Images and videos
Images

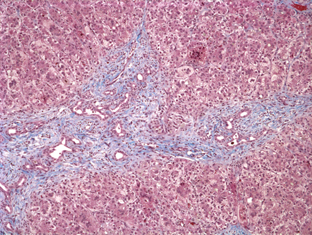
Biliary atresia
Liver biopsy specimen at the time of diagnosis reveals extensive fibrosis with bile duct and ductular proliferation and bile plugs
Pathology Department at The Children’s Hospital of Philadelphia
See this image in context in the following section/s:
Use of this content is subject to our disclaimer