Images and videos
Images

Hepatocellular carcinoma
Partial liver resection specimen showing a well-circumscribed, solid, and relatively homogenous HCC tumor nodule
From the personal collection of Badar Muneer MD, Florida Hospital Transplant Center, Orlando, FL; used with permission
See this image in context in the following section/s:

Hepatocellular carcinoma
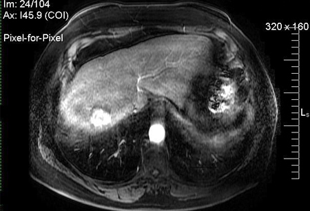
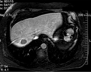
MRI: hypervascularity on the arterial phase
From the personal collection of Badar Muneer MD, Florida Hospital Transplant Center, Orlando, FL; used with permission
See this image in context in the following section/s:

Hepatocellular carcinoma
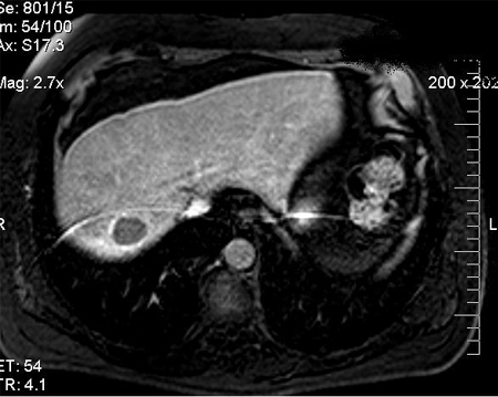
MRI: following transarterial chemoembolization treatment
From the personal collection of Badar Muneer MD, Florida Hospital Transplant Center, Orlando, FL; used with permission
See this image in context in the following section/s:

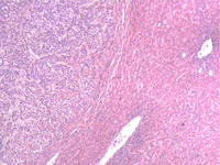
Hepatocellular carcinoma
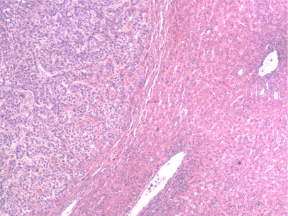
Medium power microscopic view of a hematoxylin and eosin stained section depicting normal liver on the right and HCC on the left. A sharp boundary separates the distinct zones of normal liver and tumor
From the personal collection of Badar Muneer MD, Florida Hospital Transplant Center, Orlando, FL; used with permission
See this image in context in the following section/s:

Hepatocellular carcinoma
This female Cambodian patient presented with a distended abdomen due to HCC resulting from chronic hepatitis B infection
CDC / Patricia Walker, MD, Regions Hospital, MN; used with permission
See this image in context in the following section/s:

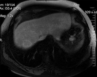
Hepatocellular carcinoma
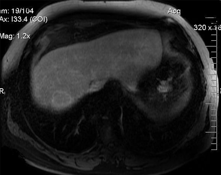
MRI: washout portal phase
From the personal collection of Badar Muneer MD, Florida Hospital Transplant Center, Orlando, FL; used with permission
See this image in context in the following section/s:

Hepatocellular carcinoma
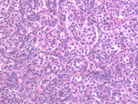
High-power view of hematoxylin and eosin stained section of a well-differentiated HCC. Predominantly a solid pattern of growth with some nesting of malignant cells, separated by compressed sinusoids; some cells have clearing of the cytoplasm
From the personal collection of Badar Muneer MD, Florida Hospital Transplant Center, Orlando, FL; used with permission
See this image in context in the following section/s:
Use of this content is subject to our disclaimer