Approach
Your Organisational Guidance
ebpracticenet urges you to prioritise the following organisational guidance:
Aspecifieke nekpijn: diagnose en behandelingPublished by: KCELast published: 2013Douleurs cervicales aspécifiques : diagnostic et traitementPublished by: KCELast published: 2013It is important to detect neck pain caused by significant causes (e.g., primary or metastatic cancer) and neck pain associated with neurological compromise. The diagnostic approach to neck pain has not been as well studied as back pain, but a similar approach is recommended.
Traumatic neck pain: initial evaluation and imaging
The risk for cervical spine injury needs to be assessed in patients presenting acutely with neck pain following trauma. The presenting clinical features and mechanism of injury should be considered when assessing risk for cervical spine injury. High risk criteria include the following:[34][50][51]
Age >65 years
Paraesthesias in extremities
Altered mental status
Multiple fractures
Drowning or diving accident
Significant head or facial injury
"Dangerous mechanism", defined as: a fall from an elevation of 90 cm (3 feet ) or more, or 5 stairs; axial load to the head (e.g., diving); motor vehicle collision at high speed (>100 km/h or >60 mph) or with rollover or ejection; collision involving a motorised recreational vehicle; or a bicycle collision.
Immobilisation of the cervical spine must be maintained in all patients with suspected cervical spine injury until cleared either clinically or radiologically. In trauma patients who have their necks stabilised with a cervical collar, hypotension, tachycardia, and hypoxia are signs of significant trauma and should be assessed thoroughly.
Screening imaging must be done before any neck movement exam (e.g., range of motion). A cervical spine computed tomography (CT) scan is the study of choice for suspected cervical spine injury in the setting of multi-system trauma or with a high-risk mechanism.[34][41][52] Cervical magnetic resonance imaging (MRI) should be ordered in addition to cervical CT scan when ligamentous injury is suspected, or if neurological signs and symptoms referable to the cervical spine are present.[34][52][53] Guidelines advise that cervical spine CT scan alone can be used to exclude cervical spine injuries in obtunded or intubated patients without neurological evidence to the contrary.[54][55][56]
Cervical spine x-rays may be performed in patients rather than CT scan following trauma when the injury is less severe, high risk criteria are not met, and there are no other features making examination findings less reliable (e.g., alcohol intoxication, painful distracting injuries). No further imaging is required in the following cases:[41]
Patients with normal x-rays and no neurological signs or symptoms
Patients with radiological evidence of cervical spondylosis or of previous trauma without neurological signs or symptoms.
Clinical decision rules have been proposed to help physicians working in emergency care settings be more selective about when to use cervical spine radiography to assess alert and stable trauma patients.
Canadian C-spine rule
Applied in less severely injured patients, and may eliminate the need for any radiography. The rule must be properly applied and it does not pertain to a patient over the age of 65.[57] There is insufficient evidence to determine whether it can be used safely in children.[58]
The Canadian C-spine rule comprises 3 sets of questions:
Is there any high-risk factor present that mandates radiography (i.e., age ≥65 years, dangerous mechanism, or paraesthesias in extremities)?
Is there any low-risk factor present that allows safe assessment of range of motion (i.e., simple rear-end motor vehicle collision, sitting position in accident and emergency department, ambulatory at any time since injury, delayed onset of neck pain, or absence of midline C-spine tenderness?
Is the patient able to actively rotate neck 45° to the left and right?
Imaging is indicated for any trauma patient identified by the Canadian C-spine rule as having:
a high-risk factor for cervical spine injury or
a low-risk factor for cervical spine injury, and they are unable to actively rotate their neck 45° to both left and right.
NEXUS criteria
Intended to help physicians identify which patients need cervical spine radiography following blunt trauma. Five criteria must be met in order for the patient to be classified as having a low risk of cervical spine injury, as follows:[59]
No tenderness at the posterior midline of the cervical spine
No focal neurological deficit
Normal level of alertness
No evidence of intoxication
No clinically apparent, painful injury that might distract the patient from the pain of a cervical spine injury.
Evidence from some retrospective studies suggests there is a risk of false-negative results when using the NEXUS criteria alone in children.[58] Further evidence is needed to determine whether it is an appropriate tool for the clearance of cervical spine following blunt trauma in paediatric trauma care.
