Images and videos
Images

Polycystic ovary syndrome
Simplified diagram of the main pathogenic factors in PCOS. ACTH, adrenocorticotropic hormone; FSH, follicle-stimulating hormone; GnRH, gonadotropin-releasing hormone; LH, luteinizing hormone
From the collection of Dr M.O. Goodarzi; used with permission
See this image in context in the following section/s:

Polycystic ovary syndrome
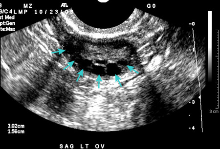
Polycystic ovarian ultrasound
From the collection of Dr M. O. Goodarzi; used with permission
See this image in context in the following section/s:

Polycystic ovary syndrome
Acanthosis nigricans involving the axilla of an obese white woman
From the collection of Melvin Chiu, MD, UCLA; used with permission
See this image in context in the following section/s:
Use of this content is subject to our disclaimer