Images and videos
Images

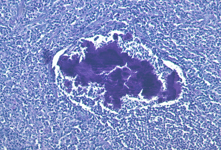
Actinomycosis
Periodic acid-Schiff stain of a mass of actinomycetes in a lymph node
From the collection of Professor Dr Christoph Loddenkemper, Department of Pathology, Charité - University Medicine Berlin, CBF, Berlin, Germany
See this image in context in the following section/s:

Actinomycosis
Example of the clinical picture of a cervicofacial actinomycosis
From the collection of Dr Juergen Ervens, Head, Department of Oral and Plastic Maxillofacial Surgery, Charité - University Medicine Berlin, CBF, Berlin, Germany
See this image in context in the following section/s:
Use of this content is subject to our disclaimer