Images and videos
Images

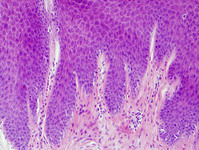
Lichen simplex chronicus
Secondary lichen simplex chronicus in the setting of atopic dermatitis
From the personal collection of Dr Brian L. Swick; used with permission
See this image in context in the following section/s:

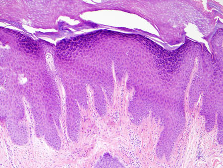
Lichen simplex chronicus
Medium-power photomicrograph of lichen simplex chronicus (haematoxylin-eosin stain, x100)
From the personal collection of Dr Brian L. Swick; used with permission
See this image in context in the following section/s:

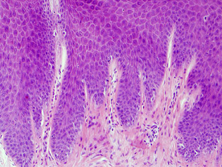
Lichen simplex chronicus
High-power photomicrograph of lichen simplex chronicus (haematoxylin-eosin stain, x200)
From the personal collection of Dr Brian L. Swick; used with permission
See this image in context in the following section/s:

Lichen simplex chronicus
Secondary lichen simplex chronicus in the setting of atopic dermatitis
From the personal collection of Dr Brian L. Swick; used with permission
See this image in context in the following section/s:

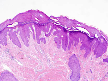
Lichen simplex chronicus
Low-power photomicrograph of lichen simplex chronicus (haematoxylin-eosin stain, x40)
From the personal collection of Dr Brian L. Swick; used with permission
See this image in context in the following section/s:
Use of this content is subject to our disclaimer