Images and videos
Images

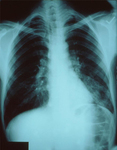
Chlamydia pneumoniae infection
AP CXR showing pneumonia of the left lower lobe with early consolidation, the aetiology of which was unknown.
CDC/ Dr Thomas Hooten; used with permission
See this image in context in the following section/s:
Use of this content is subject to our disclaimer