Images and videos
Images

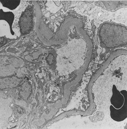
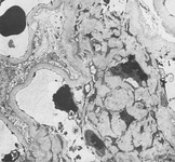
Diabetic kidney disease
Diabetic kidney disease: mesangial expansion is usually recognised when it has exceeded 1.5 times the normal mesangial matrix
From the collection of Dr Raoul Fresco; used with permission
See this image in context in the following section/s:

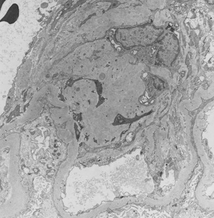
Diabetic kidney disease
Diabetic kidney disease: at 12 o'clock - early Kimmelstiel-Wilson nodule, a rounded form of mesangial expansion
From the collection of Dr Raoul Fresco; used with permission
See this image in context in the following section/s:

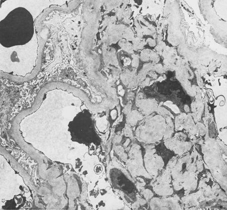
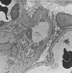
Diabetic kidney disease
Diabetic kidney disease: at 5 o'clock - early Kimmelstiel-Wilson nodule, a rounded increase in mesangial matrix that probably originated in relation to a microaneurysm
From the collection of Dr Raoul Fresco; used with permission
See this image in context in the following section/s:

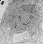
Diabetic kidney disease
Diabetic kidney disease: mesangial expansion due to increased mesangial matrix and decreased degradation of glycosylated collagen
From the collection of Dr Raoul Fresco; used with permission
See this image in context in the following section/s:
Use of this content is subject to our disclaimer