Images and videos
Images

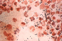
Assessment of proctitis
Gram stained photomicrograph of rectal smear revealing the presence of Gram-negative Neisseria gonorrhoeae
CDC/ Joe Miller
See this image in context in the following section/s:

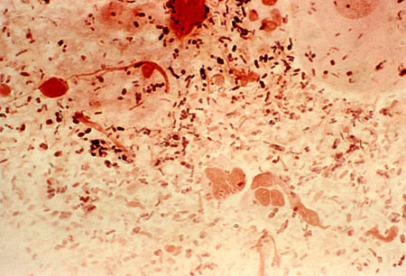
Assessment of proctitis
Gram stained micrograph of rectal smear revealing the presence of Gram-negative Neisseria gonorrhoeae diplococci
CDC/ Joe Miller
See this image in context in the following section/s:

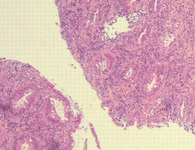
Assessment of proctitis
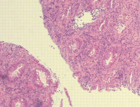
Rectal mucosa showing non-specific active chronic proctitis in a patient with lymphogranuloma venereum (due to Chlamydia trachomatis)
Laverse E, Jaleel H, Evans D, et al. Sexual history: its importance in averting detrimental misdiagnosis and delayed diagnosis. BMJ Case Reports. 2009; doi: 10.1136/bcr.04.2009.1773
See this image in context in the following section/s:
Use of this content is subject to our disclaimer