Images and videos
Images

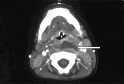
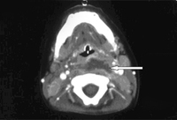
Retropharyngeal abscess
CT scan of neck demonstrating ring-enhancing lesion
Philpott CM, Selvadurai D, Banerjee AR. Paediatric retropharyngeal abscess. J Laryngol Otol. 2004;118:919-926
See this image in context in the following section/s:
Use of this content is subject to our disclaimer