Differentials
Mitral stenosis
SIGNS / SYMPTOMS
There may be no differences in symptoms and signs.
INVESTIGATIONS
ECG will most frequently reveal left atrial hypertrophy. Echocardiogram will show stenosis of the mitral valve.
Infective endocarditis
SIGNS / SYMPTOMS
Syncope is unusual as a presenting symptom in infective endocarditis. Patients with endocarditis may have a fever, petechiae, splenomegaly, history of drug abuse, previous endocarditis, or prosthetic valves. Otherwise there may be no major differentiating symptoms and signs.
INVESTIGATIONS
Echocardiogram will reveal the valvular vegetation. Blood culture indicates the causative organism.
Atrial thrombus
SIGNS / SYMPTOMS
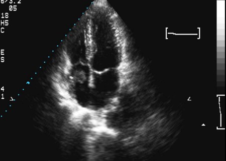
There may be no differences in symptoms and signs. [Figure caption and citation for the preceding image starts]: Two-dimensional echocardiogram of a right atrial thrombus (note: not attached to septum)From the collection of Dr Syed Wamique Yusuf, Department of Cardiology, University of Texas MD Anderson Cancer Center; used with permission [Citation ends].
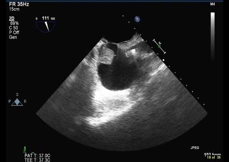
[Figure caption and citation for the preceding image starts]: Transoesophageal echocardiogram showing a catheter in the superior vena cava and a right atrial thrombus (note: not attached to septum)From the collection of Dr Syed Wamique Yusuf, Department of Cardiology, University of Texas MD Anderson Cancer Center; used with permission [Citation ends].
INVESTIGATIONS
Echocardiogram or MRI/CT scan will reveal the thrombus. Echocardiogram will also identify the catheter that is commonly associated with the formation of the thrombus. Rarely a transvenous biopsy may be indicated.
Connective tissue disease
SIGNS / SYMPTOMS
Symptoms of arthralgia and fatigue, and peripheral signs of vasculitis. Syncope and acute heart failure are unusual presenting features.
INVESTIGATIONS
Specific ANAs in the blood may identify the disease process. ECG findings in connective tissue disease are non-specific with no differentiating features.
Other cardiac tumours
SIGNS / SYMPTOMS
There may be no differences in symptoms and signs.
INVESTIGATIONS
Imaging studies (e.g., CT scan and MRI) will reveal cardiac tumour.
Use of this content is subject to our disclaimer