Images and videos
Images

Adolescent idiopathic scoliosis
Scoliometer measurement of a right thoracic prominence
Weinstein SL, et al. Adolescent idiopathic scoliosis. Lancet. 2008;371:1527-1537. Used with permission
See this image in context in the following section/s:

Adolescent idiopathic scoliosis
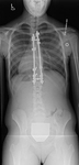
Posteroanterior scoliosis radiograph of a 13-year-old girl with a 49° right thoracic curvature with apex at the T9-T10 disc space
From the collection of Stuart Weinstein, MD, University of Iowa; used with permission
See this image in context in the following section/s:

Adolescent idiopathic scoliosis
Thirteen-year-old girl post-posterior spinal instrumentation and fusion for progressive scoliosis
From the collection of Stuart Weinstein, MD, University of Iowa; used with permission
See this image in context in the following section/s:

Adolescent idiopathic scoliosis
Typical thoracic-lumbar-sacral orthosis (TLSO) scoliosis brace
Weinstein SL, et al. Adolescent idiopathic scoliosis. Lancet. 2008;371:1527-1537. Used with permission
See this image in context in the following section/s:

Adolescent idiopathic scoliosis
Thirteen-year-old girl post-posterior spinal instrumentation and fusion for progressive scoliosis
From the collection of Stuart Weinstein, MD, University of Iowa; used with permission
See this image in context in the following section/s:

Adolescent idiopathic scoliosis
Lateral scoliosis radiograph of a 13-year-old girl with a 49° right thoracic curvature
From the collection of Stuart Weinstein, MD, University of Iowa; used with permission
See this image in context in the following section/s:
Use of this content is subject to our disclaimer