Pulsed ultrasound therapy for calcific rotator cuff tendinopathy
One randomized, double-blind trial that evaluated ultrasound therapy for calcific tendinopathy of the shoulder in 54 patients found that ultrasound helped diminish calcifications, and improved pain and quality of life, in the short term.[120]Ebenbichler GR, Erdogmus CB, Resch KL, et al. Ultrasound therapy for calcific tendinitis of the shoulder. N Engl J Med. 1999 May 20;340(20):1533-8.
https://www.nejm.org/doi/full/10.1056/NEJM199905203402002
http://www.ncbi.nlm.nih.gov/pubmed/10332014?tool=bestpractice.com
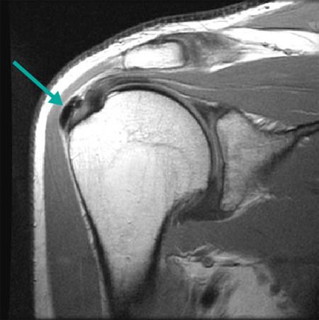
[Figure caption and citation for the preceding image starts]: MRI demonstrating calcific tendinopathy involving the distal central supraspinatusFrom the personal collection of James Wang, PhD [Citation ends].
Autologous whole blood injection
In this procedure, blood is taken from the patient and reinjected around the affected tendon to supply growth factors that initiate healing. One systematic review concluded that autologous whole blood injections provide significant pain relief to patients with epicondylitis at 8 to 24 weeks.[121]Tsikopoulos K, Tsikopoulos A, Natsis K. Autologous whole blood or corticosteroid injections for the treatment of epicondylopathy and plantar fasciopathy? A systematic review and meta-analysis of randomized controlled trials. Phys Ther Sport. 2016 Nov;22:114-22.
http://www.ncbi.nlm.nih.gov/pubmed/27085490?tool=bestpractice.com
However, the authors note that this conclusion is limited by the risk of bias. One network meta-analysis concluded that autologous blood injection is preferable to corticosteroid injection in patients with lateral epicondylitis.[122]Dong W, Goost H, Lin XB, et al. Injection therapies for lateral epicondylalgia: a systematic review and Bayesian network meta-analysis. Br J Sports Med. 2016 Aug;50(15):900-8.
http://www.ncbi.nlm.nih.gov/pubmed/26392595?tool=bestpractice.com
Cell-based therapies
Stem cell therapy for tendinopathy is poorly defined in clinical practice, but most commonly includes bone marrow aspirate concentration or adipose-derived stromal vascular fraction. At present, there is insufficient evidence to support cell-based therapies, including stem cell therapies, for tendinopathies.[123]Pas HI, Moen MH, Haisma HJ, et al. No evidence for the use of stem cell therapy for tendon disorders: a systematic review. Br J Sports Med. 2017 Jul;51(13):996-1002.
https://bjsm.bmj.com/content/51/13/996.long
http://www.ncbi.nlm.nih.gov/pubmed/28077355?tool=bestpractice.com
[124]van den Boom NAC, Winters M, Haisma HJ, et al. Efficacy of stem cell therapy for tendon disorders: a systematic review. Orthop J Sports Med. 2020 Apr;8(4):2325967120915857.
https://journals.sagepub.com/doi/10.1177/2325967120915857
http://www.ncbi.nlm.nih.gov/pubmed/32440519?tool=bestpractice.com
Further research is required to define the safety and efficacy of cell-based therapies as a treatment for tendinopathy.
Sclerosing therapy
Studied for Achilles and patellar tendinopathy.[19]Alfredson H, Ohberg L, Forsgren S. Is vasculo-neural ingrowth the cause of pain in chronic Achilles tendinosis? An investigation using ultrasonography and colour Doppler, immunohistochemistry, and diagnostic injections. Knee Surg Sports Traumatol Arthrosc. 2003 Sep;11(5):334-8.
http://www.ncbi.nlm.nih.gov/pubmed/14520512?tool=bestpractice.com
[125]van Ark M, Zwerver J, van den Akker-Scheek I. Injection treatments for patellar tendinopathy. Br J Sports Med. 2011 Oct;45(13):1068-76.
http://www.ncbi.nlm.nih.gov/pubmed/21543346?tool=bestpractice.com
[126]Hoksrud AF, Bahr R. Injectable agents derived from or targeting vascularity: has clinical acceptance in managing tendon disorders superseded scientific evidence? J Musculoskelet Neuronal Interact. 2011 Jun;11(2):174-84.
http://www.ismni.org/jmni/pdf/44/11HOKSRUD.pdf
http://www.ncbi.nlm.nih.gov/pubmed/21625054?tool=bestpractice.com
[127]Alfredson H, Cook J. A treatment algorithm for managing Achilles tendinopathy: new treatment options. Br J Sports Med. 2007 Apr;41(4):211-6.
http://www.ncbi.nlm.nih.gov/pubmed/17311806?tool=bestpractice.com
Involves ultrasound and color Doppler-guided polidocanol injections. Hypothesized to decrease pain by decreasing the amount of neovascularization in the overused tendon. One randomized controlled trial of 20 patients compared the effects of a sclerosing injection (polidocanol) with a non-sclerosing injection (lidocaine plus epinephrine). The sclerosing group showed improvement in pain at 3 months.[18]Alfredson H, Ohberg L. Sclerosing injections to areas of neo-vascularisation reduce pain in chronic Achilles tendinopathy: a double-blind randomised controlled trial. Knee Surg Sports Traumatol Arthrosc. 2005 May;13(4):338-44.
http://www.ncbi.nlm.nih.gov/pubmed/15688235?tool=bestpractice.com
[127]Alfredson H, Cook J. A treatment algorithm for managing Achilles tendinopathy: new treatment options. Br J Sports Med. 2007 Apr;41(4):211-6.
http://www.ncbi.nlm.nih.gov/pubmed/17311806?tool=bestpractice.com
However, the clinical significance of neovascularization as a cause of pain remains contentious, and there is insufficient robust evidence to support the use of sclerosing injections in the treatment of painful tendinopathy with concomitant neovascularity. Further clinical, imaging, and laboratory studies investigating the relationship between neovascularity, tendon pain, and its management are required.[128]Wilde B, Havill A, Priestley L, et al. The efficacy of sclerosing injections in the treatment of painful tendinopathy. Phys Ther Rev. 2011;16(4):244-60.
https://www.tandfonline.com/doi/abs/10.1179/1743288X11Y.0000000025