Images and videos
Images

Behcet's syndrome
Mouth ulcer
From the collection of Yusuf Yazici, MD
See this image in context in the following section/s:

Behcet's syndrome
Pathergy
From the collection of Yusuf Yazici, MD
See this image in context in the following section/s:

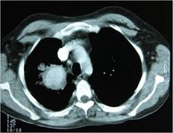
Behcet's syndrome
Pulmonary aneurysm
From the collection of Yusuf Yazici, MD
See this image in context in the following section/s:

Behcet's syndrome
Mouth and genital ulcers
From the collection of Yusuf Yazici, MD
See this image in context in the following section/s:

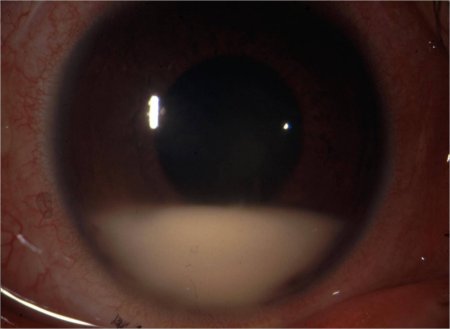
Behcet's syndrome
Hypopyon
From the collection of Yusuf Yazici, MD
See this image in context in the following section/s:
Use of this content is subject to our disclaimer