Images and videos
Images

Hypertrophic cardiomyopathy
ECG showing changes associated with LVH
From the collection of Melanie Everitt MD, Heart Failure & Transplantation Program, Primary Children's Medical Center, Salt Lake City, UT; used with permission
See this image in context in the following section/s:

Hypertrophic cardiomyopathy
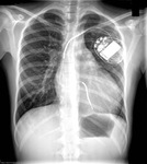
CXR of a patient with HCM demonstrating cardiomegaly
From the collection of Melanie Everitt MD, Heart Failure & Transplantation Program, Primary Children's Medical Center, Salt Lake City, UT; used with permission
See this image in context in the following section/s:

Hypertrophic cardiomyopathy
Apical 4-chamber image demonstrating hypertrophy of the interventricular septum
From the collection of Dr Anji T. Yetman MD, University of Utah; used with permission
See this image in context in the following section/s:

Hypertrophic cardiomyopathy
Giant T-wave inversion
From the collection of Dr Anji T. Yetman MD, University of Utah
See this image in context in the following section/s:

Hypertrophic cardiomyopathy
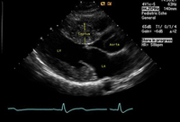
Long axis echocardiography view - asymmetrical septal hypertrophy
From the collection of Dr Anji T. Yetman MD, University of Utah; used with permission
See this image in context in the following section/s:
Videos
- Fourth heart sound gallop
Auscultation sounds: Fourth heart sound gallop
Use of this content is subject to our disclaimer