Pruebas diagnósticas
Primeras pruebas diagnósticas para solicitar
frotis de sangre periférica (preparados con tinción de Giemsa o Wright)
Prueba
Se debe solicitar en todos los pacientes con sospecha de enfermedad para la confirmación diagnóstica.[6][31]
La revisión manual de los frotis de sangre debe solicitarse explícitamente. Se deben examinar diversos frotis, ya que pueden haberse infectado solo unos pocos eritrocitos durante las etapas iniciales de la infección.[6]
La Babesia se puede confundir con los parásitos de la malaria en el frotis de sangre (ambos se ven como anillos intraeritrocíticos). Por tanto, se pueden considerar análisis clínicos adicionales para confirmar el diagnóstico e identificar el agente patógeno de babesiosis específico.[6] La babesiosis y la malaria no se solapan geográficamente, por lo que los antecedentes epidemiológicos del paciente son muy importantes.
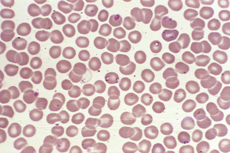
La prueba de sensibilidad depende tanto de la calidad de la preparación del frotis como de la experiencia de la persona que interpreta el frotis.[Figure caption and citation for the preceding image starts]: Frotis de sangre fino, Babesia microti, con forma de anillosDe la colección de Sarah Hochman, Albert Einstein College of Medicine; usado con autorización [Citation ends].
[Figure caption and citation for the preceding image starts]: Fotomicrografía que revela la presencia de lo que se determinó son varios parásitos Babesia sp. intraeritrocitarios en forma de anilloCDC/Dr. Mae Melvin [Citation ends].
Resultado
presencia de estructuras en anillo dentro de los eritrocitos
reacción en cadena de la polimerasa para el ADN de babesiosis
Prueba
Una opción alternativa de confirmación diagnóstica en pacientes con sospecha de babesiosis, cuando está disponible.[6][31]
Se puede considerar para pacientes con estructuras en forma de anillos detectables en el frotis de sangre fino, con el fin de diferenciarlo de la malaria, o para pacientes sin formas de anillo detectables en el frotis pero con alta sospecha clínica.[32][33]
Resultado
presencia de ADN de Babesia microti
hemograma completo (HC)
Prueba
La leucopenia es frecuente.
La disminución del hematocrito se puede deber a una anemia hemolítica.[6]
Resultado
variable; leucopenia con hematocrito bajo; trombocitopenia
creatinina sérica y urea
Prueba
Puede estar elevado en casos graves.[6]
Resultado
variable; puede estar elevado
pruebas de función hepática (PFH)
Prueba
Generalmente muestra transminasas ligeramente a moderadamente elevadas.[6]
Resultado
variable; las transminasas pueden estar elevadas
análisis de orina
Prueba
La presencia de orina oscura con urobilinógeno y bilirrubina conjugada puede indicar hemólisis.
Resultado
variable; pueden estar presentes desde cantidades mínimas hasta moderadas de proteína, urobilinógeno y bilirrubina conjugada
ensayo de inmunoadsorción enzimática (ELISA) y/o prueba de inmunofluorescencia para la enfermedad de Lyme
Prueba
Descarta la enfermedad de Lyme como diagnóstico principal.
La enfermedad de Lyme debe incluirse en el diagnóstico diferencial de cualquier paciente que desarrolle fiebre o enfermedad clínica a consecuencia de picadura de garrapata.
Los pacientes con babesiosis confirmada que continúan sintomáticos a pesar del tratamiento antibabesiosis adecuado también deben someterse a la prueba para la enfermedad de Lyme, ya que podría presentarse una coinfección y empeorar los síntomas de babesiosis.
No se necesitan pruebas adicionales de las muestras negativas para la enfermedad de Lyme analizadas mediante la prueba sensible ELISA o la prueba de inmunofluorescencia.
Resultado
variables; normalmente negativas; un resultado positivo puede indicar coinfección
reacción en cadena de la polimerasa y/o prueba de inmunofluorescencia o frotis de capa leucocitaria para la anaplasmosis granulocítica humana
Prueba
Descarta la anaplasmosis granulocítica humana (AGH) como diagnóstico principal.
La AGH se debe incluir en el diagnóstico diferencial de cualquier paciente que desarrolle fiebre o enfermedad clínica a consecuencia de picadura de garrapata.
Los pacientes con babesiosis confirmada que continúan sintomáticos a pesar del tratamiento antibabesiosis adecuado también se deben someter a la prueba de AGH, ya que podría presentarse una coinfección y empeorar los síntomas de babesiosis.
También se puede detectar Anaplasma phagocytophilum en forma de inclusiones granulocíticas en los frotis de sangre finos.
Resultado
variables; normalmente negativas; un resultado positivo puede indicar coinfección
Pruebas diagnósticas que deben considerarse
prueba de anticuerpos por inmunofluorescencia indirecta para Babesia microti
Prueba
Pueden proporcionar evidencia de soporte para el diagnóstico, pero no distinguen de manera confiable entre una infección activa y una infección previa.[6] La Infectious Diseases Society of America (IDSA) recomienda la exploración por frotis de sangre periférica o PCR para la confirmación diagnóstica de la babesiosis aguda, en lugar de pruebas con anticuerpos.[31]
Una sola prueba de anticuerpos positiva no es suficiente para establecer un diagnóstico, ya que los anticuerpos contra la Babesia pueden persistir en la sangre durante un año o más tras la aparente desaparición de la infección (con o sin tratamiento). Por lo tanto, en pacientes que solo tienen una prueba de anticuerpos positiva, la IDSA recomienda la confirmación con frotis de sangre periférica o PCR antes de considerar el tratamiento.[31]
Se puede realizar en muestras séricas de las fases aguda y convaleciente (4-6 semanas), aunque muchas tendrán anticuerpos detectables en la presentación aguda. Un título de IgG ≥1:1024 o la presencia de IgM indican una infección activa o reciente. Un aumento de cuatro veces la IgG entre el suero agudo y el de convalecencia confirma el diagnóstico.[31]
También se dispone de pruebas ELISA e inmunoblot, pero su uso para el diagnóstico es limitado.[31]
Resultado
positiva
ensayo de inmunotransferencia de IgG/IgM para la enfermedad de Lyme
Prueba
Solo para pacientes con ensayo de inmunoadsorción enzimática (ELISA) positivo para enfermedad de Lyme.
Resultado
presencia de bandas que indican anticuerpos para Borrelia burgdorferi
serología del virus de la inmunodeficiencia humana (VIH)
Prueba
Confirma o descarta una infección por VIH en pacientes con enfermedad grave o prolongada. Los resultados se deben interpretar con cautela, ya que se ha informado de un caso de serología para VIH falsa positiva en una paciente con babesiosis activa.[35]
Resultado
variable
El uso de este contenido está sujeto a nuestra cláusula de exención de responsabilidad