Images and videos
Images

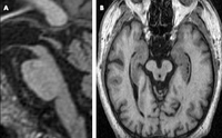
Progressive supranuclear palsy
MRI of the brain in a patient with clinically diagnosed PSP. Image A: sagittal T1-MRI through the brainstem demonstrates atrophy in the midbrain with relative preservation of the pons, giving the appearance of a hummingbird. Image B: on axial T1-weighted imaging, the dorsal midbrain is reduced in volume, giving a “Mickey Mouse” appearance
Schott JM. Practical Neurology 2007; 7: 186-190; used with permission
See this image in context in the following section/s:

Progressive supranuclear palsy
The “round-the-houses” sign, which can often be seen before restriction and slowing of saccades. Note the lateral curvature of downward path of eye movement (yellow arrows)
Rowe JB, et al. Practical Neurology 2021; 21: 376-83; used with permission
See this image in context in the following section/s:
Videos
- Tendency to fall on pull test
Iankova V, et al; Movement Disorder Society-endorsed PSP Study Group. Parkinsonism Relat Disord 2020 Sep;78:200-3; used with permission
- Slow vertical saccades
Iankova V, et al; Movement Disorder Society-endorsed PSP Study Group. Parkinsonism Relat Disord 2020 Sep;78:200-3; used with permission
- Vertical supranuclear gaze palsy with demonstration of doll’s head maneuver
Iankova V, et al; Movement Disorder Society-endorsed PSP Study Group. Parkinsonism Relat Disord 2020 Sep;78:200-3; used with permission
- Macro square wave jerks
Iankova V, et al; Movement Disorder Society-endorsed PSP Study Group. Parkinsonism Relat Disord 2020 Sep;78:200-3; used with permission
- Apraxia of speech
Iankova V, et al; Movement Disorder Society-endorsed PSP Study Group. Parkinsonism Relat Disord 2020 Sep;78:200-3; used with permission
- nfa PPA spontaneous speech
Iankova V, et al; Movement Disorder Society-endorsed PSP Study Group. Parkinsonism Relat Disord 2020 Sep;78:200-3; used with permission
- Eyelid opening apraxia
Iankova V, et al; Movement Disorder Society-endorsed PSP Study Group. Parkinsonism Relat Disord 2020 Sep;78:200-3; used with permission
Use of this content is subject to our disclaimer