Images and videos
Images

Gynecomastia
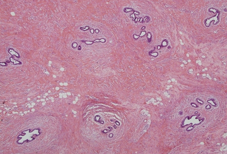
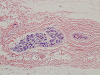
Histology: gynecomastia; clusters of ducts, halos of edema, fibrous background; 5X magnification
From the collection of Catherine B. Niewoehner, MD
See this image in context in the following section/s:

Gynecomastia
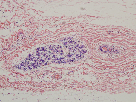
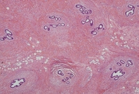
Histology: normal female breast; many ducts; prominent lobules; 10X magnification
From Minneapolis Veterans Affairs Medical Center pathology collection
See this image in context in the following section/s:

Gynecomastia
Patient with gynecomastia
From the collection of Catherine B. Niewoehner, MD
See this image in context in the following section/s:

Gynecomastia
Gynecomastia evaluation
From the collection of Catherine B. Niewoehner, MD
See this image in context in the following section/s:

Gynecomastia
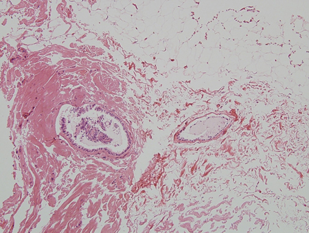
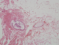
Histology: normal male breast; rare, isolated ducts; no lobules; 10X magnification
From Minneapolis Veterans Affairs Medical Center pathology collection
See this image in context in the following section/s:

Gynecomastia
Hormones involved in male breast development
From the collection of Catherine B. Niewoehner, MD
See this image in context in the following section/s:

Gynecomastia
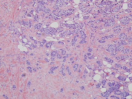
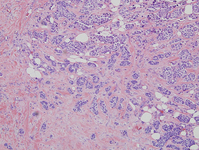
Histology: breast cancer; nests of malignant ductal carcinoma invading tissue; 10X magnification
From Minneapolis Veterans Affairs Medical Center pathology collection
See this image in context in the following section/s:
Use of this content is subject to our disclaimer