Images and videos
Images

Behcet syndrome
Pathergy
From the collection of Yusuf Yazici, MD
See this image in context in the following section/s:

Behcet syndrome
Hypopyon
From the collection of Yusuf Yazici, MD
See this image in context in the following section/s:

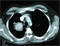
Behcet syndrome
Pulmonary aneurysm
From the collection of Yusuf Yazici, MD
See this image in context in the following section/s:

Behcet syndrome
Mouth and genital ulcers
From the collection of Yusuf Yazici, MD
See this image in context in the following section/s:
Use of this content is subject to our disclaimer