Images and videos
Images

Evaluation of monoclonal gammopathies
Immunoglobulin structure
From the personal collection of Dr Kumar
See this image in context in the following section/s:

Evaluation of monoclonal gammopathies
Myeloma bone disease
From the personal collection of Dr Kumar
See this image in context in the following section/s:

Evaluation of monoclonal gammopathies
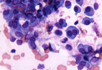
Monoclonal plasma cells
From the personal collection of Dr Kumar
See this image in context in the following section/s:

Evaluation of monoclonal gammopathies
Serum protein electrophoresis
From the personal collection of Dr Kumar
See this image in context in the following section/s:

Evaluation of monoclonal gammopathies
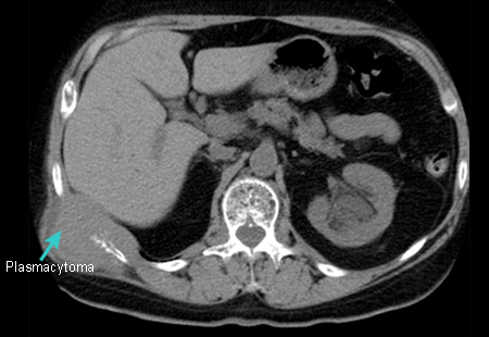
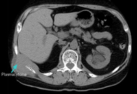
Plasmacytoma
From the personal collection of Dr Kumar
See this image in context in the following section/s:
Use of this content is subject to our disclaimer