Recommendations

Key Recommendations

Occurrence of a sudden, severe headache is characteristic of subarachnoid hemorrhage (SAH).[37] It is the most important clue to diagnosis and is often described as "the worst ever headache." Prompt diagnostic workup and evaluation are recommended to diagnose/exclude aneurysmal SAH (aSAH) and to minimize morbidity and mortality.[37]

History and exam

The first priority should be an urgent assessment of level of consciousness and need for cardiopulmonary resuscitation and/or ventilatory support.[38] History-taking (from the patient and/or relatives) may reveal risk factors of smoking, hypertension, alcohol use, cocaine use, family history of SAH, connective tissue disorders, or autosomal dominant polycystic kidney diseases. Consciousness level should be assessed using the Glasgow Coma Scale (GCS).[35] On admission, up to two-thirds of people with SAH have a depressed level of consciousness, half of whom are in a coma.[39] Physical exam can be normal, or there can be altered level of consciousness, agitation, altered mental state, meningismus, and focal findings. A poor level of awareness and seizures on presentation are risk factors for aspiration. A large hemorrhage burden and the presence of a subdural hematoma are associated with the occurrence of seizures after aneurysm rupture.[40] Photophobia, nausea, and vomiting are common symptoms. A full neurologic exam should be performed with special attention to pupillary reaction. Fixed and dilated pupils in comatose patients are associated with a poor prognosis, especially when present bilaterally.[41] Intraocular hemorrhages (secondary to increased intracranial pressure) are seen in 10% to 40% of patients with SAH.[42] They cause visual loss in the affected eye. This is associated with worse prognosis and increased mortality.[42] Cranial nerve palsies may be present. Isolated dilation of one pupil and loss of the pupillary light reflex may indicate brain herniation as a result of rising intracranial pressure, caused by an intraparenchymal component to the hemorrhage or hydrocephalus. A poor neurologic status on admission seems to predict cardiac abnormalities thought to be secondary to overwhelming sympathetic activation.[43][44][45][46] Close monitoring of vital signs should be instituted, including blood pressure, heart rate and rhythm, and respiratory rate.[47]

Blood tests and ECG

Complete blood count, serum electrolytes, and clotting profile should be ordered in the initial workup in addition to serum troponin I. Half of patients have an abnormal ECG on admission.[48] Abnormalities include arrhythmias, prolonged QTc, and ST segment/T wave abnormalities.[43][48][49][50]

Computed tomography (CT) and lumbar puncture (LP)

Suspicion of SAH based on a history of sudden, severe headaches is sufficient to order an emergency noncontrast brain CT as the first test.[37][51] However, the specific workup required depends on the time of presentation from symptom onset and the patient’s neurologic status.[37] Some, but not all patients will require additional investigation:[37]

  • In patients who present <6 hours from symptom onset of acute onset severe headache, a noncontrast head CT performed on a high-quality scanner and interpreted by a board-certified neuroradiologist is reasonable to diagnose/exclude aSAH.

  • In patients with acute onset of severe headache who present >6 hours from symptom onset or who have a new neurologic deficit, a negative noncontrast head CT should prompt an LP to diagnose/exclude aSAH.

  • In patients with acute onset of severe headache without a new neurologic deficit, application of the Ottawa SAH Rule may be reasonable to identify those at high risk for aSAH.

In atypical presentations, such as primary neck pain, syncope, seizure, or new focal neurologic deficit where there is a high suspicion of SAH, appropriate imaging and workup should still be considered.[37]

Ottawa SAH Rule[52]

For alert patients age >15 years with new severe nontraumatic headache reaching maximum intensity within 1 hour. Patients require additional investigation for SAH if they meet any of the following criteria:

