Images and videos
Images

Assessment of pleuritis
Schematic showing a summary of the diagnostic approach (CXR=chest x-ray, PE-pulmonary embolism, ECG=electrocardiogram)
Courtesy of Dr Ami Rubinowitz; used with permission. Updated November 2023 by BMJ Best Practice Editorial Team
See this image in context in the following section/s:

Assessment of pleuritis
Modified Wells criteria (score ≤4: PE unlikely; score >4: PE likely)
From Wells PS, Anderson DR, Rodger M, et al. Thromb Haemost. 2000;83:416. Used with permission
See this image in context in the following section/s:

Assessment of pleuritis
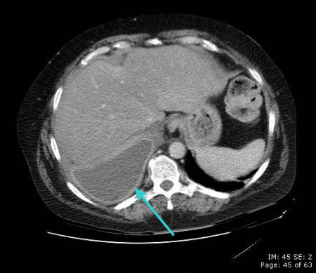
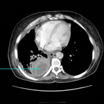
CT scan showing loculated pleural effusion
From the collection of Dr Ami Rubinowitz; used with permission
See this image in context in the following section/s:

Assessment of pleuritis
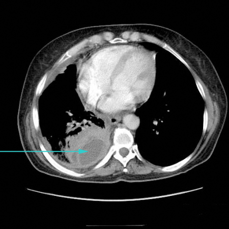
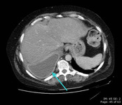
CT scan showing metastatic malignancy of pleura
From the collection of Dr Ami Rubinowitz; used with permission
See this image in context in the following section/s:

Assessment of pleuritis
Thoracic ultrasound image of large, simple pleural effusion
From the collection of Dr Nicholas Maskell; used with permission
See this image in context in the following section/s:

Assessment of pleuritis
Large left pneumothorax with visible pleural line and absence of lung markings beyond the line
From the collection of Dr Ami Rubinowitz; used with permission
See this image in context in the following section/s:

Assessment of pleuritis
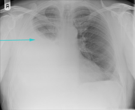
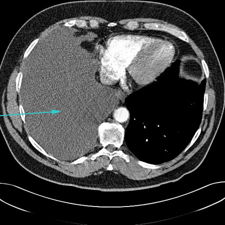
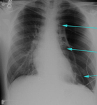
CXR showing large right pleural effusion
From the collection of Dr Kathryn Bateman; used with permission
See this image in context in the following section/s:

Assessment of pleuritis
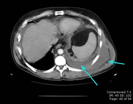
CT scan showing large right pleural effusion
From the collection of Dr Nicholas Maskell; used with permission
See this image in context in the following section/s:

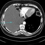
Assessment of pleuritis
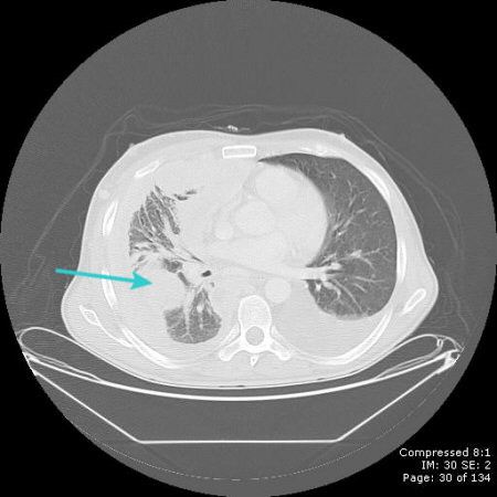
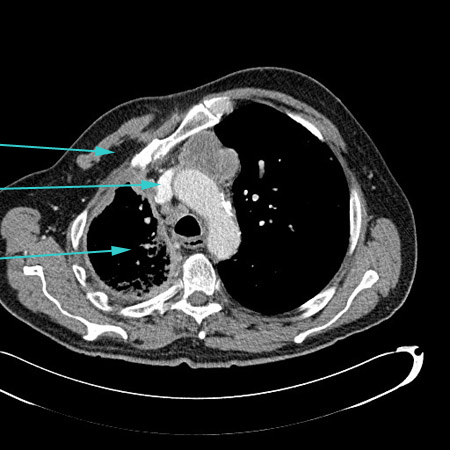
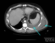
CT scan of chest showing empyema necessitans (long arrow), a chronic untreated empyema that has eroded through the thoracic cage and formed a subcutaneous abscess (short arrow)
From the collection of Dr Ami Rubinowitz; used with permission
See this image in context in the following section/s:

Assessment of pleuritis
CT scan showing circumferential right-sided pleural thickening with significant volume loss due to mesothelioma
From the collection of Dr Nicholas Maskell; used with permission
See this image in context in the following section/s:

Assessment of pleuritis
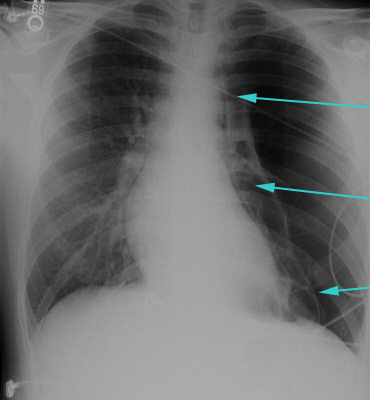
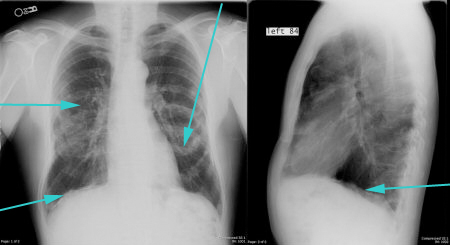
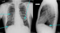
PA and lateral CXR showing calcified pleural plaques
From the collection of Dr Ami Rubinowitz; used with permission
See this image in context in the following section/s:

Assessment of pleuritis
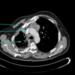
CT scan showing empyema with split pleura sign (enhancement of the thickened inner visceral and outer parietal pleura separated by a collection of pleural fluid)
From the collection of Dr Ami Rubinowitz; used with permission
See this image in context in the following section/s:
Videos
- Needle decompression of tension pneumothorax animated demonstration
How to decompress a tension pneumothorax. Demonstrates insertion of a large-bore intravenous cannula into the fourth intercostal space in an adult.
- Insertion of intercostal drain, open technique: animated demonstration
How to insert an intercostal (chest) drain using the open technique. Video demonstrates: tube selection, how to identify the site for drain insertion, how to make the correct incision, how to insert the intercostal drain, how to secure the drain, and post-procedure care.
- Insertion of intercostal drain, Seldinger technique: animated demonstration
How to insert an intercostal (chest) drain using the Seldinger technique. Video demonstrates: how to identify a safe site for insertion; use of an introducer needle, guidewire, dilators, and intercostal drain; how to confirm drain position; and post-procedure care.
Use of this content is subject to our disclaimer