Images and videos
Images

Tricuspid regurgitation
Severe tricuspid regurgitation due to carcinoid valvular disease. A. Systolic frame from mid-oesophageal 4 chamber view. Note thickened tricuspid leaflets, but also retracted and thickened chordae, typical of advanced carcinoid valvular disease (arrows). The right ventricle and right atrium are enlarged. The atrial septum is deviated to the left, demonstrating right atrial pressure is higher than left atrial pressure (asterisk). B. Colour Doppler demonstrating severe tricuspid regurgitation. Vena contracta measured 1.2 cm, consistent with the coaptation gap on 2D images and virtually free flow between the right ventricle and right atrium.
From the collection of Sorin V. Pislaru, Mayo Clinic
See this image in context in the following section/s:

Tricuspid regurgitation
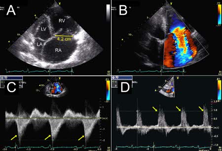
Severe tricuspid regurgitation due to annular enlargement. A. Systolic frame from apical 4 chamber view (Mayo Clinic display format with right ventricle on the right). Note tricuspid annular enlargement measuring 4.2 cm and tethering of the tricuspid leaflets leading to failure of coaptation of the tricuspid valve. B. Massive tricuspid regurgitation on Colour Doppler. C. Continuous Wave Doppler through the tricuspid valve. Note the dagger-shaped tricuspid regurgitant signal (arrows), consistent with rapid equalisation of pressures between right ventricle and right atrium, typical of massive tricuspid regurgitation. D. Pulsed Wave Doppler of the hepatic veins demonstrates late systolic flow reversals consistent with severe tricuspid regurgitation.
From the collection of Sorin V. Pislaru, Mayo Clinic
See this image in context in the following section/s:

Tricuspid regurgitation
Severe tricuspid regurgitation due to annular enlargement. A. Systolic frame from apical 4 chamber view (Mayo Clinic display format with right ventricle on the right). Note tricuspid annular enlargement measuring 4.2 cm and tethering of the tricuspid leaflets leading to failure of coaptation of the tricuspid valve. B. Massive tricuspid regurgitation on Colour Doppler. C. Continuous Wave Doppler through the tricuspid valve. Note the dagger-shaped tricuspid regurgitant signal (arrows), consistent with rapid equalisation of pressures between right ventricle and right atrium, typical of massive tricuspid regurgitation. D. Pulsed Wave Doppler of the hepatic veins demonstrates late systolic flow reversals consistent with severe tricuspid regurgitation.
From the collection of Sorin V. Pislaru, Mayo Clinic
See this image in context in the following section/s:

Tricuspid regurgitation
Two patients referred for severe tricuspid regurgitation after pacemaker implantation. A, C. Apical 4 chamber views (Mayo Clinic display format with right ventricle on the right) showing impingement of tricuspid leaflets by pacemaker leads (arrows). Note presence of two right ventricular leads in the first patient (panel A; one active, one abandoned lead). B, D. Corresponding Colour Doppler images demonstrating severe tricuspid regurgitation due to lead impingement.
From the collection of Sorin V. Pislaru, Mayo Clinic
See this image in context in the following section/s:

Tricuspid regurgitation
Tricuspid valve entrapped with a pacemaker lead
From the collection of Dr Thoraf M. Sundt III
See this image in context in the following section/s:
Videos
- Tricuspid regurgitation
Auscultation sounds: tricuspid regurgitation
Use of this content is subject to our disclaimer