Images and videos
Images

Mononeuritis multiplex
Borderline tuberculoid leprosy showing depigmented anesthetic skin patches
From the personal collection of Professor Ashok Verma; used with permission
See this image in context in the following section/s:

Mononeuritis multiplex
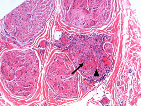
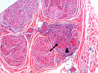
Medium-size artery and arterioles in epi- perineurium of sural nerve showing transmural dense mixed cell infiltrates, fibrinoid necrosis and luminal occlusion (arrow) in a case of polyarteritis nodosa. Note that the muscularis layer is interrupted and destroyed by the inflammatory infiltrate (arrowhead). Paraffin section; Hematoxylin and Eosin
From the personal collection of Professor Sakir Humayun Gultekin, MD, FCAP; used with permission
See this image in context in the following section/s:
Use of this content is subject to our disclaimer