Images and videos
Images

Thoracolumbar spine trauma
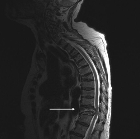
MRI thoracic spine: sagittal view (T2-weighted sequence) showing a pathologic fracture of the T10 vertebral body caused by multiple myeloma
From the personal collection of Dr B. Nurboja and Mr D. Choi
See this image in context in the following section/s:

Thoracolumbar spine trauma
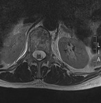
MRI lumbar spine: axial view (T2-weighted sequence) showing an osteoporotic fracture of the T12 vertebral body
From the personal collection of Dr B. Nurboja and Mr D. Choi
See this image in context in the following section/s:

Thoracolumbar spine trauma
Denis definitions of types of spinal fracture
Content adapted by author from Denis F. The three-column spine and its significance in the classification of acute thoracolumbar spinal injuries. Spine (Phila Pa 1976). 1983 Nov-Dec;8(8):817-31
See this image in context in the following section/s:

Thoracolumbar spine trauma
Modified Magerl (AO/ASIF) classification of thoracolumbar injuries
Content adapted by author from Gertzbein SD. Spine update: classification of thoracic and lumbar fractures. Spine (Phila Pa 1976). 1994 Mar 1;19(5):626-8
See this image in context in the following section/s:

Thoracolumbar spine trauma
Denis classification of spinal fracture
Created by BMJ using content by Dr B. Nurboja and Mr D. Choi
See this image in context in the following section/s:

Thoracolumbar spine trauma
ASIA Standard Neurological Classification of Spinal Cord Injury: impairment scale
American Spinal Injury Association, used with permission
See this image in context in the following section/s:

Thoracolumbar spine trauma
Spinal cord injury
Created by Dr B. Nurboja
See this image in context in the following section/s:

Thoracolumbar spine trauma
Management of thoracolumbar fractures
Created by Dr B. Nurboja; used with permission
See this image in context in the following section/s:

Thoracolumbar spine trauma
MRI lumbar spine: sagittal view (T2-weighted sequence) showing an osteoporotic fracture of the T12 vertebral body
From the personal collection of Dr B. Nurboja and Mr D. Choi
See this image in context in the following section/s:
Use of this content is subject to our disclaimer