Images and videos
Images

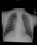
Pulmonary tuberculosis
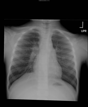
Right hilar adenopathy in a child
From the personal collection of David Horne and Masahiro Narita; used with permission
See this image in context in the following section/s:

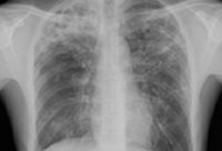
Pulmonary tuberculosis
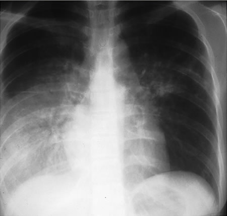
Opacities in right lower lobe in a patient with pulmonary TB and diabetes
From the personal collection of David Horne and Masahiro Narita; used with permission
See this image in context in the following section/s:

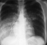
Pulmonary tuberculosis
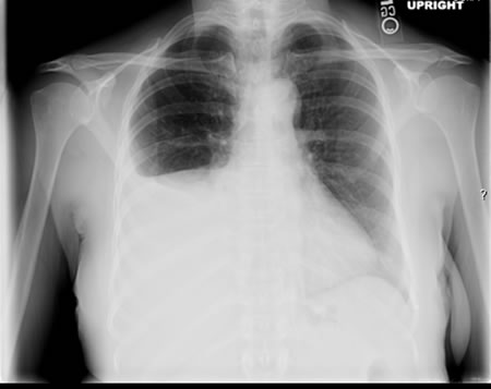
Right-sided pleural effusion
From the personal collection of David Horne and Masahiro Narita; used with permission
See this image in context in the following section/s:

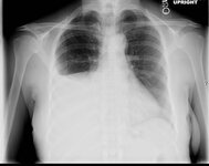
Pulmonary tuberculosis
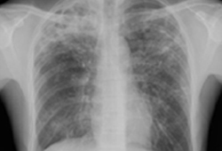
Pulmonary TB with cavitation
From the personal collection of David Horne and Masahiro Narita; used with permission
See this image in context in the following section/s:
Use of this content is subject to our disclaimer