Images and videos
Images

Congenital torticollis
Vertex view of a head depicting typical findings of plagiocephaly associated with congenital muscular torticollis. Note the typical parallelogram shape due to asymmetric external compressive forces and associated growth. *Denotes the side of the shortened sternocleidomastoid and resultant torticollis
Prepared by Dr Joyce L. Oleszek; used with permission
See this image in context in the following section/s:

Congenital torticollis
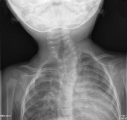
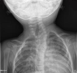
Cervical spine x-ray showing numerous segmentation anomalies associated with a convex left cervicothoracic scoliosis. This patient presented with a head tilt. There are segmentation anomalies in the lower thoracic and high cervical region. There is an acute convex left cervicothoracic scoliosis with a hemivertebra at the apex of the curve. Butterfly vertebra is identified rostral to the hemivertebra, and segmentation anomalies are also identified caudal to the hemivertebra
From the personal collection of Dr Joyce L. Oleszek; used with permission
See this image in context in the following section/s:
Use of this content is subject to our disclaimer