Images and videos
Images

Anthrax
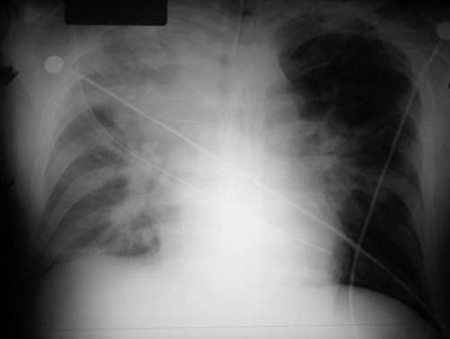
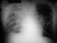
Chest x-ray findings of inhalation anthrax
Borio et al. JAMA. 2001;286:2554-2559
See this image in context in the following section/s:

Anthrax
Gram stain of blood in culture media. Gram-positive bacilli in chains at 20x magnification (panel A) and 100x magnification (panel B)
Borio et al. JAMA. 2001;286:2554-2559
See this image in context in the following section/s:

Anthrax
Mild cutaneous anthrax
www.cdc.gov
See this image in context in the following section/s:

Anthrax
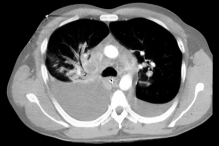
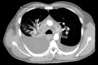
Chest CT reveals perihilar lymphadenopathy, perihilar infiltrates, and a widened mediastinum
Borio et al. JAMA. 2001;286:2554-2559
See this image in context in the following section/s:
Use of this content is subject to our disclaimer