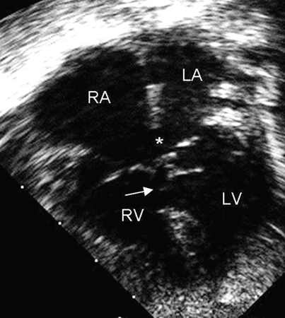
Imagen de ecocardiografía de 4 cámaras apical de una comunicación auriculoventricular (CAV) completa. Observe la comunicación interauricular (CIA) de tipo ostium primum (*) y la comunicación interventricular (CIV) de entrada contigua (flecha). (AD) aurícula derecha; (AI) aurícula izquierda; (VD) ventrículo derecho; (VI) ventrículo izquierdo
Imagen cortesía de Patrick W. O'Leary, MD
Ver esta imagen en el contexto de la/s siguiente/s sección/es:

Cardiopatía congénita
Los subtipos de las comunicaciones interventriculares son: (A) salida; (B) perimembranosa; (C) entrada; (D) muscular
Mayo Clinic Foundation
Ver esta imagen en el contexto de la/s siguiente/s sección/es:

Cardiopatía congénita
Imagen de ecocardiografía transesofágica de un dispositivo oclusor de comunicación interauricular (CIA) (flecha). (AD) aurícula derecha; (AI) aurícula izquierda; (VCS) vena cava superior
Imagen cortesía de Patrick W. O'Leary, MD
Ver esta imagen en el contexto de la/s siguiente/s sección/es:

Cardiopatía congénita
Electrocardiograma (ECG) de 12 derivaciones en un lactante con comunicación auriculoventricular (CAV) completa; el ECG es significativo para la desviación del eje izquierdo
Mayo Clinic Foundation
Ver esta imagen en el contexto de la/s siguiente/s sección/es:

Cardiopatía congénita
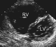
Imagen de ecocardiografía de eje corto paraesternal que demuestra agrandamiento ventricular derecho en un paciente con una comunicación interauricular (CIA). (VD) ventrículo derecho; (VI) ventrículo izquierdo
Imagen cortesía de Patrick W. O'Leary, MD
Ver esta imagen en el contexto de la/s siguiente/s sección/es:

Cardiopatía congénita
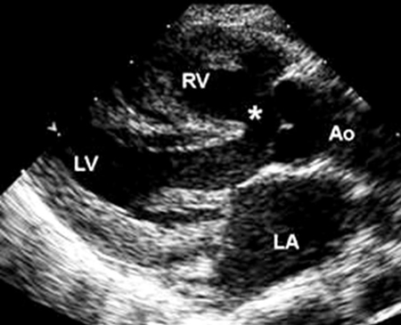
Imagen de ecocardiografía de eje largo paraesternal en un paciente con tetralogía de Fallot. Hay cabalgamiento de la aorta sobre la comunicación interventricular (*). (AI) aurícula izquierda; (VD) ventrículo derecho; (VI) ventrículo izquierdo
Imagen cortesía de Patrick W. O'Leary, MD
Ver esta imagen en el contexto de la/s siguiente/s sección/es:

Cardiopatía congénita
Subtipos de tronco arterioso con comunicación interventricular (tipo A): Tipo A1: la arteria pulmonar principal está presente y se bifurca en las arterias pulmonares izquierda y derecha. Tipo A2: las arterias pulmonares de rama derecha e izquierda surgen de un tronco común. Tipo A3: Una rama de la arteria pulmonar surge del tronco común y la otra está ausente o surge de un CAP o de la aorta. Tipo A4: Tronco con hipoplasia del arco aórtico, coartación o arco aórtico interrumpido y un CAP grande
Calder L et al. Am Heart J 1976 Jul; 92(1):23-38; usado con permiso
Ver esta imagen en el contexto de la/s siguiente/s sección/es:

Cardiopatía congénita
Imagen de ecocardiografía de 4 cámaras apical de una comunicación interventricular (CIV) muscular (flecha). (AD) aurícula derecha; (AI) aurícula izquierda; (VD) ventrículo derecho; (VI) ventrículo izquierdo
Imagen cortesía de Patrick W. O'Leary, MD
Ver esta imagen en el contexto de la/s siguiente/s sección/es:

Cardiopatía congénita
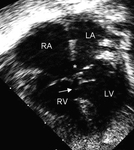
Imagen de ecocardiografía de 4 cámaras apical que demuestra agrandamiento ventricular derecho en un paciente con una comunicación interauricular (CIA). (AD) aurícula derecha; (VD) ventrículo derecho; (VI) ventrículo izquierdo
Imagen cortesía de Patrick W. O'Leary, MD
Ver esta imagen en el contexto de la/s siguiente/s sección/es:
El uso de este contenido está sujeto a nuestra cláusula de exención de responsabilidad