Images and videos
Images

Assessment of pericardial effusion
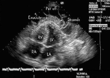
Apical 4-chamber view of a 2-dimensional echocardiogram of a patient with tuberculous pericardial effusion; LA = left atrium, LV = left ventricle, Per eff = pericardial effusion; RA = right atrium, RV = right ventricle
From: George S, Salama AL, Uthaman B, et al. Heart. 2004; 90:1338-1339
See this image in context in the following section/s:

Assessment of pericardial effusion
ECG in acute pericarditis. Nearly ubiquitous ST segment elevation corresponding to ST depression in aVR (lead augmented vector right). Height of ST elevation is about 25% of height of T waves peak in V5–V6. Most PR segments are slightly depressed with respect to the T-P baseline (atrial current of injury).
Imazio M. Pericardial involvement in systemic inflammatory diseases. Heart 2011;97:1882-92.
See this image in context in the following section/s:

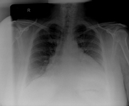
Assessment of pericardial effusion
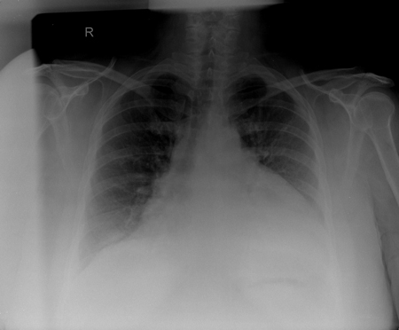
CXR in a patient with a pericardial effusion showing typical findings of a water-bottle-shaped cardiac silhouette with a distinct, fat, pericardial fat stripe
From the collection of Dr Rajdeep Khattar
See this image in context in the following section/s:

Assessment of pericardial effusion
Diagram showing the anatomy of the pericardium.
Marchand P. Thorax. 1951;6:359-368
See this image in context in the following section/s:

Assessment of pericardial effusion
Auscultation of the pericardium: to elicit pericardial rubs the patient is invited to lean forward (A) or rest on elbows and knees (B). Both physical manoeuvres aim to increase the contact of visceral and parietal pericardium.
Imazio M. Pericardial involvement in systemic inflammatory diseases. Heart 2011;97:1882-92.
See this image in context in the following section/s:

Assessment of pericardial effusion
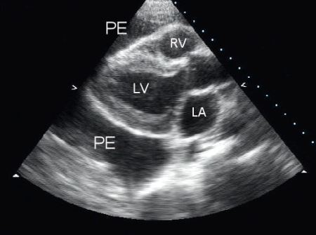
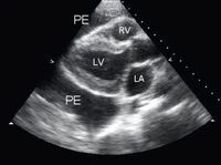
Parasternal long-axis view of a pericardial effusion (PE); LA = left atrium, LV = left ventricle, RV = right ventricle
From the collection of Dr Rajdeep Khattar
See this image in context in the following section/s:
Use of this content is subject to our disclaimer