Images and videos
Images

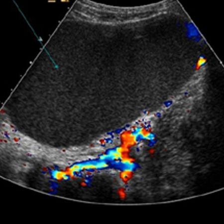
Ovarian cancer
Ovarian cyst with normal Doppler flow
From the collection of Justin C. Chura, MD, Cancer Treatment Centers of America, Philadelphia, PA
See this image in context in the following section/s:

Ovarian cancer
Omentum infiltrated with tumor
From the collection of Justin C. Chura, MD, Cancer Treatment Centers of America, Philadelphia, PA
See this image in context in the following section/s:

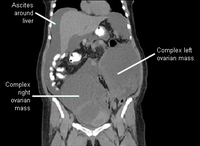
Ovarian cancer
Ovarian masses and ascites on coronal CT
From the collection of Justin C. Chura, MD, Cancer Treatment Centers of America, Philadelphia, PA
See this image in context in the following section/s:

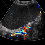
Ovarian cancer
Ovarian cyst with nodules on ultrasound
From the collection of Justin C. Chura, MD, Cancer Treatment Centers of America, Philadelphia, PA
See this image in context in the following section/s:

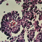
Ovarian cancer
Microscopic view of ovarian cancer
From the collection of Justin C. Chura, MD, Cancer Treatment Centers of America, Philadelphia, PA
See this image in context in the following section/s:
Use of this content is subject to our disclaimer