Images and videos
Images

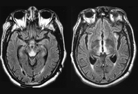
Wernicke's encephalopathy
Fluid attenuated inversion recovery (FLAIR) MRI brain of patient with Wernicke's encephalopathy
Ramulu P, Moghekar A, Chaudhry V, et al. Wernicke's encephalopathy, Neurology 2002;59:846; used with permission
See this image in context in the following section/s:
Use of this content is subject to our disclaimer