Non-traumatic neck pain: clinical features of concern
The presentation of a patient with neck pain with no history of trauma can vary considerably, and the pain may be acute or chronic in nature. It is important to be aware of features that increase the risk of a more ominous cause.
Fever in a patient with new neck pain
In these patients, neck pain should be assumed to be secondary to an infection until proven otherwise.
Patients with an infectious cause may be hypotensive or tachycardic.
There may be a history of recent infection (especially skin or urinary tract), immune compromise, or intervention associated with infection, such as surgery, trauma, or intravenous (IV) drug use.
Cervical osteomyelitis and cervical epidural abscesses arise from haematogenous spread in most cases. About one third of cases of cervical epidural abscesses arise from contiguous spread from the skin.[24] The most common symptoms are pain, fever, and neurological compromise.
Patients with meningitis may also have nuchal rigidity.
A history of, or symptoms suggestive of, cancer
In a patient with a history of cancer, the aetiology of neck pain should be assumed to be from cancer until this is ruled out.
Cancers that may cause neck pain include pharyngeal cancer and those that are more likely to metastasise to the cervical spine, such as thyroid cancer.
Tumour-related neck pain is more commonly unrelenting pain that is often worse at night (this symptom is unusual in most other causes of neck pain).[23]
Other signs and symptoms of cancer include unexplained weight loss, fatigue, or an unusual lump or swelling.
Neurological symptoms or deficits
Investigations should be expedited in patients presenting with pain radiating from the neck into the arm, numbness in the arms, weakness, loss of coordination, changes in gait, and change in bowel or bladder function. All are indicative of possible neurological compromise.
Symptoms suggestive of stroke or transient ischaemic attack could indicate cervical artery dissection.
Ipsilateral headache, eye pain, Horner’s syndrome, cranial nerve palsies, hemiplegia, hemisensory loss, neglect, and homonymous hemianopia can occur in carotid artery dissection, while vertigo, ataxia, dysarthria, and headache can occur in cases of vertebral artery dissection.[32]
Non-traumatic neck pain: further history
Occupational history should be considered. Neck pain is prevalent among workers in the construction industry and in the agricultural sector.[60][61][62][63][64] Office workers and computer users are also at risk for neck pain.[65][66][67]
A history of mental stress, perceived inadequacy, and previous injury has been found to be associated with neck pain. Psychological and psychosocial factors, such as anxiety, catastrophising, hypervigilance, and limited health literacy, may be important in predicting those who will go on to develop chronic neck pain.[9][68] These factors may also lead to decreased compliance with exercise secondary to concern over injury or worsening the injury.[69][70] A previous history of injury, such as whiplash injury, may predispose to cervical facet syndrome.[71]
Patients with neck pain secondary to rheumatoid arthritis have often had the diagnosis of rheumatoid arthritis for several years by the time cervical spine involvement presents.[72] Neck pain typically radiates upward to the head.
Non-traumatic neck pain: physical exam
Neck examination:
Includes assessment of outward appearance, palpation for tenderness, and assessment of range of motion (ROM).[Figure caption and citation for the preceding image starts]: Patient with severe left torticollis (note hypertrophy of right sternocleidomastoid muscle)From the personal collection of David B. Sommer, MD, MPH [Citation ends].

In general, abnormal appearance, abnormal ROM, and a tender cervical spine are non-specific and indicate only that there is cervical spine disease, not a specific cause.
Apart from other systemic signs, patients with meningitis may have nuchal rigidity.[26][35] This is demonstrated by the inability of the patient to touch his/her chin to the chest with passive or active flexion of the neck. Kernig's sign (painful/resisted extension of leg bent at hip and knee) and Brudzinski's sign (reflective flexion of the knees when patient is on his/her back and the neck is bent forwards) are tests used to demonstrate nuchal rigidity. The sensitivity and negative predictive value of Kernig's and Brudzinski's sign is low in the diagnosis of meningitis.[27]
Examination of the upper extremities:
Outward appearance is generally normal, although there may be loss of muscle bulk in patients with myelopathy.
Neurological exam:
Includes careful evaluation for evidence of any:
decrease in sensation or strength, or abnormal reflexes, in the upper extremities
increased tone or spasticity, and abnormal reflexes, in the lower extremities.
