Images and videos
Images

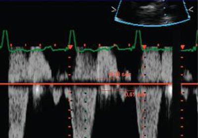
Pulmonary regurgitation
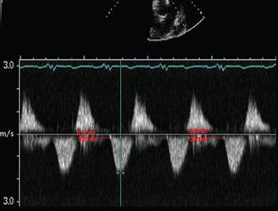
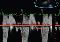
Doppler in a patient with pulmonary regurgitation following repair of tetralogy of Fallot. The patient has a restrictive right ventricle, and Doppler shows evidence of restriction with an antegrade ‘A’ wave in the pulmonary artery
From: Chaturvedi RR, Redington AN. Heart. 2007 Jul;93(7):880-9; used with permission
See this image in context in the following section/s:

Pulmonary regurgitation
Short axis echocardiographic view in a patient with pulmonary regurgitation following repair of tetralogy of Fallot. The patient has a restrictive right ventricle, and short axis echocardiographic view reveals a small right ventricle
From: Chaturvedi RR, Redington AN. Heart. 2007 Jul;93(7):880-9; used with permission
See this image in context in the following section/s:

Pulmonary regurgitation
Doppler echocardiogram in a patient with pulmonary regurgitation following repair of tetralogy of Fallot, revealing a non-obstructed right ventricular outflow tract. The patient has a non-restrictive right ventricle
From: Chaturvedi RR, Redington AN. Heart. 2007 Jul;93(7):880-9; used with permission
See this image in context in the following section/s:

Pulmonary regurgitation
Magnetic resonance imaging (MRI) in a patient with pulmonary regurgitation following repair of tetralogy of Fallot. The patient has a restrictive right ventricle, and MRI shows decreased right ventricular volume
From: Chaturvedi RR, Redington AN. Heart. 2007 Jul;93(7):880-9; used with permission
See this image in context in the following section/s:

Pulmonary regurgitation
Doppler echocardiogram in a patient with pulmonary regurgitation following repair of tetralogy of Fallot, revealing a non-obstructed right ventricular outflow tract. The patient has a restrictive right ventricle
From: Chaturvedi RR, Redington AN. Heart. 2007 Jul;93(7):880-9; used with permission
See this image in context in the following section/s:

Pulmonary regurgitation
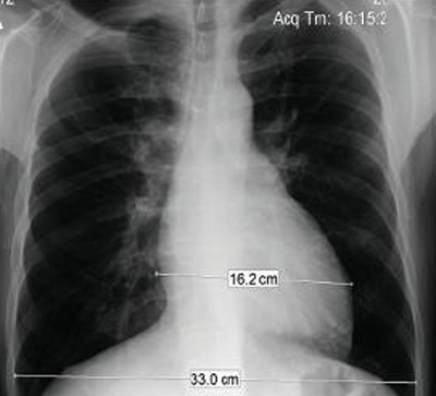
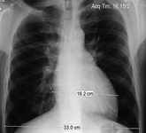
Chest x-ray in a patient with pulmonary regurgitation following repair of tetralogy of Fallot. The patient has a non-restrictive right ventricle and the heart is large
From: Chaturvedi RR, Redington AN. Heart. 2007 Jul;93(7):880-9; used with permission
See this image in context in the following section/s:

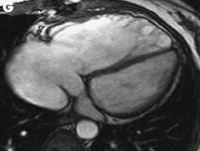
Pulmonary regurgitation
Magnetic resonance imaging (MRI) in a patient with pulmonary regurgitation following repair of tetralogy of Fallot. The patient has a non-restrictive right ventricle, and MRI shows that the right ventricle is dilated
From: Chaturvedi RR, Redington AN. Heart. 2007 Jul;93(7):880-9; used with permission
See this image in context in the following section/s:

Pulmonary regurgitation
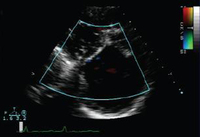
Short axis echocardiographic view in a patient with pulmonary regurgitation following repair of tetralogy of Fallot. The patient has a restrictive right ventricle, and short axis echocardiographic view reveals that the right ventricle is large
From: Chaturvedi RR, Redington AN. Heart. 2007 Jul;93(7):880-9; used with permission
See this image in context in the following section/s:

Pulmonary regurgitation
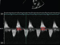
Doppler in a patient with pulmonary regurgitation following repair of tetralogy of Fallot. The patient has a non-restrictive right ventricle, and an ‘‘A’’ wave is not seen in the pulmonary artery Doppler spectrum
From: Chaturvedi RR, Redington AN. Heart. 2007 Jul;93(7):880-9; used with permission
See this image in context in the following section/s:

Pulmonary regurgitation
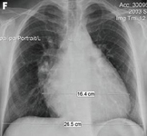
Chest x-ray in a patient with pulmonary regurgitation following repair of tetralogy of Fallot. The patient has a restrictive right ventricle and the heart is small
From: Chaturvedi RR, Redington AN. Heart. 2007 Jul;93(7):880-9; used with permission
See this image in context in the following section/s:
Videos
- Pulmonary regurgitation
Auscultation sounds: pulmonary regurgitation
Use of this content is subject to our disclaimer