Images and videos
Images

Subarachnoid hemorrhage
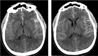
CT brain showing subarachnoid hemorrhage from a ruptured posterior cerebral artery aneurysm (2 of 2)
Courtesy of Dr Salah Keyrouz; used with permission
See this image in context in the following section/s:

Subarachnoid hemorrhage
Distal left vertebral and basilar arteries spasm before (left) and after (right) intra-arterial infusion of nicardipine
Courtesy of Dr Salah Keyrouz; used with permission
See this image in context in the following section/s:

Subarachnoid hemorrhage
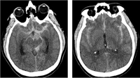
CT brain showing subarachnoid hemorrhage from a ruptured posterior cerebral artery aneurysm (1 of 2)
Courtesy of Dr Salah Keyrouz; used with permission
See this image in context in the following section/s:

Subarachnoid hemorrhage
ECG done on admission of a patient with subarachnoid hemorrhage; note peaked, tall T waves (1 of 2)
Courtesy of Dr Salah Keyrouz; used with permission
See this image in context in the following section/s:

Subarachnoid hemorrhage
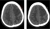
Left frontal infarct (arrows) in a patient with subarachnoid hemorrhage-related vasospasm
Courtesy of Dr Salah Keyrouz; used with permission
See this image in context in the following section/s:

Subarachnoid hemorrhage
Same patient, 24 hours later; note normalization of T waves (2 of 2)
Courtesy of Dr Salah Keyrouz; used with permission
See this image in context in the following section/s:

Subarachnoid hemorrhage
Severe vasospasm of distal left internal carotid artery and proximal middle and anterior cerebral arteries before (A) and after (B) intra-arterial infusion of nicardipine and transluminal balloon angioplasty
Courtesy of Dr Salah Keyrouz; used with permission
See this image in context in the following section/s:

Subarachnoid hemorrhage
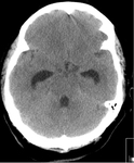
Communicating hydrocephalus in the setting of subarachnoid hemorrhage; note dilation of fourth and temporal horns of lateral ventricles
Courtesy of Dr Salah Keyrouz; used with permission
See this image in context in the following section/s:
Videos
- Diagnostic lumbar puncture in adults: animated demonstration
How to perform a diagnostic lumbar puncture in adults. Includes a discussion of patient positioning, choice of needle, and measurement of opening and closing pressure.
- Tracheal intubation: animated demonstration
How to insert a tracheal tube in an adult using a laryngoscope.
- Bag-valve-mask ventilation: animated demonstration
How to use bag-valve-mask apparatus to deliver ventilatory support to adults. Video demonstrates the two-person technique.
Use of this content is subject to our disclaimer