Abnormal reflex responses include:
hyperreflexia or positive Babinski sign (hallux dorsiflexes with other toes fanning out)
positive Hoffman’s sign (involuntary flexion and adduction of the thumb and flexion of the index finger when the nail of the middle finger is flicked downwards), or
positive clonus (a rhythmic, oscillating, stretch reflex in response to rapid dorsiflexion of the ankle).
The hallmark clinical manifestations of cervical radiculopathies are pain, sensory loss, and motor weakness in the distribution of the affected nerve root.[73] The most commonly affected nerve roots are C7 (50% to 70%), C6 (>20%), C8 (10%), and C5 (2% to 10%).[73]
Patients with rheumatoid arthritis may present with uncomplicated neck pain, which may progress to myelopathy due to cervical spine subluxation. Painless sensory loss in the hands and feet may be present. With cervical subluxation, there may be extremity weakness or spasticity. Deep tendon reflexes are also increased.
Assess for hemiplegia, hemisensory loss, cranial nerve palsies, visual field defects, and cerebellar dysfunction if cervical artery dissection is suspected.
Skin inspection:
Central nervous system (CNS) infections (e.g., due to Neisseria meningitidis) can cause skin manifestations, such as petechiae and palpable purpura.
A papulovesicular rash in a dermatomal distribution indicates herpes zoster infection.[Figure caption and citation for the preceding image starts]: Zostiform vesicular eruption within the D8 dermatome on the leftBMJ Case Reports 2009; doi:10.1136/bcr.2006.114116. Copyright © 2011 by the BMJ Publishing Group Ltd [Citation ends].

Provocative tests
Spurling, shoulder abduction, and upper limb tension tests may be performed to test for cervical radiculopathy.[74] These tests should not be performed in patients with rheumatoid arthritis, cancer, infection, or possible neck injury.
To perform the Spurling manoeuvres, while sitting, the patient's neck is slightly flexed to the side of pain and downward pressure is applied to the top of the head. The test is positive if pain radiates into the limb on the side that the head is rotated to. A positive test is highly suggestive of cervical radiculopathy.[75] The test has low sensitivity (30%) using electrodiagnostic studies as reference, but high specificity (93%).[75]
Non-traumatic neck pain: laboratory investigations
There is no evidence that routine laboratory testing is helpful in the assessment of neck pain. However, the following tests are indicated if there is suspicion of serious aetiology, such as infection, malignancy, or inflammatory arthritis:
Erythrocyte sedimentation rate
C-reactive protein
Full blood count (where infection is suspected).
If there is a concern for meningitis or encephalitis
Lumbar puncture should be performed, and the following cerebrospinal fluid investigations requested:[26]
Glucose
Protein
Microscopy for bacteria (Gram stain) and culture
Cell count
Polymerase chain reaction for relevant pathogens.
Fungal and viral cultures can be ordered if the patient is immunocompromised and there is concern for these infections. Acid-fast bacilli stain and smear is ordered if there is any history of tuberculosis exposure or if the patient is purified protein derivative positive.[76]
If there is concern for cervical spine infection
Blood cultures should be drawn upon presentation if a patient is febrile and is suspected of having a cervical spine infection.
If vertebral osteomyelitis is suspected, and a microbiological diagnosis for a known associated organism has not been established by blood cultures or serological tests, a biopsy of the vertebra(e) thought to be infected should be sent for Gram stain and cultures with sensitivity.[77]
Non-traumatic neck pain: imaging
Cervical spine x-ray
Indicated in patients aged >50 years with new neck pain, or constitutional symptoms such as signs of infection. In cases of infection such as discitis, endplate destruction at the level of infection may be seen.[1] However, a negative cervical spine x-ray in a patient with fever is not sensitive enough to rule out infection; an MRI should be considered in those patients.[37]
The recommended imaging of the cervical spine is an x-ray with anterior-posterior, lateral, and open mouth views. Flexion/extension radiographs have limited value in degenerative disease.[78]
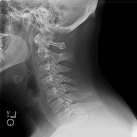
Cervical spondylosis (osteoarthritis of the spine, which includes the spontaneous degeneration of either disc or facet joints) is an almost universal finding with increasing age.[15] Only a subset of patients present with axial neck pain; many patients are asymptomatic.[16][17][Figure caption and citation for the preceding image starts]: Normal lateral cervical spine x-rayWith permission of the University of Colorado Department of Radiology [Citation ends].

