Images and videos
Images

Urethritis
Collection of a specimen from a male suspected of having gonorrhoea: the urethra is stripped towards the orifice to express some pus; a thin sterile swab is then inserted into the urethra and rotated before being withdrawn
CDC Image Library / Renelle Woodall
See this image in context in the following section/s:

Urethritis
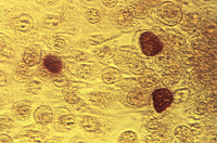
McCoy cell monolayers with Chlamydia trachomatis inclusion bodies
Adapted from Public Health Image Library, CDC (Arum E and Jacobs N, 1975)
See this image in context in the following section/s:

Urethritis
Circinate balanitis secondary to reactive arthritis
Adapted from Public Health Image Library, CDC (Wiesner PJ, Kaufman RE, 1973)
See this image in context in the following section/s:

Urethritis
Gonorrhoea with penile meatal discharge
CDC Image Library / Susan Lindsley
See this image in context in the following section/s:

Urethritis
Gonorrhoea with cervicitis and vaginal discharge
CDC Image Library
See this image in context in the following section/s:

Urethritis
Gram stain of urethral exudate showing gram-negative diplococci and polymorphonuclear leukocytes
Adapted from Public Health Image Library, CDC (Jacobs N, 1974)
See this image in context in the following section/s:

Urethritis
A case of gonorrhoeal conjunctivitis that resulted in partial blindness owing to the spread of N gonorrhoeae bacteria
CDC Image Library
See this image in context in the following section/s:
Use of this content is subject to our disclaimer