Images and videos
Images

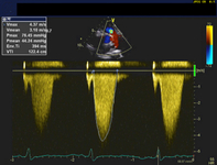
Pulmonary stenosis
Continuous wave doppler demonstrating severe pulmonary stenosis on transthoracic echocardiogram
Used with permission by National University Heart Centre, Singapore
See this image in context in the following section/s:
Videos
- Pulmonary stenosis
Auscultation sounds: Pulmonary stenosis
Use of this content is subject to our disclaimer