  1. Age ≥40 years

  2. Neck pain or stiffness

  3. Witnessed loss of consciousness

  4. Onset during exertion

  5. Thunderclap headache (instantly peaking pain)

  6. Limited neck flexion on exam

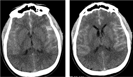
CT: thin cuts should be ordered (3-5 mm); otherwise, small, thin collections of blood might be missed. Subarachnoid blood will appear hyperdense (white) in the basal cisterns, major fissures, and sulci.[53] Detection of SAH on CT depends on density of blood, quantity of SAH, and timing of CT from ictus. A small quantity of blood in the subarachnoid space may be missed, and blood with hemoglobin below 10 g/dL may not be visible.[53] Nonetheless, the advent of third-generation CT scanners has dramatically improved the sensitivity of detecting subarachnoid blood, reaching 100% when performed within 6 hours of headache onset and read by experienced neuroradiologists.[54][55][56] The aneurysm rupture site can be predicted, though inconsistently, from patterns of blood accumulation on CT (thick collection in fissures) or parenchymal hematoma.[57][Figure caption and citation for the preceding image starts]: CT brain showing subarachnoid hemorrhage from a ruptured posterior cerebral artery aneurysm (1 of 2)Courtesy of Dr Salah Keyrouz; used with permission [Citation ends].CT brain showing subarachnoid hemorrhage from a ruptured posterior cerebral artery aneurysm (1 of 2)[Figure caption and citation for the preceding image starts]: CT brain showing subarachnoid hemorrhage from a ruptured posterior cerebral artery aneurysm (2 of 2)Courtesy of Dr Salah Keyrouz; used with permission [Citation ends].CT brain showing subarachnoid hemorrhage from a ruptured posterior cerebral artery aneurysm (2 of 2)

LP: four tubes of cerebrospinal fluid (CSF) should be collected and examined for gross blood. A serial count of red blood cells (RBCs) in tubes 1 to 4 is not sufficiently accurate to distinguish SAH from a traumatic LP. Visual inspection for xanthochromia is unreliable. Spectrophotometric analysis of hemoglobin degradation products is most reliable.[58] RBCs in the subarachnoid space start lysing approximately 12 hours after the bleed. Lysed RBCs will impart a xanthochromic (faint, yellow tinge) appearance to the CSF. However, high protein content in CSF or contamination with iodine used for disinfection can cause CSF to look xanthochromic.[59]


Diagnostic lumbar puncture in adults: animated demonstration
Diagnostic lumbar puncture in adults: animated demonstration

How to perform a diagnostic lumbar puncture in adults. Includes a discussion of patient positioning, choice of needle, and measurement of opening and closing pressure.


Further imaging

After SAH is confirmed by CT or LP, further imaging tests should be ordered.[66] Digital subtraction angiography (DSA) is the most accurate imaging technique used to diagnose aneurysms. CT angiography (CTA) and magnetic resonance angiography (MRA) are noninvasive imaging methods that have been compared with DSA.[66][67][68][69][70]​​​ CTA is widely available and often is the next diagnostic test performed when SAH is diagnosed with noncontrast CT.[37] One meta-analysis reported CTA to have a sensitivity of 92.7% and specificity of 77.2%, though another reported sensitivity and specificity surpassing 95%, especially when newer-generation multidetector scanners were used.[67][68][71][72]​​​ CTA head sensitivity for detecting aneurysm decreases for aneurysms <3 mm in size in the setting of diffuse SAH, and for aneurysms occurring adjacent to an osseous structure.[66] CTA may be sufficient to rule out a vascular cause of SAH when the location of hemorrhage is isolated to the perimesencephalic region with follow-up catheter-directed angiography indicated in CTA negative diffuse or peripheral SAHs.[66][73]​​​ However, there remains equipoise concerning the appropriate diagnostic pathway for a perimesencephalic distribution of SAH with CTA alone versus catheter-based DSA.[37] Similarly, meta-analysis has shown that MRA has a sensitivity of 95% and specificity of 89%.[74] Limitations of MRA head include required safety screening and relatively long acquisition time in urgent clinical scenarios.[66] DSA is the preferred method for the evaluation of cerebrovascular anatomy and aneurysm geometry and can aid in decision-making on the choice of optimal treatment modality.[37] The American Heart Association/American Stroke Association (AHA/ASA) recommends that in patients with spontaneous SAH with high level of concern for aneurysmal source and a negative or inconclusive CTA, DSA should be performed to diagnose/exclude cerebral aneurysm(s).[37] For diffuse SAH, DSA is indicated for evaluation regardless of CTA results because small aneurysms or other vascular lesions may not be fully appreciated or defined on CTA imaging owing to limitations in spatial resolution.[73][75][76][77][78]

Use of this content is subject to our disclaimer