Images and videos
Images

Focal segmental glomerulosclerosis
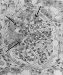
Characteristic features of focal segmental glomerulosclerosis (FSGS) lesions
Created at the BMJ Knowledge Centre
See this image in context in the following section/s:

Focal segmental glomerulosclerosis
Muehrcke's lines in a patient with hypoalbuminaemia due to nephrotic syndrome
From Muehrcke RC. The finger-nails in chronic hypoalbuminaemia: a new physical sign. Br Med J. 1956 Jun 9;1(4979):1327-8
See this image in context in the following section/s:

Focal segmental glomerulosclerosis
Xanthomata in a patient with severe hyperlipidaemia
From Watkins PJ. Cardiovascular disease, hypertension, and lipids. BMJ. 2003 Apr 19;326(7394):874-6
See this image in context in the following section/s:

Focal segmental glomerulosclerosis
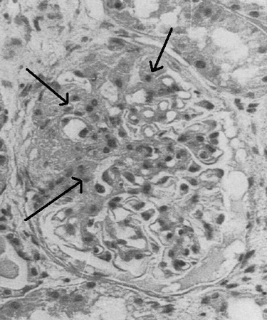
Light microscopy of renal biopsy showing typical lesions of focal segmental glomerulosclerosis
Adapted from Nagi AH, Alexander F, Lannigan R. Light and electron microscopical studies of focal glomerular sclerosis. J Clin Pathol. 1971 Dec;24(9):846-50
See this image in context in the following section/s:

Focal segmental glomerulosclerosis
Facial oedema in a child with nephrotic syndrome
From the collection of Dr M. Dixit, Medical Director, Florida Children's Kidney Centre; Dr R. Mathias, Chief, Pediatric Nephrology, Nemours Children's Clinic, Orlando, FL
See this image in context in the following section/s:
Use of this content is subject to our disclaimer