[Figure caption and citation for the preceding image starts]: C3-4 discitis with endplate destructionWith permission of the University of Colorado Department of Radiology [Citation ends].
[Figure caption and citation for the preceding image starts]: Bilateral facet dislocationWith permission of the University of Colorado Department of Radiology [Citation ends].
Cranial CT imaging
Indicated in patients with suspected bacterial meningitis when it is associated with one or more of the following: immunocompromised state, history of CNS disease, new onset seizure, papilloedema, abnormal level of consciousness, or focal neurological deficit.[27][36]
Cervical spine MRI
Definitive test to evaluate patients for cervical radiculopathy or cervical myelopathy.[42][79]
Should be ordered if the patient with neck pain has neurological signs and symptoms of cord compression (cervical myelopathy), progressive neurological dysfunction (especially weakness) and lack of response to conservative therapy.[40] MRI is not indicated as first-line imaging for patients with chronic, uncomplicated neck pain.[42]
MRI is the imaging study of choice for patients with suspected local infection.[37] It is the recommended examination when there is evidence of bone or disc margin destruction. If an epidural abscess is suspected, MRI should be performed without and with IV contrast.[37] The use of an IV contrast agent not only increases lesion conspicuity, but also helps to define the extent of the infectious process.[37][80]
Cervical spine MRI should be used to evaluate neck pain in patients with a history of cancer.[42]
Cervical MRI should document encroachment of the cervical root(s) suspected by history and physical examination.
Anatomical abnormalities such as disc protrusion (herniation/bulge) have been reported in 57% of patients (aged >64 years) with asymptomatic degenerative disk disease.[81][Figure caption and citation for the preceding image starts]: MRI cervical spine. Axial three-dimensional cosmic at C5/C6 with anterior indentation of the thecal sacBMJ Case Reports 2009; doi:10.1136/bcr.07.2008.0573. Copyright © 2011 by the BMJ Publishing Group Ltd [Citation ends].
[Figure caption and citation for the preceding image starts]: MRI cervical spine. Sagittal T1, SE with a central disc at C5/C6 indenting the thecal sacBMJ Case Reports 2009; doi:10.1136/bcr.07.2008.0573. Copyright © 2011 by the BMJ Publishing Group Ltd [Citation ends].
Cervical spine CT scan and CT myelography
CT imaging may be indicated if MRI cannot be performed.[42]
CT myelography is used to visualise neurological encroachment, as with MRI. It requires invasive placement of radiological contrast into the epidural space and the use of radiation (and is therefore only recommended when cervical MRI is contraindicated).
Bone scan
Patients with new neck pain and a history of cancer, no matter how remote, should be evaluated for recurrence of their cancer with a bone scan to look for metastatic disease.[82]
Cervical facet injection and arthrography
Evidence to support use of cervical facet/medial branch nerve blocks to identify the origin of a patient’s pain is inconsistent.[83] Image-guided medial branch nerve blocks may, however, be the most efficacious way of isolating a specific facet joint as the origin of pain.
When selecting targets for blocks, levels should be determined based on clinical presentation (tenderness on palpation, preferably performed under fluoroscopy, and pain referral patterns).[83]
History and physical examination cannot reliably identify painful atlanto-occipital and atlantoaxial joints, but can guide injection decisions.[83]
Use of a single diagnostic block is recommended.[83] Dual blocks increase false-negative diagnoses (but can reduce the rate of false-positive diagnoses and enhance radiofrequency treatment success rates).[83][84]
Cervical discography
Not recommended for assessment of acute or chronic neck pain.[42]
CT angiography (CTA) and MR angiography (MRA)
Can identify cervical artery dissections.[29][46] The sensitivity and specificity of CTA is similar to digital subtraction angiography (the historical gold standard for diagnosis of cervical artery dissection).[29]
CTA involves the administration of IV contrast. CTA is better than MRA in identifying pseudo-aneurysms, intimal flaps, and high-grade stenosis. MRA may perform better in identifying small intramural haematomas.[29][85]
American Heart Association guidelines advise that either CTA or MRA can be used to evaluate patients with suspected extracranial carotid and vertebral artery disease.[29][86]
Use of this content is subject to our disclaimer