Images and videos
Images

Acute pharyngitis
Scarlatiniform rash on the forearm due to group A Streptococcus bacteria
Courtesy of the CDC Public Health Image Library
See this image in context in the following section/s:

Acute pharyngitis
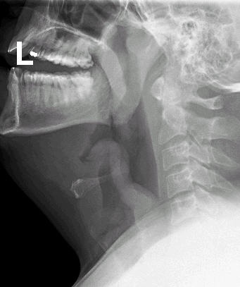
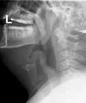
Lateral neck film demonstrating epiglottitis
From Dr Petri's personal collection; used with permission
See this image in context in the following section/s:

Acute pharyngitis
Intraoral view of a patient with group A Streptococcus pharyngitis
CDC/Heinz F. Eichenwald, MD; public domain
See this image in context in the following section/s:

Acute pharyngitis
Typical pseudomembrane of diphtheria pharyngitis
Copyright Department of Paediatrics and Adolescent Medicine, Princess Margaret Hospital, Hong Kong; used with permission
See this image in context in the following section/s:
Use of this content is subject to our disclaimer