Investigations
1st investigations to order
serum urea
Test
Suggests renal dysfunction.
Helps guide treatment.
Result
elevated
creatinine
Test
Suggests renal dysfunction.
Helps guide treatment.
Result
elevated
GFR
Test
Estimation can be calculated using an equation developed by the Modification of Diet in Renal Disease (MDRD) group. [ Glomerular Filtration Rate Estimate by the IDMS-Traceable MDRD Study Equation Opens in new window ]
Result
decreased
urinalysis with microscopy
Test
Normal at earlier stages of the disease.
Result
proteinuria, oval fat bodies, fatty casts; absent red cell casts
urine protein-to-creatinine ratio
Test
Ratios on a random urine specimen correlate fairly closely with daily protein excretion.
Numeric value of the ratio estimates 24-hour protein excretion (e.g., ratio of 3 suggests proteinuria of 3 g/24 hours).
Patients presenting at an early stage are asymptomatic and can have ratios <1.
Symptomatic patients have ratios >3.
Result
<1 to >3
24-hour urine collection for protein
Test
Symptomatic patients have >3 g/24 hours proteinuria, the defined threshold for nephrotic syndrome.
Patients presenting at an early stage and who are asymptomatic may have no or minimal proteinuria (<1 g/24 hours).
Nephrotic-range proteinuria is more common in primary than in secondary FSGS.
Result
variable
serum albumin
Test
Hypoalbuminaemia occurs due to renal protein loss in nephrotic syndrome.
Result
low
serum lipid profile
Test
Hyperlipidaemia in nephrotic syndrome is due to increased cholesterol synthesis in liver and loss of lipid-regulating proteins in urine; the mechanism of these effects is incompletely understood.
Result
increased total cholesterol and LDL
Investigations to consider
serum HIV enzyme-linked immunosorbent assay
Test
Most patients with HIV-associated FSGS have advanced disease.
HIV is associated with the collapsing variant morphological subtype of FSGS.
Result
positive in HIV infection
CD4 count and viral load studies
Test
Most patients with HIV-induced FSGS have low CD4 counts and advanced disease.
HIV is associated with the collapsing variant morphological subtype of FSGS.
Result
CD4 count <200/microlitre, high viral load in HIV infection
parvovirus DNA polymerase chain reaction (PCR)
Test
More useful than serology at identifying persistent infection, as serology does not distinguish current from past infection.
Result
identifies parvovirus B19 DNA
cytomegalovirus DNA PCR
Test
More useful than serology at identifying persistent infection, as serology does not distinguish current from past infection.
Result
identifies cytomegalovirus DNA
hepatitis B and C serologies
Test
In rare cases, chronic hepatitis B and C have been associated with secondary FSGS.
Result
positive in hepatitis B or C infection
antinuclear antibody, anti-double-stranded DNA
Test
High titres or a positive result suggests systemic lupus erythematosus rather than FSGS as the cause.
Result
negative
serum and urine protein electrophoresis
Test
Presence of monoclonal protein suggests amyloidosis rather than FSGS.
Result
normal
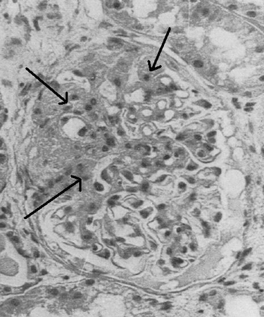
renal biopsy
Test
FSGS is characterised on light microscopy by focal segmental areas of mesangial collapse and sclerosis.
Morphological categories are perihilar variant, cellular variant, collapsing variant, tip variant, and not otherwise specified.
Immunofluorescence microscopy is usually unremarkable.
Electron microscopy can distinguish primary from secondary FSGS. Foot process fusion is diffuse in primary FSGS but is mostly limited to sclerotic areas in secondary FSGS.[Figure caption and citation for the preceding image starts]: Light microscopy of renal biopsy showing typical lesions of focal segmental glomerulosclerosisAdapted from Nagi AH, Alexander F, Lannigan R. Light and electron microscopical studies of focal glomerular sclerosis. J Clin Pathol. 1971 Dec;24(9):846-50 [Citation ends].
Result
focal segmental areas of mesangial collapse and sclerosis
Use of this content is subject to our disclaimer